Nong hàm là kỹ thuật thường được sử dụng trong các trường hợp cung hàm hẹp, thiếu khoảng nhằm tăng khoảng trống cho hàm, giúp quá trình chỉnh nha diễn ra thuận lợi, dễ dàng hơn. Để tìm hiểu chi tiết về nong hàm, mời bạn tham khảo bài viết dưới đây!
Nong hàm là gì ?
Nong hàm là phương pháp dùng khí cụ chuyên dụng để tăng độ rộng cung hàm, diện tích của vòm miệng và khoảng cách giữa các răng. Từ đó, có thể cải thiện tình trạng các răng chen chúc, răng khấp khểnh và hạn chế việc phải nhổ răng khi chỉnh nha.
Chỉ định nong hàm:
- Người có cung hàm hẹp: Nong hàm để tạo ra khoảng trống vừa đủ, tạo điều kiện thuận lợi cho chỉnh nha đưa răng trở về đúng trị trí, tái lập khớp cắn lý tưởng và hạn chế việc nhổ răng.
- Cung hàm không đủ khoảng trống để răng di chuyển: Nong hàm với lực vừa đủ để không làm ảnh hưởng đến cấu trúc khuôn mặt.
- Hàm bị lệch, khớp cắn chéo: Sử dụng khí cụ nong rộng hàm giúp cân đối khớp cắn và di chuyển răng thuận lợi.
Bệnh nhân có tình trạng hàm bị lệch sang bên, cung hàm hẹp, răng chen chúc

Bệnh nhân có tình trạng hàm bị lệch sang bên, cung hàm hẹp, răng chen chúc
Nong hàm áp dụng được với cả chỉnh nha bằng mắc cài và chỉnh nha bằng máng trong suốt.
Các phương pháp nong hàm phổ biến hiện nay
1. Nong hàm nhanh
Nong hàm nhanh sử dụng khí cụ nong rộng hàm tập trung mở rộng diện tích xương, làm tách đường khớp giữa vòm khẩu cái. Trong quá trình này, khoảng cách giữa các răng sẽ xuất hiện khe hở lớn, đặc biệt là ở vị trí răng cửa. Sau khi quá trình nong hàm kết thúc, khoảng trống này sẽ được sử dụng đề dàn đều các răng, đảm bảo tính thẩm mỹ.
Hàm nong nhanh MSE (Maxillary Skeletal Expansion)

Hàm nong nhanh MSE (Maxillary Skeletal Expansion)
Trong trường hợp bệnh nhân đã bước vào giai đoạn sau của thời kỳ tăng trưởng, đường khớp giữa hàm trên bắt đầu gắn chặt hơn, các minivis có thể được cắm vào xương để hỗ trợ việc nong rộng hàm (phương pháp MARPE – Miniscrew assisted rapid palatal expander).
Phức tạp hơn, nếu bệnh nhân đã bước vào tuổi trưởng thành, đường khớp đóng hoàn toàn, mức độ bất hài hòa kích thước hàm trên lớn, phương án phối hợp phẫu thuật để mở rộng cung hàm có thể được chỉ định (SARPE – Surgical assisted rapid palatal expander).

Hàm nong nhanh có hỗ trợ của minivis (MARPE)
2. Nong hàm chậm
Nong hàm chậm được ứng dụng trong trường hợp thiếu khoảng, chen chúc nhẹ, cơ chế tác động chủ yếu lên răng và xương ổ răng. Thời gian nong hàm chậm còn tùy thuộc vào tình trạng của bệnh nhân và kế hoạch điều trị của bác sĩ. Phương pháp này giúp tốc độ phát triển của xương đồng đều với tốc độ di chuyển của răng, ít tạo cảm giác đau hơn so với nong hàm nhanh và kết quả đạt được có tính ổn định cao.

