TỔNG QUAN VỀ VIÊM LỢI
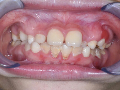
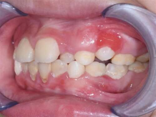
Viêm lợi là tình trạng lợi bị kích ứng, đỏ, sưng và dễ chảy máu. Bệnh viêm lợi không nguy hiểm và có thể điều trị triệt để ở ngay giai đoạn đầu của bệnh.
I. NGUYÊN NHÂN BỆNH VIÊM LỢI
Nguyên nhân viêm lợi thường gặp nhất là do người bệnh vệ sinh răng miệng kém. Khi hệ miễn dịch suy yếu, các mảng bám bao gồm chủ yếu là vi khuẩn sẽ hình thành trên răng. Nếu các mảng bám trên răng nếu không được loại bỏ trong hơn hai đến ba ngày thì sẽ tạo thành vôi răng (cao răng). Từ đó, các mảng bám và cao răng chính là điều kiện thuận lợi kích thích vi khuẩn phát triển gây bệnh viêm lợi
Ngoài ra còn có một số nguyên nhân gây bệnh khác như:
- Sử dụng thuốc lá dẫn tới viêm lợi
- Sự thay đổi nội tiết tố của phụ nữ mang thai hay sau khi sinh
- Một số bệnh như đái tháo đường, ung thư,… khiến hệ miễn dịch suy yếu cũng dẫn tới viêm lợi
- Do tác dụng phụ của một số thuốc như thuốc kháng histamin, thuốc chống trầm cảm,… là nguyên nhân làm giảm tiết nước bọt (thành phần có vai trò làm sạch vi khuẩn) tạo điều kiện cho vi khuẩn phát triển
II.TRIỆU CHỨNG BỆNH VIÊM LỢI

Bệnh viêm lợi thường ít khi đau vì vậy người bệnh có thể bị viêm mà không biết. Các dấu hiệu và triệu chứng viêm lợi có thể có là:
- Lợi sưng nề
- Lợi teo rút
- Lợi chảy máu một cách dễ dàng khi dùng bàn chải đánh răng hoặc chỉ nha khoa, có thể nhận biết qua màu đỏ hoặc hồng trên bàn chải hay chỉ nha khoa
- Sự thay đổi màu sắc lợi răng từ một màu hồng khỏe mạnh đến nâu sẫm đỏ
- Có thể thường xuyên bị loét miệng
- Hơi thở có mùi hôi
- Có cảm giác đau khi nha
Nếu không điều trị viêm lợi thì bệnh có thể tiến triển lây lan đến các mô cơ và xương (nha chu) và có thể dẫn đến mất răng
III. ĐỐI TƯỢNG NGUY CƠ BỆNH VIÊM LỢI
Viêm lợi rất phổ biến trong cộng đồng và bất kì ai cũng có thể gặp. Tuy nhiên có một số đối tượng nguy cơ bị viêm lợi nhiều hơn là:
- Người có thói quen bảo vệ sức khỏe răng miệng kém
- Người hút thuốc lá, bia rượu
- Người lớn tuổi
- Người mắc các bệnh như: tiểu đường, HIV, nhiễm virus hoặc nấm
- Phụ nữ mang thai hoặc sau khi sinh có sự thay đổi nội tiết tố
- Người có chế độ dinh dưỡng kém
IV. PHÒNG NGỪA BỆNH VIÊM LỢI

Biện pháp phòng ngừa tích cực nhất của bệnh viêm lợi là có một chế độ chăm sóc răng miệng tích cực và đều đặn:
- Đánh răng ít nhất hai lần mỗi ngày và chọn bàn chải lông mềm, chải nhẹ nhàng làm sạch tất cá các mặt răng.
- Khuyến khích sử dụng chỉ nha khoa để làm sạch các mảng bám thức ăn trên kẽ răng mà bàn chải không làm sạch được, cần hạn chế dùng tăm vì dễ gây tổn thương lợi
- Sử dụng nước súc miệng sát khuẩn theo khuyến cáo của bác sĩ
- Massage lợi răng nhẹ nhàng để loại bỏ đau răng và xoa bóp để tăng cường lưu thông máu đến khu vực lợi giúp chữa bệnh
Ngoài ra còn cần có một chế độ sinh hoạt khỏe mạnh, không làm tổn thương đến răng miệng: không hút thuốc lá và hạn chế rượu bia, có một chế độ dinh dưỡng đầy đủ
V. CÁC BIỆN PHÁP CHUẨN ĐOÁN BỆNH VIÊM LỢI
Chẩn đoán viêm lợi cần dựa vào triệu chứng viêm lợi như: lợi sưng đỏ, có mảng bám và dễ chảy máu. Bên cạnh đó cần kiểm tra cả răng, lợi răng và lưỡi một cách tổng quát, tìm các mảng bám và cao răng tích tụ để chẩn đoán nguyên nhân
Nếu các biểu hiện triệu chứng không thực sự rõ ràng thì cần làm một số xét nghiệm kiểm tra sức khỏe để phát hiện các bệnh lý tiềm ẩn toàn thân
VI. CÁC BIỆN PHÁP ĐIỀU TRỊ BỆNH VIÊM LỢI
Điều trị viêm lợi có thể đảo ngược các triệu chứng và ngăn chặn sự tiến triển và biến chứng nghiêm trọng như mất răng. Tuy nhiên, hiệu quả điều trị còn cần phụ thuộc và chế độ chăm sóc và tăng cường vệ sinh răng miệng tại nhà
Các phương pháp để điều trị viêm lợi là:
- Đánh giá tình trạng và làm sạch răng miệng kỹ lưỡng để loại bỏ tất cả dấu vết của mảng bám và cao răng
- Hướng dẫn bệnh nhân sử dụng chỉ nha khoa có kỹ thuật hiệu quả
- Thường xuyên theo dõi và kiểm tra, làm sạch răng miệng chuyên nghiệp
- Sửa chữa và phục hồi răng mà cản trở việc vệ sinh đầy đủ (nếu cần)
TÀI LIỆU THAM KHẢO
- Identification of inflamed gingival surfaces Sean W. Meitner, Helmut A. Zander, Howard P. Iker, Alan M. Polson
- Effect of a chlorhexidine mouthrinse on plaque, gingival inflammation and staining in gingivitis patients: a systematic review
Daniëlle A. C. Van Strydonck, Dagmar E. Slot, Ubele Van der Velden, Fridus Van der Weijden
3.Effect of pregnancy on gingival inflammation in systemically healthy women: a systematic review
Elena Figuero, Ana Carrillo-de-Albornoz, Conchita Martín, Aurelio Tobías, David Herrera
Bs Trần Khánh Linh


