Cùng với sự phát triển của kinh tế xã hội, hiểu biết về chăm sóc sức khỏe và nhu cầu khám chữa bệnh nói chung của xã hội cũng tăng. Khám chữa răng miệng cũng không nằm ngoài xu thế đó. Trong đó điều trị nắn chỉnh răng đang trở thành xu thế và được quan tâm sớm. Nắn chỉnh răng không chỉ tập trung giải quyết bệnh lí lệch lạc khớp cắn, mà còn quan tâm đến dự phòng điều trị sớm các lệch lạc khớp cắn, loại bỏ hoặc giảm nguy cơ mắc các bệnh lí khác xảy ra do hậu quả của lệch lạc khớp cắn. Chính vì vậy, những năm gần đây, việc tìm hiểu thông tin, kiến thức về nắn chỉnh răng trong cộng đồng ngày càng tăng, đặc biệt là ở độ tuổi trẻ, thế hệ sử dụng công nghệ, internet và thiết bị thông minh phổ biến.
Một trong những chủ đề được tìm kiếm nhiều nhất liên quan đến niềng răng: Niềng răng không nhổ răng và có nhổ răng. Với từ khóa “niềng răng có nhổ răng”: 317.000 kết quả, “niềng răng không nhổ răng”: 419.000 kết quả.


Ngay cả trong kết quả tìm kiếm với từ khóa “niềng răng có nhổ răng”, kết quả cho thấy xu hướng muốn tránh nhổ răng trong nắn chỉnh răng của người tìm kiếm.
Trong thực hành lâm sàng, chúng tôi cũng ghi nhận “mong muốn” phổ biến này của người bệnh với hai câu hỏi phổ biến: không nhổ răng có được không? Và nhổ răng có hại gì không?
Vậy chúng ta nên nhìn nhận vấn đề này như thế nào và làm thế nào để lựa chọn được giải pháp phù hợp với nhu cầu điều trị của bản thân.
Trước hết, cần phải hiểu rằng, kế hoạch điều trị của người bệnh được xây dựng dựa trên hai yếu tố: tình trạng bệnh lí và mong muốn điều trị của người bệnh. Trong đó, “mong muốn điều trị” thường là vấn đề chính mà người bệnh than phiền, khó chịu khi tìm đến bác sĩ, nhưng không phải là mong muốn nói chung, mơ hồ, không có căn cứ khoa học, mà đây là những mong muốn, nhu cầu được cụ thể hóa sau khi có sự thăm khám, tư vấn chuyên môn của bác sĩ. Đây là phần khác với nội dung: than phiền chính khi đến khám, vốn là cảm nhận chủ quan của người bệnh. Tình trạng bệnh lí/ các vấn đề mà người bệnh có, là những vấn đề sức khỏe răng miệng mà qua thăm khám, các phân tích cận lâm sàng, bác sĩ tìm ra và lập kế hoạch điều trị.
Như vậy, người bệnh có quyền lựa chọn điều trị phù hợp với bản thân sau khi được tư vấn bởi bác sĩ chuyên sâu dựa trên nguyên tắc khoa học, tự nguyện và hợp pháp. Điều này có nghĩa là nhổ răng hay không nhổ răng niềng răng là ở quyết định của người bệnh. Tuy nhiên, mỗi một lựa chọn sẽ đi cùng kế hoạch điều trị khác nhau, cũng như kết quả điều trị khác nhau, điều này người bệnh cần được cung cấp thông tin đầy đủ để lựa chọn. Vậy khi nào bác sĩ niềng răng cân nhắc lựa chọn điều trị nắn chỉnh răng có nhổ răng?

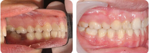
Hình 1: Răng cửa chìa nhiều kết hợp chen chúc, được nhổ răng để sắp xếp lại răng, trục răng cửa đẹp hơn.
Hai luồng quan điểm liên quan đến quyết định nhổ răng hay không nhổ răng chỉnh nha đã được phân tích trong cả thế kỉ. Vào đầu thế kỉ XX, quan điểm chỉnh nha không nhổ răng được phổ biến với học thuyết chỉnh nha Angle. Tuy nhiên sau đó, học trò của Angle, Tweed, thấy rằng rất nhiều trong số ca điều trị không nhổ răng cho kết quả không ổn định, có sự tái phát thể hiện ở việc răng cửa bị chìa vẩu trở lại. Sau đó, ông quyết định điều trị lại các ca đó với kế hoạch nhổ răng chỉnh nha, và đạt được kết quả điều trị ổn định về mặt chức năng lẫn thẩm mỹ. Điều này dẫn đến việc nhổ răng chỉnh nha trở thành một lựa chọn để điều trị các ca lệch lạc khớp cắn nhất định ở cuối thế kỉ XX. Trong lâm sàng, đặc biệt ở Việt Nam, có ba yếu tố định hướng bác sĩ cân nhắc lựa chọn nhổ răng khi điều trị nắn chỉnh răng ở tuổi trưởng thành:
– Răng chen chúc nặng, xương hàm hẹp cả hai hàm.
– Răng cửa chìa/vẩu nhiều, người bệnh muốn giảm chìa giảm vẩu nhiều.
– Kết hợp cả hai nguyên nhân trên.


