Kém khoáng hóa men răng hàm – răng cửa (MIH) là bệnh lý phổ biến liên quan đến khiếm khuyết cấu trúc men răng trong quá trình phát triển, với tỉ lệ xác định khoảng 13% dân số thế giới.

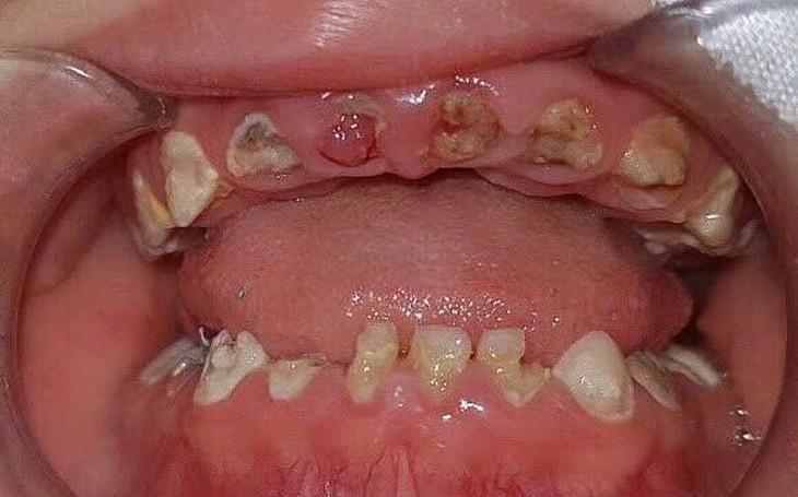
Răng bị kém khoáng sẽ đổi màu so với răng bình thường – Ảnh: BSCC
Mặc dù thuật ngữ bao gồm cả răng hàm và răng cửa nhưng tiêu chuẩn chẩn đoán bắt buộc là phải ít nhất một răng hàm vĩnh viễn thứ nhất mắc tổn thương, răng cửa có thể có hoặc không.
Đặc điểm được biết đến nhiều nhất là các tổn thương đốm trắng có ranh giới rõ do sự kém khoáng hóa của men răng gây ra. Trong những trường hợp nặng hơn, có hiện tượng vỡ men răng sau khi mọc, các tổn thương sâu răng không điển hình và đau, bao gồm cả nhạy cảm ngà.
Ngoài các răng hàm và răng cửa, các răng khác cũng có thể bị tổn thương men răng do bệnh lý này gây ra.
Tổn thương có màu sắc rất phong phú, gọi là đốm trắng nhưng có thể có màu trắng, nâu, vàng… với các độ bão hòa màu sắc rất khác nhau.
Men răng người mắc bệnh thường xốp do cấu trúc chứa nhiều thành phần sợi protein hơn là các cấu trúc khoáng hóa, điều này làm cho răng có hiện tượng vỡ men sau khi mọc. Nhiều nghiên cứu chỉ ra rằng các răng mắc bệnh rất nhạy với sâu răng, và sâu răng trên nền răng mắc kém khoáng men sẽ tiến triển rất nhanh.
Vì vậy, người bệnh thường được phát hiện ở giai đoạn muộn, tức là răng đã có hiện tượng vỡ men nhiều, làm cho người bệnh và bác sĩ nghĩ là sâu răng. Tuy nhiên, nếu răng kém khoáng được điều trị như phác đồ điều trị sâu răng thì sẽ dễ dẫn đến thất bại, nên cần phân biệt rõ sâu răng và bệnh này, sâu răng trên nền kém khoáng để có kế hoạch điều trị phù hợp.
Điều trị răng hàm mắc bệnh thế nào?
Răng hàm lớn mắc bệnh này rất dễ bị sâu răng vì kém khoáng hóa và răng nhạy cảm trẻ không dám chải răng, khi bị sâu răng thì bị phá hủy rất nhanh. Do vậy, dự phòng sớm ngay khi răng mới mọc là rất cần thiết.
Để dự phòng sớm cần hướng dẫn tăng cường vệ sinh răng miệng và chế độ ăn cho trẻ, sử dụng các sản phẩm dự phòng như nước súc miệng có fluor, CPP/ACP, véc-ni fluor. Với trẻ em dưới 6 tuổi nên sử dụng các sản phẩm có chứa CPP-ACP không có fluor như GC tooth mousse để chải răng.
Các loại nước súc miệng có fluor có thể sử dụng sau các bữa ăn phụ hoặc buổi trưa ở trường học khi các cháu không thể chải răng. Theo thói quen thì trẻ thường chải răng vào buổi sáng và tối, người lớn cũng tương tự, do vậy, buổi trưa là thời điểm cần thiết và thích hợp để súc miệng với các sản phẩm nước súc miệng có chứa fluor để dự phòng sâu răng và tái khoáng hóa.
Với các răng hàm mắc kém khoáng thể trung bình và nặng, men răng có hiện tượng vỡ men răng ngay sau khi mọc, bề mặt thường có mảng bám và có sâu răng thứ phát, khi có sâu răng thì bề mặt bị vỡ rất nhanh, việc điều trị sẽ trở nên phức tạp hơn với bác sĩ vì dán dính bị ảnh hưởng.
Một số vật liệu có thể sử dụng để phục hồi răng hàm mắc thể trung bình và nặng có thể sử dụng là xi măng thủy tinh lai, composite, các loại chụp thép có sẵn, cũng như là các phục hồi dán tiếp như onlay, overlay sứ…
Một chỉ định rất cần lưu ý đó là nhổ bỏ các răng hàm mắc bệnh thể nặng, bị phá hủy trầm trọng để dùng răng hàm thứ hai thay thế cho răng hàm thứ nhất, dùng răng khôn thay thế cho răng hàm thứ hai.
Phát hiện sớm góp phần ngăn ngừa tình trạng vỡ men răng hàm
Các bác sĩ chuyên sâu về nha khoa trẻ em và các bác sĩ nha khoa phục hồi có vai trò quan trọng phát hiện sớm các tổn thương kém khoáng hóa men răng hàm – răng cửa dựa vào các đặc điểm đặc trưng rõ nét qua các lần khám răng định kỳ như:
(1) Các đốm đổi màu trên răng có thể là màu trắng hoặc màu vàng, nâu.
(2) Các miếng trám không điển hình trên bề mặt răng.
(3) Hiện tượng ê buốt răng hàm hoặc răng cửa từ lứa tuổi rất sớm ngay khi răng mới mọc.
(4) Vỡ men răng ngay từ khi mới mọc
Khi nào nên đến gặp bác sĩ răng hàm mặt?
Trẻ em nên được chăm sóc răng miệng định kỳ ngay từ khi chiếc răng đầu tiên mọc lên. Đối với răng vĩnh viễn cũng thế nên được chăm sóc ngay từ khi mới mọc lên để có thể phát hiện được các bất thường phát triển men răng và có chiến lược dự phòng cũng như điều trị phù hợp với từng giai đoạn phát triển.
Nếu có điều kiện nên đến gặp bác sĩ nha khoa sớm từ khi người mẹ mang thai để được tư vấn các phương pháp dự phòng.
Nếu phát hiện tình trạng xuất hiện các đốm màu bất thường trên răng, răng có hiện tượng vỡ hoặc trẻ bị ê buốt khi ăn nhai hoặc khi đánh răng, bạn hãy đưa trẻ đến gặp các bác sĩ chuyên sâu để có thể khám, chẩn đoán chính xác và đưa ra phác đồ điều trị phù hợp.
ThS ĐỖ TRỌNG HIẾU – GS.TS VÕ TRƯƠNG NHƯ NGỌC



