Chúng ta thường nghe nói nhiều đến một loại á kim có thể gây ngộ độc cho con người đó là Arsenic. Trước đây, arsenic cũng là một trong những thành phần được sử dụng để làm thuốc diệt tủy trong nha khoa. Tuy nhiên, vì nó có quá nhiều các độc tính nên dần dần cũng không được sử dụng. Tuy nhiên, thực tế, các sản phẩm có chứa arsenic để diệt tủy vẫn còn trên thị trường. Thỉnh thoảng vẫn nghe kể ở đâu đó cũng có bác sĩ sử dụng các thuốc có arsenic để chữa tủy răng. Để làm rõ hơn tại sao không nên sử dụng arsenic để diệt tủy, chúng tôi mong muốn các độc giả hãy đọc bài viết này.
- Sơ lược về Arsenic
Arsenic (As) thường được gọi là thạch tín – vốn là từ chỉ arsenic trioxide (As2O3). Arsenic là một á kim có khả năng gây ngộ độc. Arsenic tồn tại dưới nhiều dạng thù hình chủ yếu là màu xám, màu đen và màu vàng và ở hợp chất arsenicua và arsenicat.
Arsenic và các hợp chất của nó được sử dụng làm thuốc diệt cỏ, thuốc trừ sâu, chất bán dẫn hoặc trong một số sản phẩm công nghiệp. Việc sử dụng arsenic làm chất bảo quản gỗ trong công nghiệp chiếm tới 2/3 lượng sử dụng arsenic nhưng tới 2003, việc sử dụng gỗ này trong dân dụng như làm sàn nhà, làm hàng rào hoặc khu vực vui chơi đã bị cấm. Tại Hoa Kỳ, việc sử dụng arsenic trong các thuốc trừ sâu diệt cỏ cũng bị loại bỏ ngoại trừ monosodium methane arsonate (MSMA). Ngoài ra arsenic trioxit còn được Dược điển Hoa Kỳ đưa vào sử dụng như một loại thuốc điều trị ung thư. Arsenic còn là thành phần của một số loại thuốc dân gian hoặc thuốc bổ.
Ngộ độc arsenic được coi là một trong những vấn đề sức khỏe toàn cầu có ảnh hưởng tới hàng triệu người trên thế giới do khả năng gây ngộ độc môi trường làm việc cũng như tình trạng tự sát hoặc giết người. Mặc dù các vụ giết người bằng arsenic luôn được các phương tiện truyền thông quan tâm nhưng ảnh hưởng độc hại của arsenic lên con người từ nước, đất và các sản phẩm chứa arsenic thì chưa được thực sự chú ý tới. Theo WHO khuyến cáo mức arsenic trong nước uống an toàn là dưới 10 μg/L.
Arsenic được sử dụng ở trong nha khoa, ban đầu nó được dùng để giảm cơn đau tủy trong điều trị nội nha1. Một trong những cách để làm chết tủy răng trong trường hợp viêm tủy không hồi phục là sử dụng arsen trioxide (As203). Tuy nhiên đây là phương pháp được dùng từ rất lâu và ngày nay không còn khuyến cáo sử dụng.
- Lịch sử sử dụng arsenic trong nha khoa và thực trạng hiện nay
Khoảng 2000 năm trước thì arsenic được khu vực Trung Đông và Châu Âu sử dụng để diệt tủy, làm giảm đau cho bệnh nhân và điều trị nội nha cho bệnh nhân. Mặc dù có vài bệnh nhân tử vong khi có sử dụng arsenic trong nha khoa, tuy nhiên, không có bằng chứng khẳng định chắc chắn nguyên nhân tử vong là do arsenic. Sau đó việc sử dụng arsenic trong nha khoa ngày càng ít phổ biến từ những năm 18002. Trong lịch sử nha khoa, arsenic từng được ca ngợi như một loại thuốc chữa bách bệnh để điều trị tủy. Tuy nhiên, đã có những tranh cãi từ năm 1844 1. Ngày nay, các chuyên gia nha khoa đều đồng ý rằng không sử dụng arsenic trong thực hành nha khoa, việc sử dụng không chính đáng phải bị lên án và cấm.
Trong một đánh giá do Ủy ban Sản phẩm Thuốc dùng cho Con người (CHMP) thực hiện, các phân tích dữ liệu từ các nghiên cứu trong phòng thí nghiệm và dân số chỉ ra rằng arsenic có thể gây nguy cơ nhiễm độc gen và có thể làm tăng nguy cơ ung thư. Ngoài ra, đã có một số ít trường hợp arsenic được cho là đã rò rỉ ra mô nha chu gây hoại tử mô mềm, hoại tử xương hàm. Trong quá trình phân tích, CHMP đã xem xét các biện pháp nhằm giảm thiểu nguy cơ khi sử dụng các sản phẩm này nhưng rất hạn chế và khuyến cáo cho các nha sĩ rằng rất khó thể giảm thiểu nguy cơ xuống mức an toàn cho người bệnh.
