Không ít trẻ đến nha sĩ khi răng đã sâu lớn, sưng đau hoặc viêm nhiễm nặng, trong khi những dấu hiệu cảnh báo đầu tiên xuất hiện từ rất sớm nhưng bị bỏ qua.
Nhiều cha mẹ cho rằng các vấn đề răng miệng ở trẻ nhỏ là “chuyện vặt”, “răng sữa kiểu gì chẳng thay”, răng sâu không cần điều trị có thể chờ đến khi thay răng hoặc khi trẻ kêu đau mới cần đi khám…
Tuy nhiên, trên thực tế, nhiều bệnh lý răng hàm mặt ở trẻ em tiến triển âm thầm, không gây đau ở giai đoạn đầu nhưng có thể để lại hậu quả lâu dài nếu phát hiện muộn, ảnh hưởng đến bộ răng vĩnh viễn sau này cũng như sức khỏe toàn thân của trẻ. Dưới đây là 6 dấu hiệu răng miệng quan trọng ở trẻ mà cha mẹ thường bỏ qua, dù chúng có thể là cảnh báo sớm của những vấn đề nghiêm trọng.

Bệnh nhân có nhiều răng sâu do kiểm soát vệ sinh răng miệng kém trong quá trình chỉnh nha. Ảnh: GS.TS. Võ Trương Như Ngọc.
1. Đốm trắng trên bề mặt men răng – dấu hiệu sâu răng giai đoạn sớm
Nhiều cha mẹ chỉ thực sự lo lắng khi thấy răng trẻ đổi sang màu nâu đen, vỡ mẻ hoặc xuất hiện lỗ sâu rõ rệt, bởi đây là những dấu hiệu “nhìn thấy được” và thường đi kèm cảm giác đau. Trong khi đó, những đốm trắng mờ, đục trên bề mặt men răng – dấu hiệu sớm nhất của sâu răng lại dễ bị xem là răng “bám cặn sữa”, “thiếu canxi” hoặc đơn giản là vấn đề thẩm mỹ không đáng ngại.
Trên thực tế, các đốm trắng này là hậu quả của quá trình mất khoáng men răng đang diễn ra. Axit do vi khuẩn trong mảng bám tạo ra làm hòa tan các tinh thể vô cơ của men răng, khiến bề mặt răng trở nên xốp và mất độ trong tự nhiên. Ở giai đoạn này, cấu trúc men răng chưa bị phá vỡ, chưa hình thành lỗ sâu và cũng chưa gây đau, nên trẻ hoàn toàn không có biểu hiện khó chịu để cha mẹ nhận biết.
Chính vì không đau, không sưng, không ảnh hưởng ngay đến ăn nhai, tổn thương thường bị bỏ qua cho đến khi sâu răng tiến triển vào ngà răng, bề mặt bị vỡ tạo thành các lỗ sâu. Khi đó, việc điều trị không còn dừng ở các biện pháp tái khoáng hóa mà buộc phải can thiệp xâm lấn như trám răng, thậm chí điều trị tủy – những trải nghiệm dễ gây sợ hãi và sang chấn tâm lý cho trẻ nhỏ.
Điều đáng lưu ý là nếu chẩn đoán được sâu răng giai đoạn sớm, tức giai đoạn đốm trắng còn nguyên vẹn chưa bị vỡ thành lỗ sâu thì thông qua các biện pháp tái khoáng như sử dụng fluoride, canxi – phosphate, điều chỉnh chế độ ăn và cải thiện vệ sinh răng miệng, các tổn thương này sẽ hồi phục trở thành men răng lành mạnh. Vì vậy, khi phát hiện răng trẻ có đốm trắng bất thường, cha mẹ nên đưa trẻ đi khám sớm thay vì chờ đến khi răng đổi màu hay đau nhức
2. Trẻ ngủ ngáy – không chỉ là vấn đề tai mũi họng
Ngủ ngáy ở trẻ em thường bị xem là hiện tượng bình thường, nhất là khi trẻ mệt hoặc cảm cúm. Tuy nhiên, ngáy kéo dài, thường xuyên có thể liên quan đến các vấn đề răng hàm mặt và đường thở.
Một số trẻ có hàm hẹp, khớp cắn sai, lưỡi đặt sai vị trí hoặc thở miệng mạn tính, làm cản trở luồng không khí khi ngủ. Về lâu dài, tình trạng này không chỉ ảnh hưởng đến chất lượng giấc ngủ, sự phát triển thể chất, mà còn làm tăng nguy cơ sai lệch khớp cắn, biến dạng khuôn mặt và có thể gây ra hội chứng ngừng thở khi ngủ do tắt nghên. Do đó, trẻ ngủ ngáy thường xuyên cần được đánh giá toàn diện, không chỉ ở chuyên khoa tai mũi họng mà cả răng hàm mặt.
3. Hôi miệng kéo dài – cảnh báo bệnh lý tiềm ẩn
Hôi miệng ở trẻ thường được quy cho việc ăn uống hoặc vệ sinh răng miệng chưa kỹ. Tuy nhiên, nếu tình trạng hôi miệng kéo dài dù đã đánh răng đều đặn, đây có thể là dấu hiệu của sâu răng, viêm lợi hoặc nhiễm trùng trong khoang miệng.

