Nụ Cười Của Bạn – Sứ Mệnh Của Chúng Tôi
Nha khoa Như Ngọc được thành lập ngày 09/09/2007, dưới sự dẫn dắt và chỉ đạo chuyên môn trực tiếp của GS.TS.TTƯT Võ Trương Như Ngọc - một trong những chuyên gia đầu ngành Răng - Hàm - Mặt tại Việt Nam.
Từ những ngày đầu, nơi đây không chỉ đơn thuần là một phòng khám, mà là tâm huyết và khát vọng của người thầy thuốc luôn hướng đến giá trị bền vững cho nụ cười Việt. Với trái tim của một bác sĩ và tâm hồn của một người thầy, Giáo sư Võ Trương Như Ngọc đã gieo vào “mảnh đất Như Ngọc” những hạt mầm tri thức, đạo đức và lòng tận tụy.
Trải qua hơn 18 năm hình thành và phát triển, nha khoa Như Ngọc đã trở thành biểu tượng của sự tận tâm và chuyên nghiệp trong lĩnh vực chăm sóc răng miệng. Mỗi nụ cười được khôi phục, mỗi ca điều trị thành công đều là minh chứng cho triết lý mà chúng tôi theo đuổi: “Chăm sóc nụ cười bằng tri thức, y đức và cả trái tim".
Vì sao chọn nha khoa Như Ngọc?
Từ chăm sóc phòng ngừa đến điều trị thẩm mỹ cao cấp, nha khoa Như Ngọc là địa chỉ tin cậy giúp bạn an tâm với nụ cười khỏe đẹp và dịch vụ bảo hành rõ ràng.
-
01
Chất lượng từ chuyên môn
Tại nha khoa Như Ngọc, điều trị không đơn thuần là kĩ thuật - mà là kết quả của chuyên môn sâu và tư duy lâm sàng vững vàng. Đội ngũ bác sĩ là các chuyên gia, thạc sĩ, tiến sĩ Răng Hàm Mặt - trực tiếp thăm khám và điều trị từng ca với sự chính xác tuyệt đối.
-
02
Tối ưu công nghệ – Tối đa lợi ích
Sở hữu hệ thống thiết bị hiện đại, đồng bộ nha khoa Như Ngọc tối ưu toàn bộ quy trình điều trị - từ chuẩn đoán đến phục hồi. Sự đầy đủ và tiên tiến trong công nghệ giúp rút ngắn thời gian, nâng cao độ chính xác và đảm hiệu quả điều trị rõ rệt cho từng khách hàng.
-
03
Một điểm đến – Đầy đủ mọi nhu cầu
Tại nha khoa Như Ngọc, khách hàng được phục vụ trọn vẹn từ chuẩn đoán đến chăm sóc tại nhà - không cần tìm kiếm thêm bất kì sản phẩm hay dịch vụ nào bên ngoài.
-
04
Cam kết thật – Bảo hành rõ
Nha khoa Như Ngọc cam kết: kết quả điều trị rõ ràng, bảo hành minh bạch, đồng hành trọn vẹn sau điều trị. Chúng tôi không chỉ điều trị – chúng tôi đồng hành, theo dõi và chịu trách nhiệm đến cùng với mỗi khách hàng.
-
05
Chi phí tương xứng chất lượng
Nha khoa Như Ngọc xây dựng kế hoạch điều trị với mức phí minh bạch, phù hợp với tiêu chuẩn chuyên môn cao và hệ thống công nghệ hiện đại mà khách hàng được trải nghiệm.
Hệ Sinh Thái Chăm Sóc Sức Khoẻ Răng Miệng Toàn Diện
Hệ sinh thái nha khoa công nghệ cao – Trao nụ cười hạnh phúc
Năm kinh nghiệm – đồng hành chăm sóc nụ cười từ năm 2007.
Khách hàng đã tin tưởng và lựa chọn.
Khách hàng hài lòng sau khi điều trị và thẩm mỹ răng.
Bác sĩ có chứng chỉ hành nghề và kĩ thuật cao.
