I. NGHIẾN RĂNG LÀ GÌ?
Nghiến răng là tình trạng siết chặt răng hai hàm khi người bệnh không thực hiện hoạt động chức năng là nhai hoặc nuốt. Nó là thói quen cận chức năng phổ biến nhất và là mối quan tâm lớn của các nha sĩ vì nó dẫn đến mòn răng, phá hủy răng, gãy các phục hồi, đau đầu, đau mặt và các rối loạn khớp thái dương hàm khác. Tỷ lệ nghiến răng trong dân số nói chung là 8-31% và 14-20% ở trẻ em. Do đó, việc chẩn đoán và quản lý tình trạng nghiến răng đúng cách là mối quan tâm lớn để ngăn ngừa các biến chứng.
II. CÁC LOẠI NGHIẾN RĂNG.
Nghiến răng có thể xảy ra vào ban ngày được gọi là nghiến răng ban ngày hoặc nghiến răng lúc thức. Nghiến răng khi thức có liên quan đến sự căng thẳng do áp lực công việc, lo lắng, tức giận hoặc thất vọng… Nghiến răng khi thức thường gặp ở nữ nhiều hơn nam. Tỷ lệ nghiến răng khi thức là 20%. Trong khi đó, nghiến răng khi ngủ được coi là một chứng rối loạn vận động hàm dưới liên quan đến giấc ngủ. Những người nghiến răng khi ngủ có nhiều khả năng mắc các chứng rối loạn giấc ngủ khác như ngáy hoặc ngừng thở (ngưng thở khi ngủ). Chứng nghiến răng khi ngủ xảy ra không có sự khác biệt về giới tính. Nghiến răng khi ngủ hay gặp ở nhóm dân số trẻ, ở trẻ em với tỷ lệ mắc bệnh là 14-20%.
III. NGUYÊN NHÂN DẪN ĐẾN NGHIẾN RĂNG.
Nghiến răng được cho là có nhiều nguyên nhân. Chúng bao gồm các yếu tố trung tâm, các yếu tố tâm lý xã hội và các yếu tố ngoại vi.
1. Yếu tố trung tâm
Nghiên cứu của Macaluso và cộng sự cho thấy 86% các đợt nghiến răng có liên quan đến phản ứng kích thích cùng với các cử động chân không tự chủ. Phản ứng kích thích là sự thay đổi đột ngột về độ sâu của giấc ngủ, trong đó cá nhân chuyển sang giai đoạn ngủ nhẹ hơn hoặc thực sự thức dậy. Phản ứng như vậy xảy ra cùng với các chuyển động của cơ thể, nhịp tim tăng, thay đổi hô hấp và tăng hoạt động cơ bắp. Người ta đưa ra giả thuyết rằng các con đường trực tiếp và gián tiếp của hạch nền, một nhóm gồm năm nhân dưới vỏ não có liên quan đến sự phối hợp các cử động bị xáo trộn ở bệnh nhân nghiến răng [7]. Sự mất cân bằng giữa cả hai con đường dẫn đến rối loạn vận động như bệnh Parkinson và sự mất cân bằng này xảy ra cùng với sự rối loạn trong việc truyền điện thế hoạt động qua trung gian dopamine. Trong trường hợp nghiến răng, có thể có sự mất cân bằng ở cả hai con đường. Việc sử dụng cấp tính các tiền chất dopamine như L-dopa sẽ ức chế hoạt động nghiến răng và việc sử dụng L-dopa lâu dài trong thời gian dài sẽ làm tăng hoạt động nghiến răng [9].
2. Yếu tố tâm lý xã hội
Căng thẳng là yếu tố nguy cơ dáng kể của chứng nghiến răng. Không có khả năng thể hiện những cảm xúc như lo lắng, giận dữ, căm ghét, hung hăng, v.v. cũng có thể là nguyên nhân gây ra chứng nghiến răng.
