Giai đoạn thay răng từ 6 đến 12 tuổi được ví là “thời điểm vàng” để kiến tạo nụ cười tương lai cho trẻ. Tuy nhiên, nhiều bậc phụ huynh khi thấy con xuất hiện khe thưa lớn ở vùng răng cửa thường chủ quan cho rằng “răng chưa mọc hết nên chưa khít”.
Thực tế, đây có thể là dấu hiệu cảnh báo sự hiện diện của răng thừa ngầm (Mesiodens) – một chiếc răng “ẩn mình” trong xương hàm gây ra những sai lệch nghiêm trọng nếu không được can thiệp kịp thời.
1. Răng thừa ngầm (Mesiodens) là gì?
Răng thừa ngầm là những mầm răng dư thừa phát triển bên trong xương hàm nhưng không mọc lộ ra ngoài như răng bình thường. Vị trí phổ biến nhất của loại răng này là nằm ngay giữa hoặc phía sau hai răng cửa chính hàm trên.
Vì “ẩn mình” dưới nướu, chúng âm thầm tạo ra rào cản vật lý, ngăn chặn các răng vĩnh viễn di chuyển về đúng vị trí, dẫn đến tình trạng khe thưa lớn bất thường hoặc răng cửa mọc lệch lạc.

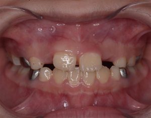
Dấu hiệu răng thừa ngầm ở trẻ
2. Dấu hiệu nhận biết “kẻ ẩn danh” tại nhà
Ba mẹ có thể quan sát nụ cười của con để phát hiện sớm các dấu hiệu nghi ngờ:
- Khe thưa bất thường: Hai răng cửa chính mọc ra nhưng cách xa nhau (thường >2mm) và không có xu hướng tự khít lại theo thời gian.
- Răng mọc lệch/xoay: Một hoặc cả hai răng cửa bị mọc nghiêng, xoay trục hoặc mọc chìa ra ngoài do bị răng ngầm bên dưới chèn ép.
- Răng vĩnh viễn chậm mọc: Một bên răng cửa đã mọc dài nhưng bên còn lại mãi không thấy “nhú” lên dù đã quá thời gian thay răng.
- Khối lồi ở lợi: Cảm nhận có khối cứng lồi lên ở vùng vòm miệng hoặc phía sau răng cửa.


3. Những hệ lụy “ngầm” nếu không điều trị sớm
Nếu không được phát hiện và xử lý, răng thừa ngầm không chỉ gây mất thẩm mỹ mà còn kéo theo nhiều biến chứng phức tạp:
- Xô lệch toàn hàm: Răng thừa chiếm chỗ khiến các răng vĩnh viễn khác mọc chen chúc, gây sai lệch khớp cắn trầm trọng.
- Cản trở chức năng ăn nhai: Khớp cắn không chuẩn ảnh hưởng đến khả năng nghiền nát thức ăn và phát âm của trẻ.
- Nguy cơ u nang: Răng ngầm lâu ngày có thể phát triển thành nang thân răng, gây tiêu xương hàm và ảnh hưởng đến các răng khỏe mạnh lân cận.
- Tăng chi phí chỉnh nha: Việc xử lý răng thừa muộn thường đi kèm với các ca niềng răng phức tạp, kéo dài thời gian và tốn kém chi phí gấp nhiều lần.
4. Giải pháp điều trị: Nhổ bỏ răng thừa – Giải phóng nụ cười
Tại nha khoa, quy trình xử lý răng thừa ngầm hiện nay diễn ra rất nhẹ nhàng và an toàn:
- Thăm khám & Chụp phim (X-quang/CT Cone Beam): Đây là bước quan trọng nhất để xác định chính xác vị trí, hình dáng và mức độ ảnh hưởng của răng thừa đối với các chân răng xung quanh.
- Tiểu phẫu lấy răng thừa: Bác sĩ thực hiện thủ thuật nhỏ để loại bỏ răng thừa. Với công nghệ hiện đại, quá trình này diễn ra nhanh chóng, ít xâm lấn và bé hầu như không đau đớn.
- Theo dõi & Chỉnh nha (nếu cần): Sau khi loại bỏ vật cản, răng vĩnh viễn thường sẽ tự di chuyển về vị trí đúng. Trong một số trường hợp, bác sĩ sẽ hỗ trợ bằng các khí cụ chỉnh nha đơn giản để đóng khe thưa hoàn toàn.
5. Lời khuyên từ chuyên gia
Đừng đợi đến khi răng con mọc lệch hẳn mới đi khám. Việc tầm soát định kỳ mỗi 6 tháng là cách tốt nhất để bảo vệ nụ cười của bé.
Thông điệp cho ba mẹ: “Một phim chụp X-quang đơn giản có thể giúp con tránh được cả một quá trình chỉnh nha gian khổ sau này.”
Ba mẹ có đang lo lắng về khe thưa răng cửa của bé?
Hãy liên hệ với đội ngũ bác sĩ chuyên khoa của chúng tôi để được tư vấn và chụp phim kiểm tra miễn phí. Đừng để những chiếc răng “ẩn mình” làm mất đi sự tự tin của con yêu!