Đội Ngũ Bác Sĩ Chuyên Khoa
Chia Sẻ Của Khách Hàng
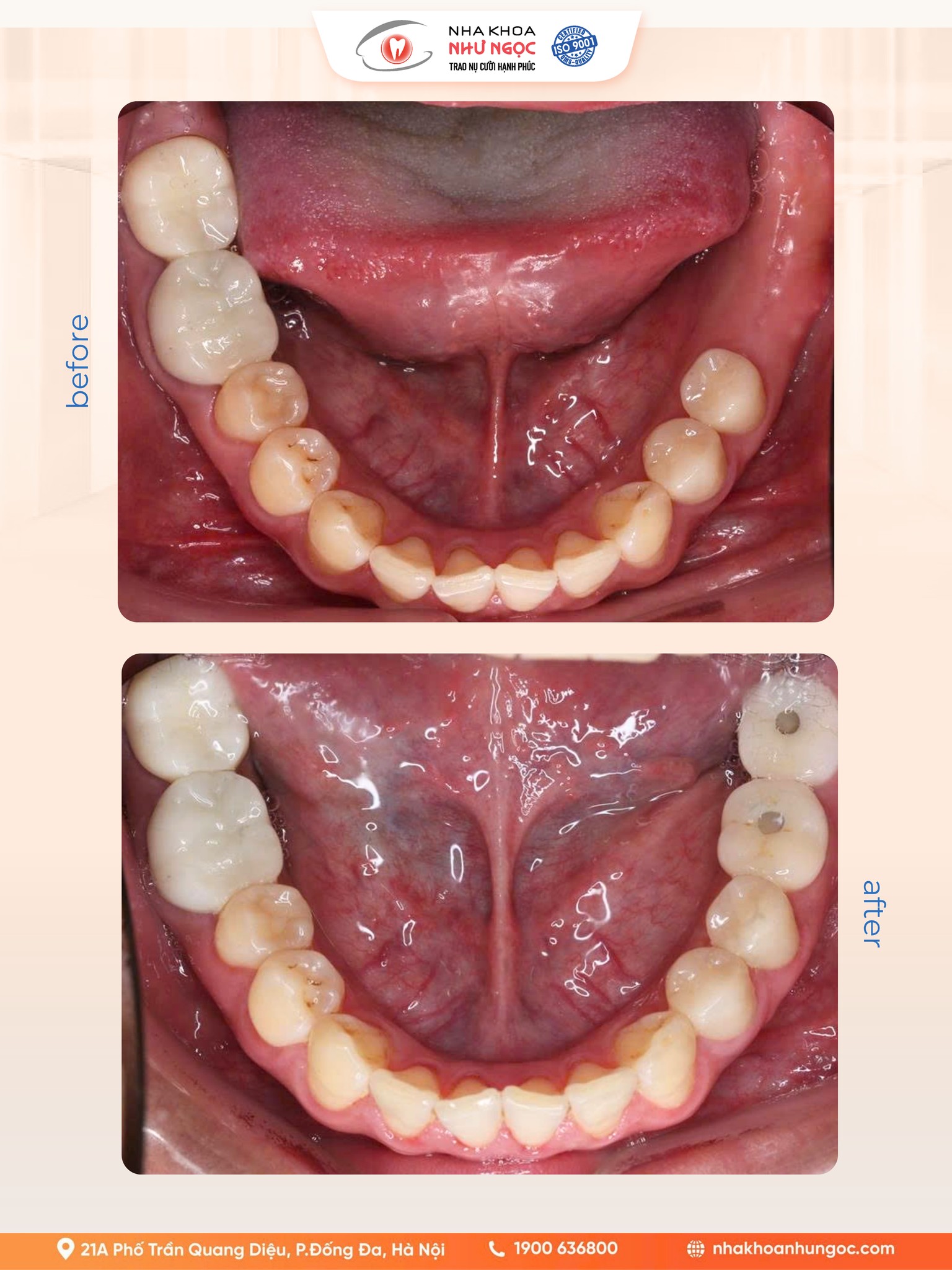
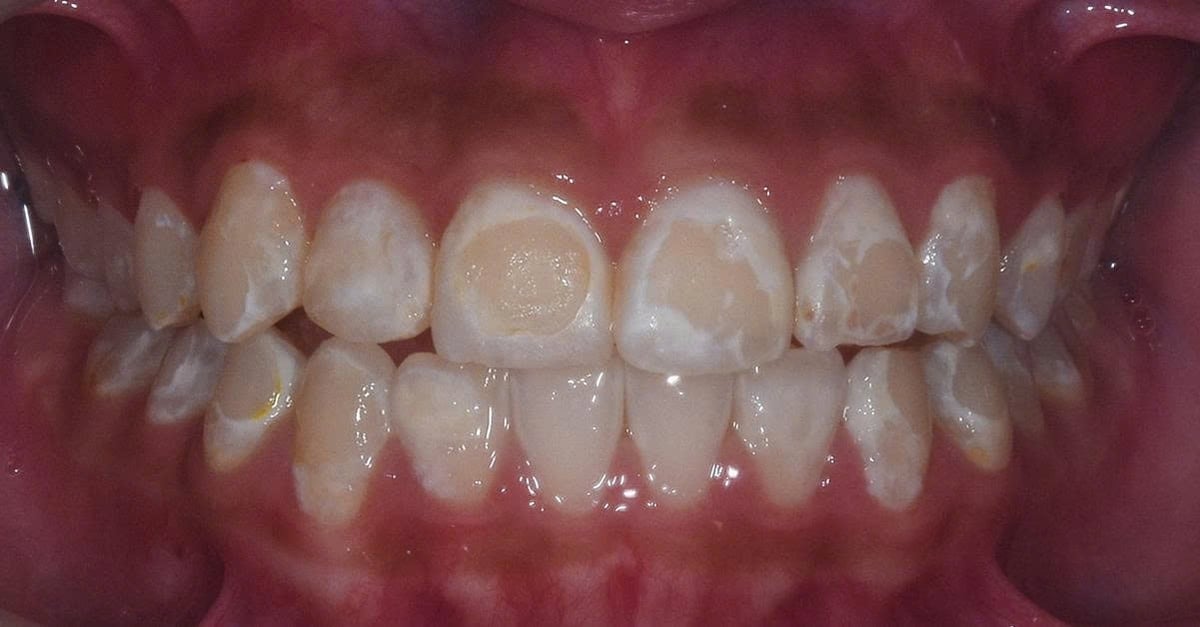
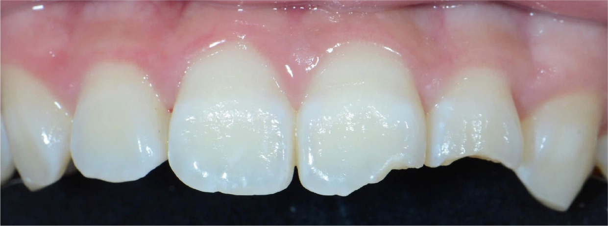
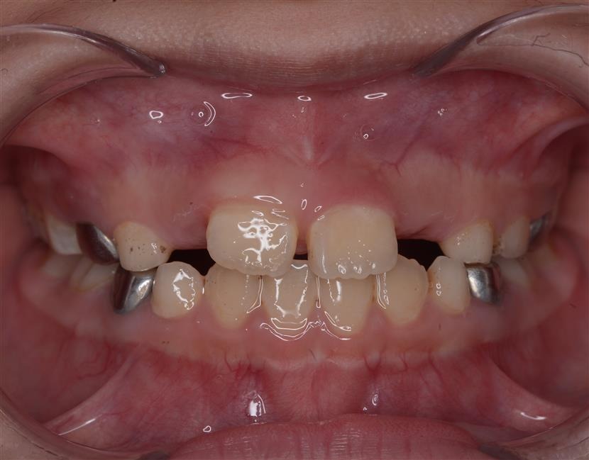
Hình Ảnh Trước & Sau Điều Trị
Minh chứng rõ ràng cho chất lượng và hiệu quả tại nha khoa Như Ngọc – nơi mỗi khách hàng đều tìm lại được nụ cười tự tin sau quá trình điều trị và thẩm mỹ răng
Tin Tức Mới Và Kiến Thức Nha Khoa
Tổng hợp tin tức, xu hướng và giải pháp chăm sóc răng miệng toàn diện
Đăng Ký Tư Vấn & Kiểm Tra Sức Khỏe Răng Miệng Ngay Hôm Nay
Tư vấn cá nhân hoá và lịch khám linh hoạt, mang đến trải nghiệm chăm sóc răng miệng toàn diện.
1900 636 800
info@nhakhoanhungoc.com
Số 21A Trần Quang Diệu - P. Đống Đa - Hà Nội









