Khi con bạn có răng mọc lẫy, hoặc một lỗ sâu trên răng, thông thường bạn tìm đến nha sỹ chỉ với mong muốn đơn thuần là nhổ răng hoặc hàn chiếc răng sâu đó. Nhưng có thể con bạn sẽ cần nhiều hơn thế để có một hàm răng khỏe và đẹp trong tương lai. Sức khỏe răng miệng có thể ảnh hưởng rất lớn đến chất lượng cuộc sống của trẻ. Một hàm răng chắc khỏe là điều cần thiết để trẻ khỏe mạnh cả về thể chất và tâm lý. Trẻ em không phải là người lớn thu nhỏ, trẻ có cấu trúc cơ thể và nhu cầu điều trị khác với người lớn. Răng sữa và răng vĩnh viễn của trẻ em cũng vậy, có nhiều khác biệt trong xử trí và điều trị so với răng vĩnh viễn của người lớn. Tại Nha khoa Như Ngọc, chúng tôi đem đến một kế hoạch điều trị và chăm sóc răng miệng toàn diện cho trẻ từ giai đoạn chu sinh cho đến khi trẻ trưởng thành với đội ngũ bác sĩ trẻ em có trình độ, tận tâm, tay nghề cao, với các phương pháp điều trị hiện đại và không ngừng cập nhất các công nghệ mới, trong không gian môi trường thân thiện, vui tươi và thoải mái.
Điều trị – chăm sóc răng miệng toàn diện
Không chỉ là những chiếc răng mọc lẫy, hay những chiếc răng sâu – những lý do thường gặp khi trẻ đến phòng khám – là điều duy nhất cần kiểm tra đánh giá. Trẻ cần được đánh giá và thăm khám toàn diện tất cả những vấn đề răng miệng, đánh giá các yếu tố nguy cơ và nguyên nhân dẫn đến tình trạng bệnh lý, phát hiện các bất thường bẩm sinh, phát hiện sớm các thói quen xấu- các thói quen cận chức năng có thể ảnh hưởng đến sự phát triển răng – mặt trong tương lai.
Từ đó, chúng tôi sẽ cung cấp một kế hoạch điều trị – theo dõi – dự phòng toàn diện cho đến khi trẻ trưởng thành, bao gồm các thủ thuật thực hiện tại phòng khám và các biện pháp cải thiện hiệu quả chăm sóc răng miệng tại nhà.
Trải nghiệm toàn diện của trẻ ở phòng khám – Buổi hẹn đầu tiên: Dạo chơi nha khoa
Làm sao để trẻ không sợ hãi, trở nên hợp tác và yêu thích đi khám và điều trị răng? Chú trọng trải nghiệm và áp dụng những phương pháp kiểm soát hành vi phù hợp là chìa khóa cho sự hợp tác của trẻ trong điều trị răng miệng. Môi trường làm việc thân thiện là yếu tố then chốt cho sự tiếp cận thành công với trẻ nhỏ. Một không gian được thiết kế riêng với màu sắc và kiểu dáng phù hợp với trẻ nhỏ, cùng đội ngũ nhân viên được đào tạo chuyên nghiệp – tận tậm và có năng lực làm việc với trẻ em giúp buổi điều trị trở nên dễ dàng hơn. “ Dạo chơi Nha khoa” trong lần hẹn đầu tiên giúp trẻ được từng bước làm quen với quy trình điều trị, giúp bác sỹ đánh giá tổng thể tình trạng răng miệng và tư vấn kế hoạch điều trị toàn diện cho gia đình trẻ.

Chúng tôi khuyên cha mẹ nên chuẩn bị cho con mình lần khám răng đầu tiên vào khoảng 1 năm tuổi. Ngay cả khi con chưa có bất kỳ vấn đề về răng miệng, chuyến đi này cũng giúp con bạn làm quen với môi trường phòng khám nha khoa một cách tích cực để chuẩn bị những lần khám sức khỏe định kỳ hai năm một lần trong tương lai.
Hầu hết các cuộc hẹn khám răng lần đầu thực sự khá dễ chịu, đặc biệt nếu bạn chuẩn bị trước cho bản thân và con bạn đúng cách, mang lại cho con sự tự tin cần thiết để vượt qua. Phần lớn trẻ sợ hãi những điều chưa biết, vì vậy, các bạn có thể giới thiệu về chuyến đi thông qua những bộ phim với trải nghiệm tích cực của những nhân vật hoạt hình khi đến gặp bác sỹ, những bộ phim, truyện đọc hay sách có thể đến từ nhiều nguồn trên internet phù hợp với độ tuổi và sở thích của con bạn. Tuy nhiên, lưu ý hãy luôn lựa chọn các trải nghiệm tốt và tích cực!