Hình 2: Nhổ răng niềng răng và sự thay đổi khuôn mặt
Trong trường hợp, không nhổ răng mà kết quả điều trị vẫn làm hài lòng bạn thì điều trị không nhổ răng sẽ được ưu tiên cân nhắc cùng với yếu tố ổn định chức năng.

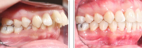
Hình 3: Răng cửa chìa nhiều, nhưng điều trị không nhổ răng vẫn đạt được mục tiêu và mong muốn điều trị của người bệnh.
Như vậy, việc nhổ răng hay không nhổ răng phụ thuộc vào tình trạng bệnh lí và mong muốn của người bệnh sau khi cân nhắc yếu tố ổn định chức năng, yếu tổ thẩm mỹ khuôn mặt đặc biệt quan trọng khi thảo luận kế hoạch điều trị.
Vậy những lo lắng khi nhổ răng:
1. SỢ ĐAU
Với phương pháp nhổ răng sang chấn tối thiểu, đau sẽ không còn là nỗi lo. Nhất là khi có rất nhiều phương tiện hỗ trợ việc giảm đau trước, trong và sau khi nhổ răng.
– Trước nhổ: nghiệm pháp tâm lí, thuốc giảm đau trước nhổ.
– Trong nhổ răng: phương pháp nhổ răng sang chấn tối tiểu có sử dụng huyết tương giàu yếu tố tăng trưởng.
– Sau nhổ răng: nghiệm pháp giảm đau sử dụng laser hỗ trợ, thuốc giảm đau, chăm sóc sau nhổ theo hướng dẫn.

Hình 4: Máy li tâm tạo PRF từ máu tự thân

Hình 5: Máy siêu âm Piezotome II ứng dụng nhổ răng sang chấn tối thiểu.
2. ẢNH HƯỞNG ĐẾN THẦN KINH.
Đây là quan điểm sai được phổ biến trong dân gian. Việc thăm khám, chẩn đoán và lập kế hoạch điều trị tốt cùng với trang thiết bị hiện đại sẽ hạn chế tối đa các nguy cơ có thể gặp trước, trong và sau nhổ răng như chảy máu kéo dài, sưng, đau.
Các cảm giác không thoải mái, nếu có, thường là tạm thời và sẽ hết sau vài ngày. Thời gian này phụ thuộc vào nhiều yếu tố, tuy nhiên có thể giảm tối đa bằng việc sử dụng các biện pháp hỗ trợ như trên.
Người bệnh sau nhổ răng chỉnh nha vẫn có thể sinh hoạt, làm việc bình thường.
3. KHOẢNG TRỐNG SAU NHỔ RĂNG CÓ KÍN HẾT KHÔNG?
Thông thường, khoảng trống sau nhổ răng sẽ được che kín bằng việc di chuyển các răng lân cận vào khoảng trống nhổ răng.
Các vấn đề liên quan đến khe thưa còn lại nếu có, trong những trường hợp đặc biệt như bất thường kích thước, hình thể răng… sẽ được phân tích, trao đổi trước điều trị, và có giải pháp khắc phục sau khi kết thúc chỉnh nha.
Tài liệu tham khảo
- Khanum A, Prashantha GS, Mathew S, Naidu M, Kumar A. Extraction vs. Non-Extraction Controversy: a review. Journal of Dental & Orofacial Research
- Araújo TM, Caldas LD. Tooth extractions in Orthodontics: first or second premolars? Dental Press J Orthod. 2019 Aug 1;24(3):88-98.
- Domah F, Shah R, Nurmatov UB, Tagiyeva N. The Use of Low-Level Laser Therapy to Reduce Postoperative Morbidity After Third Molar Surgery: A Systematic Review and Meta-Analysis. J Oral Maxillofac Surg. 2021 Feb;79(2):313.e1-313.e19. doi: 10.1016/j.joms.2020.09.018. Epub 2020 Sep 17. PMID: 33058775.
- Sharma SD, Vidya B, Alexander M, Deshmukh S. Periotome as an Aid to Atraumatic Extraction: A Comparative Double Blind Randomized Controlled Trial. J Maxillofac Oral Surg. 2015 Sep;14(3):611-5. doi: 10.1007/s12663-014-0723-8. Epub 2014 Nov 8. PMID: 26225052; PMCID: PMC4511886.
Bs Lưu Minh Quang


