1. Núm phụ là gì? Núm phụ ( Dens evaginatus ) là thuật ngữ chỉ hình dạng giải phẫu bất thường của răng có hình dạng giống như núm, múi thừa trên bề mặt răng. Tình trạng này thường xuất hiện ở mặt trong của răng hàm trên hoặc mặt nhai của răng hàm nhỏ …
Kiến thức nha khoa
Bạn có biết rằng cao răng là một trong những nguyên nhân chính gây ra các bệnh lý về răng miệng? Cao răng là mảng bám lắng đọng trên bề mặt răng và dưới lợi do sự tích tụ của các cặn cứng của muối vô cơ kết hợp với cặn mềm như vi khuẩn, …
Chỉnh nha là gì? Chỉnh nha là sử dụng các phương pháp nắn chỉnh răng để điều trị các sai lệch về mặt chức năng và thẩm mỹ của hệ thống nhai, cải thiện khả năng ăn nhai cũng như sức khỏe của hàm răng và giúp người bệnh tự tin hơn trong giao tiếp. …
Cấy ghép Implant nha khoa là phương pháp phục hình răng hiện đại, giúp khôi phục chức năng ăn nhai và thẩm mỹ cho bệnh nhân mất răng. Đặc biệt, đối với người lớn tuổi, việc cấy ghép Implant không chỉ khả thi mà còn mang lại nhiều lợi ích vượt trội. Độ tuổi và …
Việc nắn chỉnh răng cho trẻ em từ sớm không chỉ giúp cải thiện sự phát triển của hàm răng mà còn mang lại nhiều lợi ích về sức khỏe lâu dài. Các bậc phụ huynh thường thắc mắc về thời điểm phù hợp để bắt đầu quá trình chỉnh nha cho con cái. Câu …
Invisalign First – giải pháp tiền chỉnh nha hiện đại, dù trẻ chưa mọc hết răng vĩnh viễn nhưng vẫn có thể niềng căn chỉnh khớp cắn, tạo khoảng trống phù hợp đồng thời vẫn dịch chuyển các răng sai lệch về đúng vị trí trên cung hàm. 1. Invisalign first là gì? Invisalign First …
Hội chứng ngừng thở khi ngủ do tắc nghẽn đường thở (Obstructive Sleep Apnea Syndrome: OSAS) không những ảnh hưởng đến sức khỏe của bệnh nhân mà còn ảnh hưởng đến giấc ngủ của những người khác. Hội chứng ngưng thở khi ngủ là gì? Ngưng thở khi ngủ là bệnh gì? Ngưng thở khi ngủ …
Răng khôn (răng số 8) là chiếc răng mọc cuối cùng trong cung hàm, thường xuất hiện ở độ tuổi từ 17 đến 25.Khác với răng khôn hàm dưới vốn thường gây đau nhức dữ dội, răng khôn hàm trên thường âm thầm hơn – nhưng không vì thế mà ít nguy hiểm. Khi răng …
Một nữ bệnh nhân đã kết thúc quá trình chỉnh nha nhiều năm trước, gần đây quay lại phòng khám Nha khoa Như Ngọc để kiểm tra định kỳ.Kết quả khám cho thấy: xuất hiện đốm nâu nhỏ ở vùng mặt bên gần của răng số 16 và 26 – hai răng hàm lớn ở …
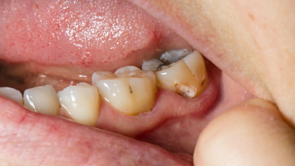
Cảm giác răng mủn ra, tự vỡ dần, không hiểu vì sao” Đó là chia sẻ của không ít bệnh nhân đến thăm khám tại Nha khoa Như Ngọc, mang theo những chiếc răng hàm vỡ lớn một cách bất thường dù không ăn đồ cứng hay có lỗ sâu rõ ràng. Một trong những …
Tại sao cần phục hồi thân răng sau điều trị tủy? Sau khi điều trị tủy, răng trở nên giòn và dễ gãy hơn do mất nguồn nuôi dưỡng từ tủy răng (Dietschi et al. (2008)). Nếu không được phục hồi đúng cách, răng có thể bị nứt, vỡ hoặc tái nhiễm khuẩn, làm tăng …
Cao răng là gì? Cao răng, hay còn gọi là vôi răng, là những mảng cứng màu vàng hoặc nâu bám quanh răng, hình thành do sự kết hợp giữa vi khuẩn, mảng bám và khoáng chất trong nước bọt. Sau khi ăn uống, mảng bám sẽ tồn đọng trên bề mặt răng, và qua …