3. Yếu tố ngoại vi
Nghiến răng thường được coi là có liên quan đến sai lệch trong khớp cắn và khớp thái dương hàm. Giffin trong bài báo của mình đã đề cập rằng để kiểm soát tình trạng nghiến răng một cách hiệu quả, cần phải thiết lập sự hài hòa giữa khớp cắn lồng múi tối đa và tương quan tâm.
IV. YẾU TỐ NGUY CƠ
1. Tuổi tác: Bệnh nghiến răng phổ biến hơn ở trẻ nhỏ và giảm dần khi trưởng thành.
2. Căng thẳng: Căng thẳng và lo lắng gia tăng có thể gây ra chứng nghiến răng.
3. Tính cách: Kiểu hành vi, tính cách hung hăng, cạnh tranh và hiếu động có thể làm tăng nguy cơ nghiến răng.
4. Tiền sử gia đình: Chứng nghiến răng khi ngủ có xu hướng có tiền sử gia đình, các thành viên khác cũng có thể bị nghiến răng hoặc có tiền sử bệnh này.
5. Thuốc và thói quen: Một số thuốc chống trầm cảm có thể dẫn đến chứng nghiến răng như một tác dụng phụ hiếm gặp. Những thói quen như hút thuốc, nhai thuốc lá, uống đồ uống có chứa caffein có thể làm tăng nguy cơ mắc chứng nghiến răng.
6. Các yếu tố khác
Tật nghiến răng có thể liên quan đến các vấn đề y tế khác như động kinh, rối loạn liên quan đến giấc ngủ, mất trí nhớ, bệnh Parkinson và rối loạn trào ngược dạ dày thực quản.
V. CÁCH ĐÁNH GIÁ BỆNH NGHIẾN RĂNG.
Các biện pháp quản lý và xác định sớm đóng một vai trò quan trọng ở bệnh nhân nghiến răng. Hoạt động nghiến răng nếu không được chăm sóc có thể gây tổn hại đến chất lượng cuộc sống do dẫn đến tổn thương răng, mất hài hòa khớp cắn và rối loạn khớp thái dương hàm. Vì vậy, khi bệnh nhân đến gặp nha sĩ, cần tuân thủ một số phương pháp đánh giá để giải thích và điều trị chính xác. Đó là các bảng câu hỏi, đánh giá lâm sàng, dụng cụ trong miệng và ghi điện cơ.
1. Bảng câu hỏi
Bảng câu hỏi là phương pháp đánh giá đơn giản và dễ dàng nhất. Nhược điểm chính của phương pháp đánh giá này là nó mang tính chủ quan. Nghiến răng có thể kèm theo hoặc không kèm theo tiếng kêu; do đó hầu hết trẻ em và người lớn có thể không nhận thức được hoạt động nghiến răng của mình. Các câu hỏi được đặt ra bao gồm:
– Có ai nghe thấy bạn nghiến răng vào buổi tối không?
– Bạn đã bao giờ bị đau răng hoặc lợi khi thức dậy vào buổi sáng không?
– Hàm của bạn đã bao giờ bị đau hay bị mỏi khi thức dậy vào buổi sáng không?
– Bạn đã từng nhận thức được mình nghiến răng hoặc siết chặt răng hàm hàm trong suốt cả ngày bao giờ chưa?
– Bạn đã từng bị đau đầu khi thức dậy vào buổi sáng không?
2. Đánh giá lâm sàng
Việc chẩn đoán nghiến răng có thể được xác định bằng cách hỏi bệnh sử, đánh giá khả năng di chuyển của răng, độ mòn răng và các phát hiện lâm sàng khác của khớp thái dương hàm.
3. Dụng cụ trong miệng
Hoạt động nghiến răng có thể được đánh giá bằng cách sử dụng dụng cụ trong miệng thông qua đánh giá các mặt mài mòn trên đó hoặc đánh giá lực cắn lên dụng cụ trong miệng.