Thăm khám và điều trị toàn diện
Các vấn đề răng miệng, các yếu tố nguy cơ và nguyên nhân dẫn đến tình trạng bệnh lý có thể được bác sĩ phát hiện và ghi chú lại, thậm chí, trước khi buổi điều trị đầu tiên được diễn ra. Một cuộc trò chuyện ngắn cùng cha mẹ trước buổi hẹn đầu tiên có thể cung cấp cho bác sỹ răng trẻ em những thông tin hữu ích về đặc điểm tâm lý và hành vi của trẻ, các vấn đề trong chế độ ăn và chế độ chăm sóc răng miệng có thể là nguyên nhân dẫn đễn tính trạng bệnh lý hiện tại. Hiểu rõ về tâm lý trẻ có thể giúp bác sỹ lựa chọn các phương pháp phù hợp để tiếo cận và kiểm soát tốt hành vi của trẻ tại phòng khám. Ngoài ra, bác sỹ cũng có thể đưa ra các lời khuyên để thay đổi chế độ nuôi dưỡng và hướng dẫn cách chăm sóc vệ sinh răng miệng đúng cách tại nhà cho cha mẹ để kiểm soát nguy cơ tái phát, duy trì tình trạng sức khỏe răng miệng ổn định trong tương lai, sau khi đợt điều trị kết thúc.
Tại phòng khám, trẻ cần được đánh giá và thăm khám toàn diện tất cả những vấn đề răng miệng, phát hiện các bất thường bẩm sinh, phát hiện sớm các thói quen xấu- các thói quen cận chức năng có thể ảnh hưởng đến sự phát triển răng – mặt trong tương lai.
Các tình trạng phổ biến thường gặp ở trẻ em
- Sâu răng: các loại vi khuẩn gây sâu răng có mặt trong môi trường miệng – phân hủy carbonhydrat trong mảng bám và tạo ra acid, gây hủy khoáng men và ngà răng hình thành lỗ sâu. Đặc biệt là sâu răng sớm ở trẻ dưới 3 tuổi, tình trạng sâu răng nghiêm trọng, tổn thương nhiều răng, nếu không điều trị kịp thời sẽ dẫn đến tình trạng sưng đau và mất sớm răng sữa.
- Vấn đề mọc răng: Quá trình mọc răng vĩnh viễn có vẻ hỗn loạn nhưng nó diễn ra theo một trật tự tự nhiên. Các vấn đề về mọc răng bao gồm chậm/không mọc răng vĩnh viễn, răng vĩnh viễn mọc lệch lạc, sưng đau lợi trùm,….
- Lệch lạc khớp cắn: Những thói quen xấu, chẳng hạn như mút ngón tay cái, đẩy lưỡi, sử dụng núm vú giả, thở miệng, mút môi,….. có thể ảnh hưởng đến sự phát triển và gây ra tình trạng lệch lạc khớp cắn. Những thói quen này này cần được điều chỉnh càng sớm càng tốt và thực tế là vào thời điểm chúng được 6 tuổi (thời điểm bắt đầu giai đoạn chuyển tiếp của răng). Ngoài ra, hình dạng của hàm hoặc dị tật bẩm sinh (sứt môi và vòm miệng) cũng có thể là nguyên nhân dẫn đến sai khớp cắn.
- Vấn đề kiểm soát khoảng: là tình trạng mất khoảng do các răng sữa bị mất sớm trước thời điểm răng vĩnh viễn mọc, hoặc thiếu khoảng do xương hàm kém phát triển do các thói quen xấu về răng miệng,…
- Các bất thường trong quá trình phát triển răng: các bất thường về số lượng (thừa/thiếu răng), bất thường về hình dạng, bất thường về tính chất men răng sữa và răng vĩnh viễn cũng cần được phát hiện và có kế hoạch theo dõi và điều trị trong tương lai.
• Chấn thương răng sữa hoặc răng vĩnh viễn chưa trưởng thành: xử trí có nhiều khác biệt so với răng vĩnh viễn đã trưởng thành ở người lớn.


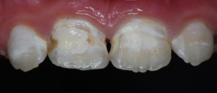
Điều trị khuyết khuyểt kém khoáng hóa men răng (MIH) và sâu răng sớm bằng kỹ thuật xâm lấn tối thiêu : thẩm thấu bằng ICON DMG kết hợp phục hồi composite.
Các thủ thuật điều trị thường gặp ở trẻ em
- Trám răng sâu: với những lỗ sâu nhỏ và chưa ảnh hưởng đến tủy răng, răng được phục hồi với xi măng thủy tinh (Glass ionomer :GIC) hoặc composite.
- Các liệu pháp điều trị tủy: với những lỗ sâu lớn và răng có bệnh lý tủy, răng được điều trị với các liệu pháp điều tri tủy và thân răng được phục hồi với các loại chụp tiền chế
- Lắp các chụp tiền chế: với những răng sữa có tổn thương lớn hoặc đã điều trị tủy, cần phục hồi thân răng kín khít với các loại chụp tiền chế (có sẵn) dành riêng cho trẻ em. Tại Nha khoa Như Ngọc, chúng tôi cung cấp các loại chụp răng đa dạng về vật liệu ( thép, vàng, Bioflx, sứ ) để phục hồi chứng năng ăn nhai và thẩm mỹ cho trẻ.
