Trong điều kiện bình thường, răng của chúng ta là một cấu trúc cực kỳ bền vững. Tuy nhiên, có một hiện tượng âm thầm có thể khiến mô cứng của răng bị “ăn mòn” dần, gọi là tiêu ngót răng. Nếu không phát hiện kịp thời, tình trạng này có thể dẫn đến hỏng răng và mất răng vĩnh viễn.
Hãy cùng tìm hiểu về tiêu ngót răng dưới góc nhìn dễ hiểu nhất để bảo vệ nụ cười của bạn.
1. Tiêu ngót răng là gì?
Tiêu ngót răng là quá trình mất đi các mô cứng (men răng, ngà răng, xê măng) do hoạt động của các tế bào chuyên biệt gọi là hủy bào.
– Ở răng sữa: Đây là quá trình sinh lý bình thường giúp răng sữa rụng đi để răng vĩnh viễn mọc lên.
– Ở răng vĩnh viễn: Đây là một trạng thái bệnh lý. Bình thường, răng được bảo vệ bởi các lớp màng ngăn cách. Khi lớp bảo vệ này bị tổn thương do chấn thương, viêm nhiễm hoặc hóa chất, các hủy bào sẽ tấn công và làm tan biến mô răng.
Dựa vào vị trí bắt đầu, tiêu ngót được chia làm hai loại chính: Nội tiêu (từ trong tủy ra) và Ngoại tiêu (từ bên ngoài chân răng vào).

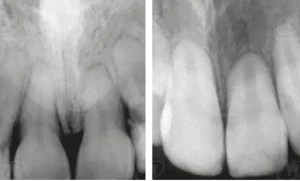
Tiêu ngót chân răng
2. Nội tiêu: Sự phá hủy từ bên trong
Nội tiêu bắt đầu từ hốc tủy răng. Đây là trường hợp khá hiếm gặp, thường xảy ra sau một chấn thương hoặc viêm tủy mãn tính.
– Dấu hiệu nhận biết: Bệnh thường không gây đau nên rất khó tự phát hiện. Đôi khi, bạn có thể thấy một đốm hồng trên thân răng (gọi là “răng hồng”) do mô tủy viêm đỏ xuyên thấu qua lớp men mỏng. Đa số các trường hợp chỉ được phát hiện tình cờ khi chụp phim X-quang nha khoa.
– Nguyên nhân: Thường do viêm tủy kéo dài, chấn thương va đập, hoặc sau các thủ thuật nha khoa như che tủy, mài răng quá nóng.
– Cách điều trị: * Nếu phát hiện sớm: Cần điều trị tủy (nội nha) ngay để loại bỏ các tế bào gây tiêu xương.
+ Nếu đã thủng chân răng: Bác sĩ sẽ dùng các vật liệu đặc biệt (như MTA) để vá lỗ thủng. Trường hợp quá nặng, răng buộc phải nhổ bỏ.
3. Ngoại tiêu: Sự tấn công từ bên ngoài
Ngoại tiêu phổ biến hơn nội tiêu, bắt đầu từ bề mặt ngoài của chân răng (nơi tiếp xúc với xương hàm và dây chằng nha chu).
Các dạng ngoại tiêu thường gặp:
– Do nhiễm trùng tủy: Đây là nguyên nhân phổ biến nhất. Vi khuẩn từ tủy răng chết tiết ra độc tố kích thích các tế bào xung quanh “ăn” chân răng.
– Do áp lực (Chỉnh nha, răng ngầm): Việc niềng răng với lực quá mạnh hoặc răng khôn mọc ngầm đâm vào răng bên cạnh có thể gây tiêu ngót chân răng.
– Do chấn thương: Những cú va đập mạnh làm tổn thương hệ thống dây chằng bao quanh răng, khiến cơ thể lầm tưởng răng là vật thể lạ và tiến hành tiêu hủy.
– Ngoại tiêu thay thế (Cứng khớp): Mô răng bị mất đi và thay thế bằng xương. Răng lúc này sẽ dính chặt vào xương hàm, không còn sự đàn hồi tự nhiên.
4. Ngoại tiêu cổ răng: “Kẻ xâm lấn” thầm lặng
Đây là một dạng ngoại tiêu đặc biệt nguy hiểm xảy ra ở vùng cổ răng (sát đường viền nướu). Bệnh tiến triển rất âm thầm, len lỏi xung quanh buồng tủy nhưng thường không gây đau cho đến khi tổn thương quá lớn.
– Nguyên nhân: Có thể do tẩy trắng răng sai cách, chấn thương hoặc viêm nha chu lâu ngày.
– Phân biệt: Dễ nhầm với sâu răng cổ răng. Tuy nhiên, chỗ tiêu ngót thường cứng khi thăm khám, trong khi lỗ sâu răng thường mềm và có mùn bẩn.
5. Làm sao để phòng ngừa và điều trị?
Tiêu ngót răng giống như một “đội quân” âm thầm phá hủy ngôi nhà từ bên dưới móng. Để bảo vệ răng, bạn cần lưu ý:
- Thăm khám định kỳ: Chụp phim X-quang là cách duy nhất để phát hiện sớm các vùng tiêu ngót trước khi chúng gây ra triệu chứng.
- Xử lý chấn thương đúng cách: Nếu bạn bị va đập vùng mặt, hãy đến nha sĩ kiểm tra ngay dù răng không vỡ, vì tiêu ngót có thể xuất hiện nhiều tháng sau đó.
- Điều trị tủy triệt để: Loại bỏ nhiễm trùng là chìa khóa để dừng quá trình ngoại tiêu do viêm.
- Lưu ý khi niềng răng hoặc tẩy trắng: Luôn thực hiện tại các cơ sở uy tín để kiểm soát lực và nồng độ thuốc hóa chất ở mức an toàn.
Kết luận: Tiêu ngót răng không phải là dấu chấm hết nếu được phát hiện sớm. Với sự hỗ trợ của các vật liệu hiện đại như MTA hay kỹ thuật nội nha tiên tiến, bác sĩ hoàn toàn có thể giúp bạn giữ lại chiếc răng quý giá của mình.