4. Ghi điện cơ cơ nhai
Ghi điện cơ cơ nhai đánh giá tình trạng nghiến răng bằng cách đo trực tiếp hoạt động nghiến răng thực tế khi ngủ. Ưu điểm chính của việc ghi điện cơ là có thể đánh giá sự xuất hiện của chứng nghiến răng mà không cần sử dụng các khí cụ trong miệng, điều này có thể làm thay đổi hoạt động nghiến răng tự nhiên.
Các bản ghi đa ký giấc ngủ (phòng thí nghiệm giấc ngủ) về chứng nghiến răng về đêm thường bao gồm điện não đồ, EMG, điện tâm đồ và tín hiệu điện trở nhạy nhiệt (theo dõi luồng không khí) cùng với các bản ghi âm thanh-video đồng thời. Trong trường hợp này, phòng thí nghiệm về giấc ngủ cung cấp một môi trường ghi lại được kiểm soát chặt chẽ, do đó, các rối loạn giấc ngủ khác như ngưng thở khi ngủ và mất ngủ có thể được loại trừ và chứng nghiến răng khi ngủ có thể được phân biệt với các hoạt động khác như nuốt và ho xảy ra trong khi ngủ.
VI. DẤU HIỆU VÀ TRIỆU CHỨNG

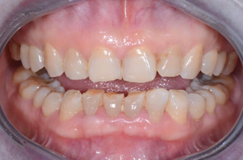
– Đau răng, nhạy cảm với nóng và lạnh.
– Đau cơ mặt mạn tính kèm theo đau đầu do căng thẳng, do co cơ dữ dội.
– Tiếng ken két được cha mẹ, bạn bè hoặc người thân chú ý xảy ra khi hai hàm răng được mài vào nhau.
– Răng mọc lệch lạc do răng mòn không đều
– Bề mặt răng bị dẹt và mòn, có thể để lộ lớp ngà răng màu vàng bên dưới.
– Các vết nứt vi mô của men răng.
– Răng bị gãy, sứt mẻ
– Răng lung lay có thể gây tổn thương đến ổ răng
– Cứng và đau ở khớp thái dương hàm khiến việc mở miệng bị hạn chế và khó nhai; đôi khi khớp hàm có thể bị tổn thương và chậm lành.
– Đau tai
VII. ẢNH HƯỞNG CỦA NGHIẾN RĂNG ĐẾN PHỤC HỒI
1. Ảnh hưởng của nghiến răng đến phục hình răng giả
Những hư hỏng cơ học phổ biến nhất được báo cáo trong trường hợp phục hình răng giả trên răng tự nhiên bao gồm mất khả năng lưu giữ và gãy vật liệu và sự xuất hiện của những hư hỏng như vậy là lớn nhất ở những bệnh nhân có thói quen nghiến răng. Phục hình bằng kim loại hoặc sứ kim loại dường như là sự lựa chọn an toàn nhất trong trường hợp chịu tải cao, mặc dù trong điều kiện khắc nghiệt, không có vật liệu nào có thể tồn tại quá lâu.
2. Ảnh hưởng của nghiến răng đến phục hình implant
Nghiến răng được coi là một trong những yếu tố nguy cơ và có liên quan đến việc gia tăng các biến chứng cơ học và/hoặc kỹ thuật, nhưng nó không ảnh hưởng đến khả năng sống sót của Implant.
Nghiến răng là nguyên nhân thường xuyên gây ra tình trạng đau nhức ở niêm mạc mang răng giả. Nghiến răng nặng có thể có tác động xấu đến răng còn lại và các mô mang răng giả.
VIII. CÁC PHƯƠNG PHÁP ĐIỀU TRỊ NGHIẾN RĂNG HIỆN NAY
Việc điều trị nhằm mục đích tìm ra và loại bỏ các nguyên nhân gây ra chứng nghiến răng, thay đổi hành vi gây ra chứng nghiến răng và sửa chữa những tổn thương mà chứng nghiến răng gây ra.