- Nhổ răng : Có 3 lý do phổ biến khiến trẻ phải nhổ răng sữa. Thông thường, răng sữa được nhổ khi lung lay đến tuổi thay hoặc cản trở răng vĩnh viễn mọc trong trường hợp răng vĩnh viễn mọc lẫy. Các răng sữa có tổn thương nghiêm trọng cũng cần phải nhổ khi răng bị hỏng nặng và không có khả năng điều trị bảo tồn, sau đó cần làm các khí cụ kiểm soát khoảng với những răng sữa mất sớm. Cuối cùng, răng sữa có thể cần chỉ định nhổ có hướng dẫn để kiểm soát tình trạng thiếu khoảng, gây chen chúc răng vĩnh viễn ở giai đoạn hàm răng chuyển tiếp
• Chỉnh nha sớm: Việc sử dụng các khí cụ để thay đổi thói quen xấu để ngăn chặn hoặc can thiệp sớm tùy theo tình trạng và nguyên nhân lệch lạc khớp cắn. Điều trị chỉnh nha là giải pháp làm thẳng các răng khấp khểnh, chen chúc, nhô ra, thu hẹp khoảng cách giữa các răng thưa, điều chỉnh khớp cắn và duy trì hàm phát triển khỏe mạnh. Lựa chọn thời điểm can thiệp chỉnh nha sớm và phù hợp giúp loại bỏ thói quen xấu, tăng hiệu quả điều trị, giảm nguy cơ chen chúc khấp khểnh, giảm nguy cơ sang chấn cho các răng lệch lạc và tạo khoảng thuận lợi cho chỉnh nha cố định sau này.

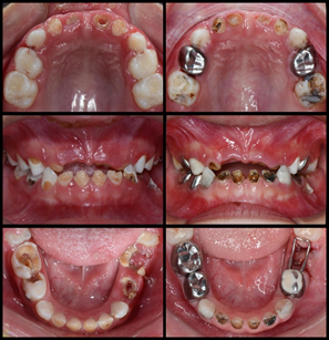
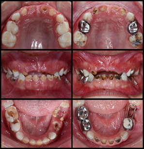
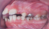
Các bệnh nhân trẻ em được điều trị và kiểm soát sâu răng và phục hồi các tổn thương sâu răng bằng chụp tiền chế, nhổ răng sữa hỏng và làm các khí cụ giữ khoảng.


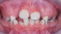
BN 8 tuổi có thói quen thở miệng được điều trị với khí cụ tiền chỉnh sau 15 tháng
Chiến lược điều trị dự phòng và giáo dục nha khoa toàn diện
Bên cạnh việc điều trị các vấn đề bệnh lý, việc dự phòng tái phát các bệnh lý trong tương lại cũng là một mục tiêu cần đạt được của các bác sỹ răng trẻ em. Làm sao để hạn chế các nguy cơ, đảm bảo tình trạng răng miệng ổn định cho trẻ trong tương lai.
Một kế hoạch dự phòng được đặt ra phù hợp với từng tình trạng của trẻ. Trẻ nên thăm khám ít nhất 6 tháng/lần và sử dụng các biện pháp tái khoáng hóa men răng định kỳ, ngoài ra, trẻ có thể sử dụng các sản phẩm hỗ trợ chăm sóc răng miệng tại nhà thông thường. Việc chải răng của trẻ có thể được hướng dẫn với sự tham gia của kem đánh răng phát hiện mảng bám, cho phép cha mẹ và trẻ nhìn thấy các mảng bám chưa làm sạch, giúp trẻ rèn luyện kỹ năng chải răng hàng ngày tại nhà.
Với những trẻ có nguy cơ sâu răng cao: trẻ kém hợp tác hoặc không có khả năng hợp tác vệ sinh răng miệng, trẻ có bất thường khiếm khuyết men răng, trẻ có bệnh lý toàn thân ,… cần được điều trị dự phòng tại phòng khám bằng các thuốc bôi tại chỗ định kỳ tại phòng khám và các sản phẩm tái khoáng tại nhà, tăng tần suất thăm khám và hướng dẫn cha mẹ theo dõi và cập nhật tình hình của trẻ với bác sỹ răng trẻ em để phát hiện và điều trị kịp thời các tổn thương nếu có.
Giáo dục nha khoa cũng là một phần không thể thiếu trong chiến lược chăm sóc răng miệng. Việc hình thành nhận thức của trẻ, thúc đẩy các thói quen tốt tạo ra những trải nghiệm tích cực của trẻ tại phòng khám giúp phát triển lối sống lành mạnh cho trẻ lâu dài. Với cha mẹ, chúng tôi cũng cung cấp những kiến thức hướng dẫn về chế độ ăn uống hợp lý, thói quen vệ sinh răng miệng đúng và những kiến thức về sự phát triển của trẻ trong tương lại để cha mẹ cùng đồng hành trong quá trình phát triển của con, đảm bảo trẻ được theo dõi và chăm sóc răng miệng đúng cách tại nhà.
Nha khoa Như Ngọc luôn sẵn sàng trao đổi với bạn và giải quyết mọi thắc mắc mà bạn có thể có về chuyến thăm khám của con bạn. Xin vui lòng liên hệ với chúng tôi theo số 0968926868 Chúng tôi sẽ rất vui lòng được giúp đỡ bạn!