Hàm nong chậm
3. Nong hàm bằng dây cung hoặc khay trong
Trong quá trình chỉnh nha, cung hàm có thể được nong rộng bằng dây cung hoặc bằng khay trong, với trường hợp răng khấp khểnh, chen chúc nhẹ. Tuy nhiên, phương pháp nong hàm này có thể mang lại hiệu quả không cao, mức độ mở rộng cung hàm hạn chế. Nếu mức độ hẹp hàm nhiều, bệnh nhân cần được chỉ định sử dụng khí cụ khác thay thế.
4 Nong hàm bằng máng IPE (Invisalign Palatal Expander)
Với công nghệ tiên tiến hàng đầu hiện nay, hệ thống máng in kỹ thuật số Invisalign Palatal Expander có tác dụng nong rộng hàm trên 0,25mm mỗi ngày. Hệ thống IPE với bề mặt nhẵn mịn, phủ kín vòm miệng với độ dày được tùy chỉnh để phù hợp với từng bệnh nhân, áp dụng được với nhiều lứa tuổi. Bệnh nhân có thể tháo lắp dễ dàng để vệ sinh răng miệng, cũng như không gây cảm giác khó chịu do kim loại hay những khó khăn khi cần phải thao tác vặn vít nong hàm, thuận tiện để theo dõi tại nhà. Tác động nong hàm của IPE có thể là nong nhanh hoặc nong chậm tuỳ theo tần suất thay hàm, dựa vào chỉ định của bác sĩ và khả năng đáp ứng của trẻ.

Hệ thống máng IPE (Invisalign Palatal Expander)
2. Các loại khí cụ nong hàm trong nha khoa
1. Dụng cụ nong hàm tháo lắp
Với trẻ em mới bước vào giai đoạn thay răng từ 4 – 7 tuổi, bác sĩ chỉnh nha sẽ thường ứng dụng khí cụ hàm tiền chỉnh EF, Myobrace,…hoặc khí cụ hiện đại hiện nay là Invisalign Palatal Expander (IPE) dùng cho trẻ mang vào thời gian buổi tối và ban đêm ít nhất 8 tiếng/ngày để mở rộng hàm. Hàm tiền chỉnh là khí cụ có thể sử dụng sớm với rất nhiều tác dụng, cũng có nhiều loại hàm tiền chỉnh dùng để nong hàm, dùng để giảm hô, dùng để giảm khớp cắn sâu, khớp cắn ngược, … nên trẻ cần được bác sĩ chỉnh nha có kinh nghiệm chỉ định đúng loại với tình trạng của trẻ, đồng thời bố mẹ không nên tự ý mua về dùng cho trẻ mà chưa có chỉ định của bác sĩ chuyên khoa.
Ngoài ra, với độ tuổi lớn hơn sẽ dùng khí cụ có cấu tạo bao gồm cung môi, lò xo, ốc nong giúp nới rộng diện tích cung hàm. Phương pháp này giúp trẻ dễ tháo ra để vệ sinh và ăn uống; đồng thời, khắc phục tình trạng hàm hẹp, sai khớp cắn.

Dụng cụ nong hàm tháo lắp giúp trẻ dễ dàng vệ sinh răng miệng
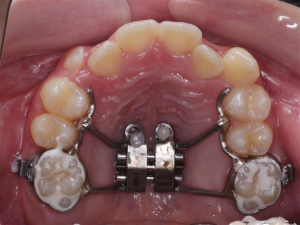
2. Dụng cụ nong rộng hàm cố định
Đây là khí cụ truyền thống được nhiều người lựa chọn vì đem lại hiệu quả nhanh, rút ngắn thời gian nong hàm. Tuy nhiên, khi sử dụng nong hàm cố định, khách hàng có thể cảm thấy khó chịu, vướng víu và khó vệ sinh răng miệng trong thời gian đầu.

Dụng cụ nong rộng hàm cố định
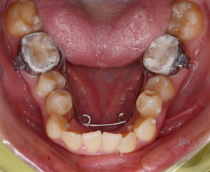
3. Có thể nong hàm dưới hay không?
Đối với chỉnh nha, nong hàm chủ yếu sử dụng cho hàm trên nhưng vẫn có trường hợp dùng được cho hàm dưới gọi là bihelix. Tuy nhiên hiệu quả mang lại không cao như khi nong hàm trên. Bên cạnh đó, bệnh nhân cần được đánh giá chi tiết chất lượng xương, khoảng thiếu răng trên cung hàm cũng như sức khỏe của răng và lợi trước khi thực hiện thủ thuật nong hàm dưới.