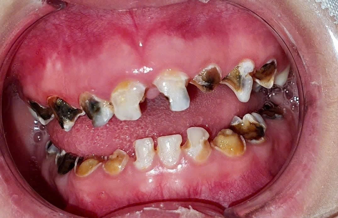
Bệnh nhân bị sâu răng cả hai hàm do vệ sinh răng miệng kém và không được điều trị sớm kịp thời. Ảnh: GS.TS. Võ Trương Như Ngọc.
Ở trẻ nhỏ, sâu răng sữa tiến triển nhanh và có thể gây viêm tủy răng, hoại tử tủy, suốt quá trình trẻ có thể không có cảm giác đau rõ rệt nhưng tủy răng bị hoại tử, viêm nhiễm lan đến phần quanh chóp tạo mủ, sẽ có mùi hôi đặc trưng. Ngoài ra, hôi miệng cũng có thể liên quan đến thói quen thở miệng, làm khô khoang miệng và tạo điều kiện cho vi khuẩn phát triển gây nên các bệnh lý viêm nhiễm đường hô hấp trên.
4. Trẻ chỉ nhai một bên – dấu hiệu đau răng hoặc lệch khớp cắn
Nhiều bố mẹ không để ý đến thói quen ăn nhai của trẻ. Tuy nhiên, việc trẻ chỉ nhai một bên hàm trong thời gian dài thường không phải ngẫu nhiên. Đây có thể là phản xạ né tránh do đau gây ra bởi sâu răng, viêm lợi hoặc rối loạn khớp thái dương – hàm. Nếu kéo dài, thói quen này có thể dẫn đến lệch hàm, mất cân đối cơ mặt, ảnh hưởng đến sự phát triển xương hàm, cụ thể ảnh hưởng đến sự tăng trưởng và phát triển xương hàm của trẻ.
Việc phát hiện sớm thói quen nhai một bên giúp can thiệp kịp thời, tránh các rối loạn khớp cắn phức tạp về sau.
5. Thức ăn thường xuyên dắt vào kẽ răng – không nên chủ quan
Nhiều cha mẹ cho rằng việc thức ăn hay bị dắt vào kẽ răng chỉ là do trẻ ăn uống bất cẩn. Trên thực tế, đây có thể là dấu hiệu của khe hở bất thường giữa các răng do sâu ở kẽ răng, hoặc tình trạng răng mọc lệch, khớp cắn không chuẩn.
Thức ăn mắc kẹt tạo điều kiện cho vi khuẩn phát triển, tiếp tục làm tăng nặng tình trạng sâu răng và viêm lợi. Các lỗ sâu mặt bên tiến triển nhanh và phức tạp dễ dẫn đến các bệnh lý về tủy. Nếu tình trạng này lặp lại thường xuyên, trẻ cần được kiểm tra để xác định nguyên nhân thay vì chỉ hướng dẫn súc miệng hoặc dùng tăm xỉa răng.
6. Nghiến răng khi ngủ – dấu hiệu không nên xem nhẹ
Nhiều bậc cha mẹ khi nghe thấy trẻ nghiến răng lúc ngủ thường cho rằng đây chỉ là thói quen thoáng qua hoặc do trẻ bị giun, căng thẳng học tập. Tuy nhiên, trên thực tế, nghiến răng ở trẻ em có thể liên quan đến nhiều vấn đề răng hàm mặt và hô hấp tiềm ẩn. Tình trạng này thường gặp ở những trẻ có sai khớp cắn, hàm hẹp, rối loạn vị trí lưỡi hoặc thở miệng khi ngủ, làm cho cơ nhai phải hoạt động quá mức. Nếu nghiến răng kéo dài, trẻ có nguy cơ bị mòn răng sữa, đau vùng hàm – thái dương, rối loạn giấc ngủ và ảnh hưởng đến sự phát triển bình thường của răng vĩnh viễn.
Do đó, khi phát hiện trẻ có biểu hiện nghiến răng thường xuyên, đặc biệt kèm theo ngủ không sâu giấc, ngáy hoặc mệt mỏi ban ngày, cha mẹ nên đưa trẻ đi khám răng hàm mặt để được đánh giá toàn diện và can thiệp sớm.
Phát hiện sớm – chìa khóa bảo vệ sức khỏe răng miệng cho trẻ
Các chuyên gia khuyến cáo, khám răng định kỳ 3-6 tháng/lần cho trẻ em không chỉ để kiểm tra sâu răng mà còn giúp phát hiện sớm các dấu hiệu bất thường về khớp cắn, hô hấp và thói quen chức năng.
Răng sữa không chỉ có vai trò ăn nhai tạm thời, mà còn định hướng cho sự phát triển răng vĩnh viễn và cấu trúc khuôn mặt. Việc bỏ qua những dấu hiệu tưởng chừng nhỏ nhặt có thể khiến trẻ phải đối mặt với điều trị phức tạp và tốn kém hơn trong tương lai.
Nguồn Báo Nông Nghiệp & Môi Trường: https://nongnghiepmoitruong.vn/cha-me-thuong-bo-qua-nhung-dau-hieu-rang-mieng-nguy-hiem-nao-o-tre-em-d796828.html


