Tại sao cần phục hồi thân răng sau điều trị tủy?
Sau khi điều trị tủy, răng trở nên giòn và dễ gãy hơn do mất nguồn nuôi dưỡng từ tủy răng (Dietschi et al. (2008)). Nếu không được phục hồi đúng cách, răng có thể bị nứt, vỡ hoặc tái nhiễm khuẩn, làm tăng nguy cơ phải nhổ bỏ. Một nghiên cứu của Ng et al. (2010) cho thấy rằng phục hồi kín khít sau điều trị tủy là một yếu tố quan trọng trong việc kéo dài tuổi thọ của răng.
Các phương pháp phục hồi phổ biến
Tùy vào mức độ tổn thương của thân răng, bác sĩ có thể chỉ định các phương pháp phục hồi sau:
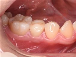
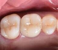
Chụp sứ (Crown)

Răng toàn sứ phục hồi răng điều trị tủy
- Thường được áp dụng cho răng đã mất nhiều mô cứng hoặc có nguy cơ gãy cao.
- Bao bọc toàn bộ thân răng, giúp bảo vệ răng khỏi các tác động từ bên ngoài.
- Có độ bền cao, giúp răng phục hồi chức năng ăn nhai tốt.
- Răng điều trị tủy không được phục hồi bằng chụp sứ có tỷ lệ thất bại cao hơn so với răng có chụp bảo vệ (Aquilino & Caplan (2002))
![]() Răng đã điều trị tủy |
![]() Chụp sứ bảo vệ răng đã điều trị tủy |
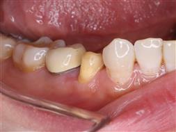
Phục hồi dán sứ (Onlay, Overlay, Table Top)

Miếng dán sứ overlay
- Là phương pháp bảo tồn mô răng tối đa, chỉ thay thế phần mô răng bị mất.
- Phục hình sứ bao phủ chủ yếu phần mặt nhai và có thể một phần thân răng, phù hợp với răng bị tổn thương vừa phải.
- Mang lại tính thẩm mỹ cao, khả năng dán dính tốt và độ kín khít vượt trội.
- Phục hình dán sứ giúp bảo tồn mô răng và duy trì độ bền tương đương hoặc thậm chí tốt hơn so với chụp sứ toàn phần.
-
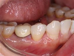
![]() Răng bị nứt mặt nhai, hoại tử tủy |
![]() Điều trị, phục hồi bằng overlay |
Phục hồi trực tiếp bằng composite
- Chỉ áp dụng cho những trường hợp tổn thương nhẹ, mô răng còn nhiều, không khuyến cáo cho răng hàm.
- Có thể thực hiện ngay trong một lần hẹn, tiết kiệm thời gian.
- Tuy nhiên, độ bền không cao bằng sứ và dễ bị mòn theo thời gian.
- Nghiên cứu của Opdam (2008) cho thấy phục hồi composite có tuổi thọ trung bình ngắn hơn so với phục hình sứ.
Đặt chốt: Khi nào cần thiết?
Với những răng mất quá nhiều mô cứng, không đủ độ lưu giữ cho phục hình, việc đặt chốt trong ống tủy là cần thiết. Chốt có thể làm bằng kim loại hoặc sợi thủy tinh, giúp tăng cường sự vững chắc và giữ chặt phục hình trên răng. Chốt sợi thủy tinh có độ tương thích sinh học và khả năng chịu lực tốt hơn chốt kim loại, giúp giảm nguy cơ nứt chân răng.Tuy nhiên, chốt sợi đòi hỏi khả năng dán dính của mô răng tốt cũng như quy trình gắn chốt nghiêm ngặt.
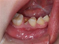
![]() Răng sâu vỡ mất phần lớn mô răng, tủy hoại tử, có lỗ rò mủ ở lợi mặt ngoài |
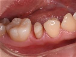
![]() Răng được điều trị tủy, được phục hồi thân răng bằng chốt sợi thủy tinh |

Chụp toàn sứ bảo vệ răng
Lựa chọn phục hình phù hợp
Mỗi phương pháp phục hồi có ưu và nhược điểm riêng. Việc lựa chọn phương pháp nào sẽ phụ thuộc vào:
- Mức độ tổn thương của răng: răng mất nhiều mô cứng có nguy cơ gãy cao hơn, do đó phục hồi bằng chụp sứ hoặc onlay là lựa chọn phù hợp.
- Yếu tố thẩm mỹ: Phục hình dán sứ như onlay và overlay có màu sắc tự nhiên, không bị đổi màu theo thời gian như composite. Điều này làm cho chúng trở thành lựa chọn tối ưu cho vùng răng thẩm mỹ.
- Độ bền và khả năng chịu lực: Một số nghiên cứu chỉ ra rằng phục hình dán sứ onlay có khả năng phân bố lực nhai tốt hơn so với chụp toàn phần, giúp giảm nguy cơ vỡ, mẻ phục hồi.
- Khả năng dán dính và độ kín khít: Theo Carvalho (2018), phục hồi dán sứ có độ kín khít tốt hơn so với composite trực tiếp, giúp hạn chế vi khuẩn xâm nhập và giảm nguy cơ tái nhiễm khuẩn ống tủy.
- Chi phí và thời gian thực hiện: Chụp sứ có chi phí cao hơn, nhưng độ bền lâu dài. Trong khi đó, composite trực tiếp có chi phí thấp hơn nhưng thời gian sử dụng ngắn hơn và dễ bị mòn hơn theo thời gian (Miyazaki, 2017).
Kết luận
Việc phục hồi thân răng sau điều trị tủy là bước quan trọng để bảo vệ răng, duy trì chức năng ăn nhai và đảm bảo thẩm mỹ. Nghiên cứu khoa học đã chứng minh rằng việc lựa chọn phục hình phù hợp có thể làm tăng tuổi thọ của răng và giảm nguy cơ biến chứng. Hãy tham khảo ý kiến của nha sĩ để có giải pháp tối ưu nhất cho từng trường hợp cụ thể.
Tham khảo:
- Dietschi D, Duc O, Krejci I, Sadan A. Biomechanical considerations for the restoration of endodontically treated teeth: a systematic review of the literature. Part 1. Composition and microstructure of dental hard tissues. Quintessence Int. 2008.
- Ng YL, Mann V, Gulabivala K. Outcome of secondary root canal treatment: a systematic review of the literature. Int Endod J. 2010.
- Aquilino SA, Caplan DJ. Relationship between crown placement and the survival of endodontically treated teeth. J Prosthet Dent. 2002.
- Magne P, Douglas WH. Rationalization of esthetic restorative dentistry based on biomimetics. J Esthet Dent. 1999.
- Opdam NJ, Roeters JJ, Loomans BA, Bronkhorst EM. Seven-year clinical evaluation of painful cracked teeth restored with a bonded composite restoration. J Endod. 2008.
- Fokkinga WA, Kreulen CM, Vallittu PK, Creugers NH. A structured analysis of in vitro failure loads and failure modes of fiber, metal, and ceramic post-and-core systems. Int J Prosthodont. 2004.
- Rocca GT, Krejci I. Bonded indirect restorations for endodontically treated posterior teeth: From research to clinical application. J Adhes Dent. 2016.
- Basso M, Carossa M, Pera P, Pera F. Clinical evaluation of CAD/CAM ceramic restorations bonded with resin cement. Clin Oral Investig. 2020.