Do đó, dựa trên tiêu chuẩn chăm sóc hiện có, Ủy ban đã kết luận rằng Arsenic có trong Caustinerf và Yranicid mang đến những tác động xấu lên bệnh nhân nhiều hơn là lợi ích mà nó mang lại và khuyến nghị thu hồi giấy phép thương mại. Khuyến nghị của CHMP đã được gửi đến Ủy ban Châu Âu và vào ngày 11 tháng 8 năm 2014, Ủy ban đã ban hành quyết định ràng buộc về mặt pháp lý thu hồi giấy phép đối với các tên gọi arsenical Caustinerf, Yranicid và các tên liên quan trên khắp Châu Âu. Như vậy có thể nói từ tháng 8/2014, arsenic đã không còn được sử dụng ở Châu âu để chữa răng.
- Ảnh hưởng đến môi trường và con người
Arsenic hiện diện trong đất, đá, trầm tích và quặng kim loại ở dạng oxyhydroxide hoặc sunfua hoặc các hợp chất của các kim loại khác nhau trong hầu hết các nơi trên thế giới. Con người chủ yếu tiếp xúc với arsenic qua đường ăn uống, hô hấp và qua da. Nước, thực phẩm, thuốc bị nhiễm arsenic, rượu, khói thuốc và nhiên liệu hóa thạch là những con đường khác nhau để con người tiếp xúc với arsenic. Người lao động bị phơi nhiễm nghề nghiệp với arsenic trong không khí từ các ngành công nghiệp luyện kim và tinh chế kim loại, sản xuất và sử dụng hóa chất có chứa arsenic, sản xuất thủy tinh, chất bán dẫn và các dược phẩm khác. Trong y học, trước đây, nhân viên y tế có thể tiếp xúc với arsenic từ một số loại thuốc có chứa arsenic được sử dụng để điều trị một số bệnh như giang mai, hen suyễn, thấp khớp, ho, ngứa.
– Đường uống là con đường phơi nhiễm chính với arsenic. MCL là tiêu chuẩn nồng độ arsenic trong nước uống, được EPA Hoa Kỳ quy định là 10 µg/l. Trong một số báo cáo, hàng triệu người trên thế giới uống nguồn nước có hàm lượng arsenic vượt ngưỡng cho phép này.
– Hàm lượng arsenic cao trong nước uống gây ra biểu hiện đặc trưng ở da, bệnh mạch máu (xơ cứng động mạch, bệnh mạch máu ngoại biên, bệnh tim thiếu máu cục bộ), bệnh thận, bệnh thần kinh, bệnh tim mạch, bệnh phổi mạn tính, bệnh mạch máu não, ảnh hưởng đến sinh sản, ung thư da, phổi, gan, thận. Tăng phơi nhiễm arsenic cũng liên quan đến bệnh đái tháo đường không phụ thuộc insulin…
– Tác động trên da: biểu hiện ngoài da là dấu hiệu ban đầu và phổ biến nhất của việc phơi nhiễm arsenic mãn tính gây ra các hắc tố đặc trưng, dày sừng, ung thư biểu mô tế bào đáy và ung thư biểu mô tế bào vảy.
– Tác động trên hệ hô hấp và phổi: việc phơi nhiễm các hạt arsenic chủ yếu xảy ra ở các khu công nghiệp. Ban đầu, niêm mạc của hệ hô hấp bị tổn thương có thể có các kích ứng niêm mạc mũi, thanh quản, phế quản và sau đó là thủng vách ngăn mũi.
– Tác động lên hệ thần kinh: Cơ quan chính bị ảnh hưởng do kim loại nặng như arsenic, thủy ngân và chì, là hệ thần kinh trung ương. Các tác động bất lợi của việc tiếp xúc lâu dài với việc uống nước có chứa arsenic đối với hệ thần kinh là những tổn thương thần kinh ngoại biên có hồi phục. Tiếp xúc với arsenic vô cơ trong thời gian dài có thể gây ra bệnh lý thần kinh ngoại biên, tương tự như hội chứng Guillain-Barre3,4.
– Trong nha khoa, việc sử dụng arsenic có thể gây những biến chứng như: Hoại tử xương hàm; Hoại tử mô mềm, hoại tử lợi; Viêm tủy xương hàm…