Bihelix: Khí cụ nong hàm dưới thường dùng
3. Nong hàm có gây đau đớn, khó chịu không?
Nhìn chung, khi đeo khí cụ nong hàm, chúng ta đang tạo ra lực đẩy để mở rộng mật độ xương và mô sụn. Do đó, cảm giác đau nhức là khó tránh khỏi. Tùy vào cơ địa hoặc khí cụ đang sử dụng, mức độ đau có thể không giống nhau, ví dụ như dụng cụ nong nhanh tạo cảm giác kém thoải mái hơn so với nong chậm.
Trong thời gian đầu khi mới đeo khí cụ nong hàm sẽ có cảm giác hơi khó chịu hoặc đau nhẹ. Tuy nhiên, cảm giác này sẽ dần giảm dần khi cơ thể đã quen với lực tác động của khí cụ.
Bên cạnh đó, Nha khoa Như Ngọc với sứ mệnh ứng dụng công nghệ kĩ thuật hàng đầu và liên tục cập nhật, các khí cụ tối ưu nhất sẽ được sử dụng để vừa đảm bảo hiệu quả đem lại, vừa mang lại trải nghiệm tốt nhất cho người bệnh.
4. Thời gian nong hàm trong bao lâu?
Thời gian nong hàm sẽ thay đổi tuỳ theo mức độ hẹp hàm cụ thể, quá trình nong sẽ kéo dài tới khi tạo đủ được khoảng trống cần thiết. Tuỳ theo phương pháp nong hàm nhanh hay chậm, thời gian nong sẽ kéo dài trung bình từ khoảng 2 tuần tới 6 tháng. Sau đó, trẻ cần tiếp tục đeo khí cụ trong 2 – 6 tháng để tạo sự ổn định về xương, duy trì kết quả đạt được
Bên cạnh đó, thời gian đeo khí cụ nong hàm còn phụ thuộc vào một số yếu tố như:
- Độ tuổi: Xương sụn ở trẻ em chưa phát triển ổn định và có khả năng giãn nở dễ dàng, do đó thời gian đeo khí cụ nong rộng hàm ở trẻ từ 6 – 12 tuổi ngắn hơn so với người lớn.
- Tình trạng xương: Đối với người có xương hàm chắc, khỏe thì thời gian nong hàm diễn ra nhanh hơn. Người có xương hàm yếu phải tiến hành từ từ, để tránh tình trạng xương biến dạng.
- Tình trạng răng: Trong trường hợp răng khấp khểnh nhẹ, thời gian đeo khí cụ nong mở rộng hàm có thể ngắn hơn so với trường hợp nặng.
5. Chăm sóc răng miệng trong quá trình nong hàm?
Quá trình đeo khí cụ giúp nong rộng hàm có thể tạo cảm giác vướng víu, đau cho người bệnh. Vì vậy, cần lưu ý về cách chăm sóc phù hợp, để giảm tình trạng khó chịu:
- Chế độ ăn uống khi nong hàm: Những ngày đầu tiên khi đeo dụng cụ nong hàm, bạn nên sử dụng thực phẩm mềm, lỏng thay vì thực phẩm dai cứng có thể gây đau và ảnh hưởng đến hiệu quả nong hàm. Hãy sử dụng thực phẩm mềm, lỏng như cháo, súp để tránh gây đau và ảnh hưởng đến kết quả nong hàm.
- Vệ sinh khí cụ nong hàm: Hãy sử dụng bàn chải nhỏ chuyên dụng, chỉ nha khoa hoặc tăm nước để loại bỏ mảng bám trên khí cụ.
- Vệ sinh răng miệng khi nong hàm: Đánh răng tối thiểu 2 lần/ngày sau khi ăn, cùng với sử dụng nước súc miệng sát khuẩn và các công cụ vệ sinh kẽ răng như tăm nước để chăm sóc sức khỏe răng miệng tốt hơn.
- Cách khắc phục tình trạng khó phát âm khi lắp dụng cụ nong hàm
- Trong những ngày đầu, khả năng nói có thể bị ảnh hưởng do cảm giác vướng víu trong miệng và nước bọt tiết ra nhiều. Hãy cố gắng nói chậm hơn, tập phát âm để âm được phát ra tròn vành, rõ chữ.


