Cao răng, hay còn gọi là vôi răng, là những mảng cứng màu vàng hoặc nâu bám quanh răng, hình thành do sự kết hợp giữa vi khuẩn, mảng bám và khoáng chất trong nước bọt. Sau khi ăn uống, mảng bám sẽ tồn đọng trên bề mặt răng, và qua 24 – 72 giờ nếu không được làm sạch, những mảng bám này sẽ ngấm khoáng chất trong nước bọt, dần cứng lại và trở thành cao răng.
Cao răng được ví như “ngôi nhà” của vi khuẩn. Cao răng tồn tại sẽ dẫn tới sự phát triển của vi khuẩn có hại, gây ra tình trạng viêm lợi – chảy máu lơi, viêm nha chu – tụt lợi, sâu răng, hôi miệng. Nghiêm trọng hơn, một số nghiên cứu cho thấy vi khuẩn từ cao răng có thể xâm nhập vào máu và góp phần gây ra các bệnh lý như tim mạch, đái tháo đường và các vấn đề về hô hấp. Ngoài ra, cao răng thường có màu vàng hoặc nâu, làm giảm tính thẩm mỹ của hàm răng. Những người có cao răng lâu ngày có thể cảm thấy tự ti về ngoại hình và ngại giao tiếp.
Loại bỏ cao răng kịp thời sẽ giúp bạn tránh được nhiều tác động có hại. Hãy đến thăm khám nha khoa và lấy cao răng định kỳ 6 tháng/lần để có được nụ cười khoẻ đẹp!
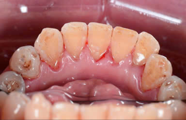
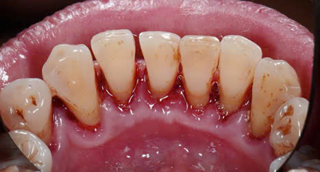
Một số hình ảnh trước và sau khi lấy cao răng:
Case 1:

Case 2:

Nếu bạn gặp tình trạng trên, hãy đến ngay Nha Khoa Như Ngọc để được các bác sĩ xử lý nhé!