Hình 1: Hoại tử xương hàm ở vị trí răng 46 sau điều trị nội nha có sử dụng Arsenic5


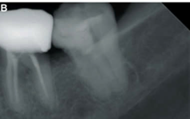
Hình 2: Viêm tủy xương hàm tại vị trí răng 36 sau điều trị nội nha và được nhổ bỏ6
Điểm chung của những ca lâm sàng này là bệnh nhân sử dụng arsenic trong điều trị tủy để giảm đau nhưng khi ra về bệnh nhân gặp phải cơn đau dữ dội và phải quay lại phòng khám để nhổ răng. Tuy nhiên, tình trạng tổn thương đã lan ra ngoài xương hàm.

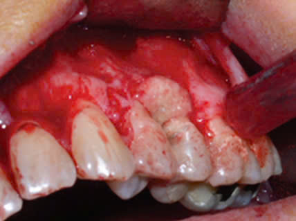
Hình 3: Xương ổ răng bị tiêu, lợi bị hoại tử ở vùng răng 13-14.

Hình 4: Xương ổ răng và nhú lợi vùng răng 37 bị hoại tử do arsenic7

Báo cáo những trường hợp lợi bị hoại tử do sử dụng arsenic băng thuốc trong buồng tủy thường liên quan tới những răng phải điều trị nội nha có tổn thương sâu mặt bên (xoang II).

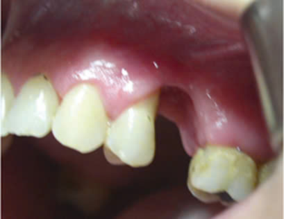
Hình 5: Hình ảnh thiếu hổng xương sau khi phẫu thuật xương bị hoại tử do sử dụng arsenic trong điều trị nội nha răng 25 8.
Việc phẫu thuật cắt bỏ xương và răng bị hoại tử để lại thiếu hổng xương lớn gây khó khăn trong phục hồi lại răng mất cho bệnh nhân sau này. Đặt arsenic trong buồng tủy quá 3 ngày có thể gây các tác động xấu lên răng, xương ổ răng và lợi9
Những nguyên nhân khác nhau dẫn đến việc biến chứng do sử dụng arsenic trong điều trị nội nha:
- Chất trám tạm không cách ly tốt.
- Xoang sâu loại II hoặc tổn thương sâu răng dưới lợi.
- Nước bọt ngấm vào trong buồng tủy và đưa arsenic đi khắp khoang miệng.
- Ống tủy bên hoặc ống tủy mở rộng dẫn tới arsenic thoát ra ngoài mô nha chu.
- Răng bị thủng sàn.
- Để arsenic quá lâu quá 3 ngày trong buồng tủy.

