Chụp răng composite / strip crowns là loại phục hình thẩm mỹ dùng cho phục hồi răng sữa bị mất nhiều tổ chức cứng. Phương pháp này đảm bảo độ bền tốt hơn so với trám răng composite thông thường do khối composite được gia cố thành một khối. Tuy nhiên, kỹ thuật thực hiện nó khó và cần đảm bảo quy trình để có kết quả tốt nhất.

Các bước thực hiện kỹ thuật Strip Crowns
1. Vệ sinh răng miệng
Hướng dẫn vệ sinh răng miệng cho cha mẹ trẻ là việc cần làm trước điều trị. Nếu trẻ bị viêm lợi có thể cản trở việc đông cứng của vật liệu phục hình, dẫn đến mão răng bị đổi màu do chảy máu, hoặc hở phục hồi.

Hình 1: Lợi không viêm, thuận lợi cho làm strip crowns
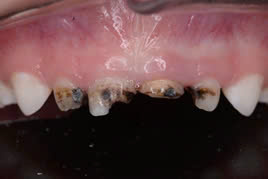
2. Chụp ảnh trong miệng và ngoài mặt trước điều trị
Chụp ảnh nha khoa là quy trình nên làm trước và sau điều trị mỗi thủ thuật để đánh giá hiệu quả của điều trị
3. So màu composite
Như các bước trám răng thông thường khác, muốn đảm bảo thẩm mỹ thì cần chọn màu composite phù hợp răng thật. Với răng sữa, thường là những màu sáng: A1, A2.

Hình 2. Vỉ so màu
4. Đo kích thước răng và khoảng tam giác
Đo kích thước gần xa của răng để chọn kích cỡ chụp phù hợp
5. Cách ly răng
Đục lỗ cách 6-7 mm để lá đam chui vào viền lợi, có thể không cần chỉ tơ nha khoa. Nên đặt cách một răng làm chụp.
6. Làm sạch lỗ sâu
Làm sạch tổ chức ngà mềm, ngà mủn trên răng. Nếu cần che tủy hoặc điều trị tủy thì thực hiện trước khi làm chụp.
7. Chuẩn bị Strip crowns
Sau khi đã chọn đúng kích thước, dùng thám trâm đâm 2 lỗ ở rìa cắn Strip crowns phía gần và phía xa để tránh bọng khí khi làm. Dùng kéo để cắt tỉa các mép của chụp lượn theo viền cổ sao cho chụp ôm vừa sát cổ răng. Thử lại trên miệng.

Hình 3: Strip crowns
8. Etching và bonding răng
Dùng đúng loại theo hãng composite sẽ dùng. Chiếu đèn 20 giây sau khi bonding
9. Bơm composite vào chụp
Bơm composite vào chụp đã chọn, chiếu đèn, loại bỏ phần composite thừa. Dùng dao 11 hoặc 15 rạch 1 đường dọc theo chụp, sau đó dùng thám trâm để lấy ra.
10. Đánh bóng và hoàn thiện
Đánh bóng composite. Tháo đam và đánh bóng lại
Chụp ảnh sau điều trị.

Hình 4: Hoàn thiện sau điều trị
Ba mẹ lưu ý: Nếu răng sữa của bé bị sâu nhiều, sứt mẻ hoặc nhiễm màu, hãy đưa bé đến nha khoa sớm để kiểm tra và phục hồi kịp thời nhé!