1. Liệu pháp khớp cắn
Máng nhai được coi là giải pháp đầu tiên trong việc ngăn ngừa tiếng ken két do nghiến răng và mòn răng trong trường hợp nghiến răng khi ngủ. Các loại máng này có nhiều tên gọi khác nhau như dụng cụ bảo vệ khớp cắn, dụng cụ chống nghiến răng, tấm bảo vệ khớp cắn, dụng cụ bảo vệ ban đêm, dụng cụ nhai. Chúng được phân loại thành máng cứng và máng mềm. Máng cứng được ưa chuộng hơn máng mềm vì máng mềm khó điều chỉnh hơn máng cứng và máng cứng có tác dụng làm giảm hoạt động nghiến răng. Một nghiên cứu đã so sánh máng nhai với liều thuốc gabapentin và phát hiện ra rằng cả hai phương pháp điều trị đều làm giảm hoạt động cơ tương tự nhau liên quan đến chứng nghiến răng khi ngủ sau 2 tháng điều trị.
2. Sửa đổi hành vi
Phân tâm học, thôi miên, thiền, ngủ, các biện pháp vệ sinh bằng kỹ thuật thư giãn và tự theo dõi đã được xem xét để điều trị chứng nghiến răng. Việc điều trị chứng nghiến răng khi ngủ thường bắt đầu bằng việc tư vấn cho bệnh nhân về việc vệ sinh giấc ngủ. Nó bao gồm việc hướng dẫn người bệnh ngừng hút thuốc và uống cà phê hoặc rượu vào ban đêm, hạn chế hoạt động thể chất hoặc tinh thần trước khi đi ngủ và đảm bảo điều kiện phòng ngủ tốt như yên tĩnh, tối.
3. Phản hồi sinh học
Phản hồi sinh học hoạt động dựa trên nguyên tắc “những kẻ tàn bạo có thể học được hành vi của mình khi một kích thích khiến họ nhận thức được các hoạt động bất lợi của cơ hàm”.
Trong những năm gần đây, kích thích điện ngẫu nhiên (CES) đã xuất hiện trong nỗ lực làm giảm hoạt động của cơ nhai liên quan đến chứng nghiến răng khi ngủ. Cơ sở lý luận của CES bao gồm việc ức chế các cơ nhai gây ra chứng nghiến răng bằng cách áp dụng một kích thích điện ở mức độ thấp lên các cơ khi chúng hoạt động, tức là trong giai đoạn nghiến răng.
4. Điều trị bằng thuốc
Một số loại thuốc có tác dụng làm tê liệt cơ bằng cách ức chế giải phóng acetylcholine ở điểm nối thần kinh cơ (NMJ) bằng cách làm giảm hoạt động nghiến răng trong những trường hợp nghiêm trọng như hôn mê, chấn thương não, v.v. Trong một nghiên cứu, tiêm botox trong khoảng thời gian 20 tuần cho thấy tình trạng nghiến răng giảm đi hoạt động ở 18 môn học. Nghiên cứu này cho thấy độc tố botulinum đã ức chế sự giải phóng acetylcholine tại NMJ. Shim và cộng sự. phát hiện ra rằng biên độ co cơ trong các trường hợp nghiến răng đã giảm sau 4 tuần tiêm, nhưng không có thay đổi về nhịp điệu hoặc số lần nghiến răng mỗi giờ ngủ.
IX. KẾT LUẬN
Nghiến răng là một thói quen cận chức năng phổ biến, xảy ra cả khi ngủ và lúc thức. Vì nguyên nhân là đa yếu tố nên không có phương pháp điều trị nào được biết đến để ngăn chặn triệt để chứng nghiến răng. Các chiến lược tư vấn và hành vi, dùng máng, dùng thuốc và kích thích điện ngẫu nhiên có thể được sử dụng như những cách khác nhau để giảm tác động của nghiến răng. Việc kiểm soát chứng nghiến răng nên tập trung vào việc ngăn ngừa sự tiến triển của tình trạng mòn răng, giảm âm thanh nghiến răng, cải thiện sự khó chịu ở cơ và rối loạn chức năng xương hàm trong những trường hợp nghiêm trọng nhất.
Bs Lê Thị Hương


