Viêm quanh chóp là tổn thương viêm của các thành phần mô học vùng quanh chóp răng. Đây là kết quả của phản ứng viêm với sự xâm nhập của vi sinh vật và độc tố của chúng trong hệ thống ống tuỷ và vùng quanh chóp. Tổn thương quanh chóp được xác định là sự tiến triển của các giai đoạn viêm và phá huỷ xương vùng quanh chóp răng nguyên nhân, có thể lan rộng ra các răng kế cận, và thường được phân loại là u hạt, nang quanh chóp hoặc áp xe quanh chóp [1]. Tuy nhiên, các nghiên cứu chỉ ra rằng chẩn đoán chính xác cho nang quanh chóp hoặc u hạt chỉ có thể dựa vào giải phẫu bệnh.
Mục tiêu sinh học của điều trị nội nha trong viêm quanh chóp là tạo ra môi trường ổn định cho quá trình lành thương bằng cách (1) loại bỏ vi khuẩn khỏi hệ thống ống tuỷ và (2) ngăn chặn sự tái nhiễm khuẩn sau khi kết thúc điều trị [2]. Mục tiêu thứ nhất có thể đạt được sau khi hệ thống ống tuỷ được làm sạch bằng phương pháp cơ học và hoá học cũng như tác dụng của thuốc đặt nội tuỷ giữa các lần hẹn. Mục tiêu thứ hai đạt được khi hệ thống ống tuỷ được hàn kín khít theo ba chiều không gian.
Trong những năm gần đây, khái niệm về điều trị xâm lấn tối thiểu bảo tồn tối đa không còn còn xa lạ với chuyên ngành Răng-Hàm-Mặt, đặc biệt trong lĩnh vực nội nha. Vì vậy, đối với một tổn thương quanh chóp có kích thước lớn cho dù đó là tổn thương nang hay u hạt thì việc điều trị nội nha không phẫu thuật vẫn là lựa chọn điều trị hàng đầu [3]. Sau thời gian theo dõi, nếu không có sự lành thương hoặc tổn thương tiến triển thì lựa chọn điều trị phẫu thuật được cân nhắc [4].


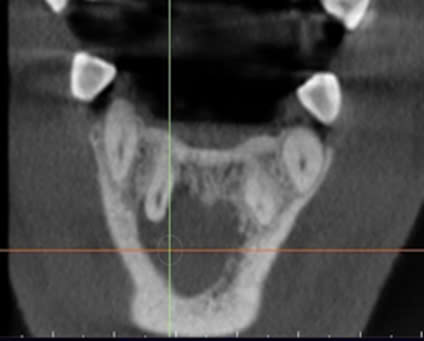
Hình 1. CBCT trước điều trị, bệnh nhân Đ.Q.Q
Tổn thương quanh chóp là tổn thương không hồi phục khi chưa có điều trị nội nha. Vì vậy, cho dù vùng thấu quang quanh chóp thuộc bất kỳ chẩn đoán mô học nào (nang quanh chóp, u hạt hay áp xe quanh chóp) thì lựa chọn điều trị hàng đầu vẫn là điều trị nội nha không phẫu thuật nhằm loại bỏ tối đa tổ chức hoại tử, vi sinh vật và độc tố của chúng ra khỏi hệ thống ống tuỷ. Trong một nghiên cứu tổng quan hệ thống của Torabinejad và cộng sự về điều trị nội nha lại không phẫu thuật và phẫu thuật nội nha trong một khoảng thời gian nghiên cứu cho thấy tỉ lệ thành công lâu dài của điều trị nội nha lại không phẫu thuật là 4-6 năm và điều trị phẫu thuật là 2-4 năm [7].
Vi khuẩn đóng vai trò chủ đạo trong bệnh lý nội nha và vùng quanh chóp. Đặc biệt là E.Faecalis, là loài vi khuẩn duy nhất có khả năng hình thành nên biofilm [8]. Vì vậy, để đạt được sự thành công trong điều trị nội nha không phẫu thuật, cần thực hiện quy trình tạo hình, làm sạch và trám bít kỹ lưỡng để loại bỏ tối đa vi khuẩn và ngăn ngừa chúng phát triển trở lại trong hệ thống ống tuỷ. Trong nghiên cứu của chúng tôi, dung dịch NaOCl 5,25% được sử dụng như chất bơm rửa chính để có thể hoà tan mô tuỷ hoại tử, vi khuẩn và biofilm [2]. Trong quá trình tạo hình hệ thống ống tuỷ sẽ để lại lớp bùn ngà bao gồm vụn vô cơ, vụn hữu cơ, vì vậy, EDTA 17% được sử dụng để hoà tan các chất vô cơ trong lớp bùn ngà [2]. Động tác xối rửa cuối với NaOCl 5,25% được dùng để trung hoà EDTA trong ống tuỷ, đồng thời có tác dụng diệt vi khuẩn trong các ống ngà cũng như lớp bùn ngà.