Hình 6: Tổn thương xoang hàm do điều trị nội nha có sử dụng arsenic9
- Giải pháp thay thế cho arsenic trong điều trị nội nha
Với sự phát triển của các loại thuốc tê, kỹ thuật gây tê, kính hiển vi, dụng cụ tạo hình ống tủy, dung dịch bơm rửa, vật liệu trám bít ống tủy việc điều trị nội nha diễn ra được đảm bảo mà không cần tới sử dụng arsenic. Gây tê lấy tủy bằng kỹ thuật gây tê cận chóp, hoặc những kỹ thuật gây tê khác là giải pháp vô cảm để xử trí cấp cứu lấy bỏ phần mô tủy đang viêm hoặc mở thông giảm áp lực để điều trị các cơn đau tủy cấp tính và điều trị nội nha bảo tồn răng.
Với trẻ em hoặc các bệnh nhân có tâm lý sợ hãi, lo lắng, cần sử dụng thêm các biện pháp kiểm soát hành vi khác để phối hợp với các kỹ thuật vô cảm có dùng thuốc. Bơm tiêm điện cũng là một trong những khí cụ giúp trẻ giảm lo lắng khi tiêm và giảm đau khi tiêm do kiểm soát được áp lực khi gây tê.
Tại nha khoa Như Ngọc, hơn 15 năm qua chúng tôi đã nói không với arsenic cũng như với formaldehyde. Thay thế nó là các công nghệ mới, đảm bảo an toàn và không độc tính cho người bệnh.
- Kết luận
Arsenic là một vật liệu từ xưa có được sử dụng trong nha khoa, tuy nhiên, vật liệu này có nhiều độc tính. Trên khía cạnh của lịch sử, arsenic có vai trò quan trọng trong điều trị nội nha để diệt tủy và điều trị răng nhạy cảm khi mà kỹ thuật gây tê và những vật liệu nha khoa còn chưa phát triển10. Nhưng ngày nay, chúng ta nên nói không với arsenic, arsenic có thể loại bỏ hoàn toàn không cần sử dụng trong các qui trình điều trị nha khoa, các vật liệu, kỹ thuật mới có thể giúp bác sỹ điều trị răng miệng cho người bệnh đảm bảo được chất lượng và an toàn. Trong cuốn Cẩm nang Đạo đức nha khoa của Liên đoàn Nha khoa Thế giới (FDI) năm 2018 đã chỉ ra rằng: ngày nay, tại hầu hết các quốc gia, arsenic không được sử dụng13. Việc không sử dụng arsenic trong nha khoa cũng là một hành động giúp bảo vệ môi trường, nâng cao chất lượng cuộc sống cho con người. Do đó chúng ta nên nói không với tất cả những sản phẩm có arsenic trong nha khoa.
GS.TS. Võ Trương Như Ngọc
BS. Đặng Đức Mạnh Hải
Tài liệu tham khảo
- Hyson JM, Jr. A history of arsenic in dentistry. Journal of the California Dental Association. Feb 2007;35(2):135-9.
- States C. Arsenic: Exposure Sources, Health Risks, and Mechanisms of Toxicity. 2015;
- Singh N, Kumar D, Sahu AP. Arsenic in the environment: effects on human health and possible prevention. Journal of environmental biology. Apr 2007;28(2 Suppl):359-65.
- Mochizuki H. Arsenic Neurotoxicity in Humans. International journal of molecular sciences. Jul 11 2019;20(14)doi:10.3390/ijms20143418
- Yavuz MS, Kaya GS, Yalçin E, Aras MH. Mandibular bone necrosis caused by use of arsenic paste during endodontic treatment: two case reports. International endodontic journal. Jul 2008;41(7):633-7. doi:10.1111/j.1365-2591.2008.01406.x
- Dumlu A, Yalcinkaya S, Olgac V, Güvercin M. Osteomyelitis due to arsenic trioxide use for tooth devitalization. International endodontic journal. Apr 2007;40(4):317-22. doi:10.1111/j.0143-2885.2007.01230.x
- Chen G, Sung P-T. Gingival and localized alveolar bone necrosis related to the use of arsenic trioxide paste—Two case reports. Journal of the Formosan Medical Association. 2014/03/01/ 2014;113(3):187-190. doi:https://doi.org/10.1016/j.jfma.2012.07.023
- Garip H, Salih IM, Sener BC, Göker K, Garip Y. Management of Arsenic Trioxide Necrosis in the Maxilla. Journal of Endodontics. 2004/10/01/ 2004;30(10):732-736. doi:https://doi.org/10.1097/01.DON.0000125881.18872.EF
- Sukartini E, Darliana K. Endodontic treatment failure caused by arsen utilization as the devitalization material. 2008:
- Nassar M, Dargham A, Jamleh A, Tamura Y, Hiraishi N, Tagami J. The Hormetic Effect of Arsenic Trioxide on Rat Pulpal Cells: An In Vitro Preliminary Study. European journal of dentistry. May 2021;15(2):222-227. doi:10.1055/s-0040-1718637
- https://www.who.int/news-room/fact-sheets/detail/arsenic
- https://vi.wikipedia.org/wiki/Arsenic#:~:text=Arsenic%20
13.https://www.fdiworlddental.org/sites/default/files/2020-11/fdi-dental_ethics_manual_2.pdf


