Trong rất nhiều trường hợp cần can thiệp chỉnh nha, bác sỹ và bệnh nhân thường đứng trước nhiều lựa chọn với hướng điều trị đối lập nhau. Với bệnh nhân có xuất phát điểm khớp cắn ngược, luôn luôn trong kế hoạch của bác sỹ có thêm 1 lựa chọn có kết hợp với phẫu thuật hay chỉ điều trị đưa khớp cắn về gần nhất với bình thường. Việc điều trị ngụy trang không có can thiệp phẫu thuật thường được chỉ định với những trường hợp nhẹ đến trung bình, độ lệch lạc xương hàm không quá nhiều, hoặc đôi khi do mong muốn không muốn can thiệp phẫu thuật tối đa của bệnh nhân. Sau khi lấy dữ liệu và tính toán, trao đổi các phương án và kết quả dự kiến, bác sỹ sẽ quyết định có chỉnh nha ngụy trang cho bệnh nhân được hay không.
Việc điều trị khớp cắn ngược cần được thực hiện sớm để đạt hiệu quả tối ưu, cải thiện cả về chức năng và thẩm mỹ. Chỉ định điều trị thường áp dụng cho các trường hợp khớp cắn ngược rõ ràng, gây ảnh hưởng đến khả năng nhai hoặc thẩm mỹ, đặc biệt là khi trẻ em và thanh thiếu niên đang trong giai đoạn phát triển hàm. Đối với người trưởng thành, việc điều trị cũng có thể thực hiện được, nhưng quá trình điều trị sẽ kéo dài hơn.
Các khí cụ chỉnh nha thường được sử dụng để điều chỉnh vị trí răng và hàm, bao gồm mắc cài kim hoặc khay niềng trong suốt. Ngoài ra, trong một số trường hợp nặng, bác sĩ có thể chỉ định sử dụng các khí cụ hỗ trợ như minivis. Tùy thuộc vào mức độ khớp cắn ngược và độ tuổi bệnh nhân, kế hoạch điều trị sẽ được điều chỉnh phù hợp, giúp bạn có một kết quả đẹp tự nhiên và bền vững.
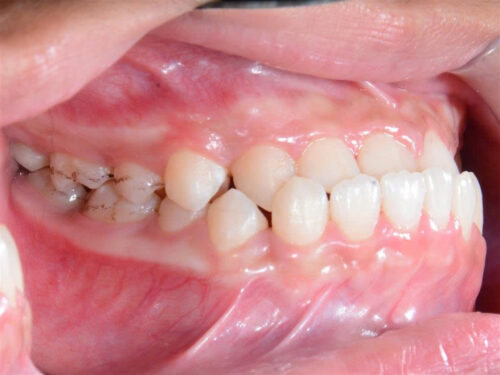
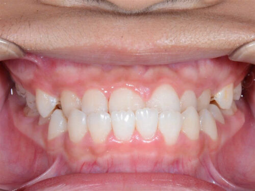
1. Trước chỉnh nha

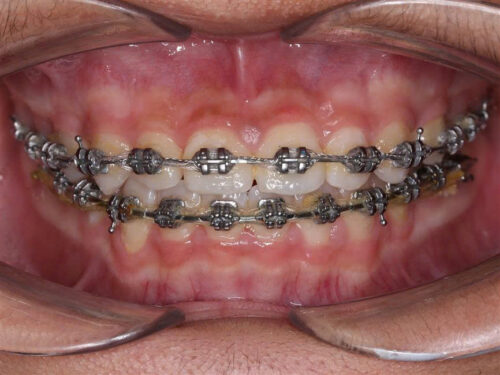
2. Trong quá trình chỉnh nha

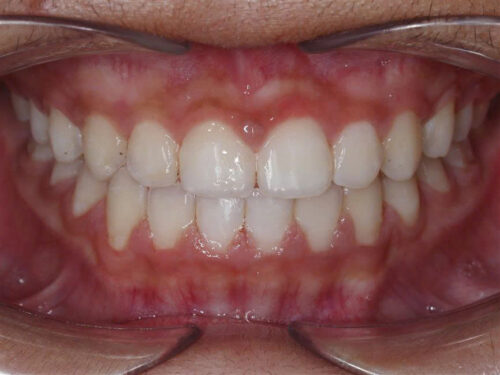
3. Sau chỉnh nha