Canxi Hydroxit là thuốc đặt nội tuỷ được dùng phổ biến và thường quy trong điều trị nội nha. Nó có tác dụng kháng khuẩn và kích thích lành thương mô quanh chóp. Trong nghiên cứu của chúng tôi có sử dụng kết hợp giữa canxi hydroxit và chlorhexidine (CHX) 2% như thuốc đặt nội tuỷ, điều này hoàn toàn phù hợp với kết luận của A.Nawal A-S và cộng sự [9] rằng hỗn hợp CH+CHX có tác dụng loại bỏ E.faecalis trong vòng 14 ngày.
Quá trình lành thương, sửa chữa các mô quanh răng là một quá trình tái tạo phức tạp liên quan đến xương, dây chằng nha chu và xi măng. Các vùng mất khoáng hoà dần dần được lấp đầy bởi xương và cho hình ảnh cản quang nhiều hơn trên xquang. Nếu bản xương vỏ bị phá huỷ, quá trình lành thương sẽ bắt đầu từ việc tái tạo bản xương mặt ngoài và diễn ra hướng tâm, có nghĩa là lành thương từ ngoại vi về trung tâm [10]

Hình 2. Phim CBCT sau 12 tháng, bệnh nhân Đ.Q.Q
Kết luận : Viêm quanh chóp là bệnh lý thường gặp trên lâm sàng được gây ra bởi sự tương tác của nhiều yếu tố, trong đó vi khuẩn đóng vai trò chủ đạo. Bệnh lý này đặc trưng bởi phản ứng viêm của các mô quanh chóp với các kích thích ở cường độ tương đối thấp và trong một thời gian dài từ mô tuỷ viêm, mô tuỷ hoại tử hoặc thất bại trong điều nội nha. Những năm về trước, điều trị nội nha phẫu thuật được chỉ định cho các răng có tổn thương quanh chóp >5mm, thậm chí nhổ bỏ. Tuy nhiên, với sự phát triển của khoa học và kỹ thuật, rất nhiều bằng chứng đã đưa ra rằng các tổn thương quanh chóp có kích thước lớn vẫn có thể lành thương sau khi điều trị nội nha thường quy mà không cần phẫu thuật hoặc nhổ bỏ, góp phần giữ lại răng thật tối đa cho bệnh nhân.
THS.BS. ĐỖ TRỌNG HIẾU
TÀI LIỆU THAM KHẢO
| [1] | Estrela C.. e. Al., “Monitoring Nonsurgical and Surgical Root Canal Treatment of Teeth with Primary and Secondary Infections,” Brazilian Dental Journal, tập 25, số 6, pp. 494-501, 2014. |
| [2] | I. N. Siqueira Jr., “Controlling endodontic infections- an overview,” trong Treatment of Endodontic Infections 2nd edition, Berlin, Quintessence Publishing, 2022, pp. 491-570. |
| [3] | R. P. Lin LM HG, “Proliferation of epithelial cell rests, formation of apical cysts, and regression of apical cysts after pericapical wound healing,” J Endod, tập 33, pp. 908-916, 2007. |
| [4] | Nicholls. E., Endodontics 3rd edition, Bristol: John Wright Sons Ltd., 1984. |
| [5] | Siqueira. JF. Jr., “Strategies to treat infected root canals,” J Calif Dent Assoc., tập 29, số 12, pp. 825-837, 2001 Dec. |
| [6] | Dianat O., et Al “Antimicrobial Activity of Nanoparticle Calcium Hydroxide against Enterococcus Faecalis: An In Vitro Study,” Iran Endod J, tập 10, số 1, pp. 39-43, 2015. |
| [7] | Torabinejad M. et Al, “Outcomes of nonsurgical retreatment and endodontic surgery: A systematic review.,” J Endod, tập 35, số 7, pp. 930-937, 2009 Jul. |
| [8] | Kishen A. et Al, The root canal biofilm, Berlin Heideberg: Springer-Verlag, 2015. |
| [9] | Al-Sabawi NA, et Al “Residual antibacterial effect of calcium hydroxide combined with chlorhexidine gel as an intracanal medicament,” Indian J Dent Res, tập 31, số 6, pp. 846-851, 2020. |
| [10] | Ataide. IS. Fernandes M., “Nonsurgical management of periapical lesions,” J Conserv Dent, tập 13, số 4, pp. 240-245, 2010. |
| [11] | I. N. R. José Siqueira JR F, “Bacterial pathogenesis and mediators in apical periodontitis,” Braz Dent J, tập 18, số 4, pp. 267-80, 2007. |


