Hậu quả do thói quen cắn môi và cách khắc phục Làm thế nào khi mắc thói quen cắn môi? Một số người có thể tự ngừng thói quen này khi họ nhận thức được nó và không cần điều trị gì, môi sẽ tự hồi phục khi thói quen chấm dứt. Với những người …
Răng trẻ em và nha khoa dự phòng
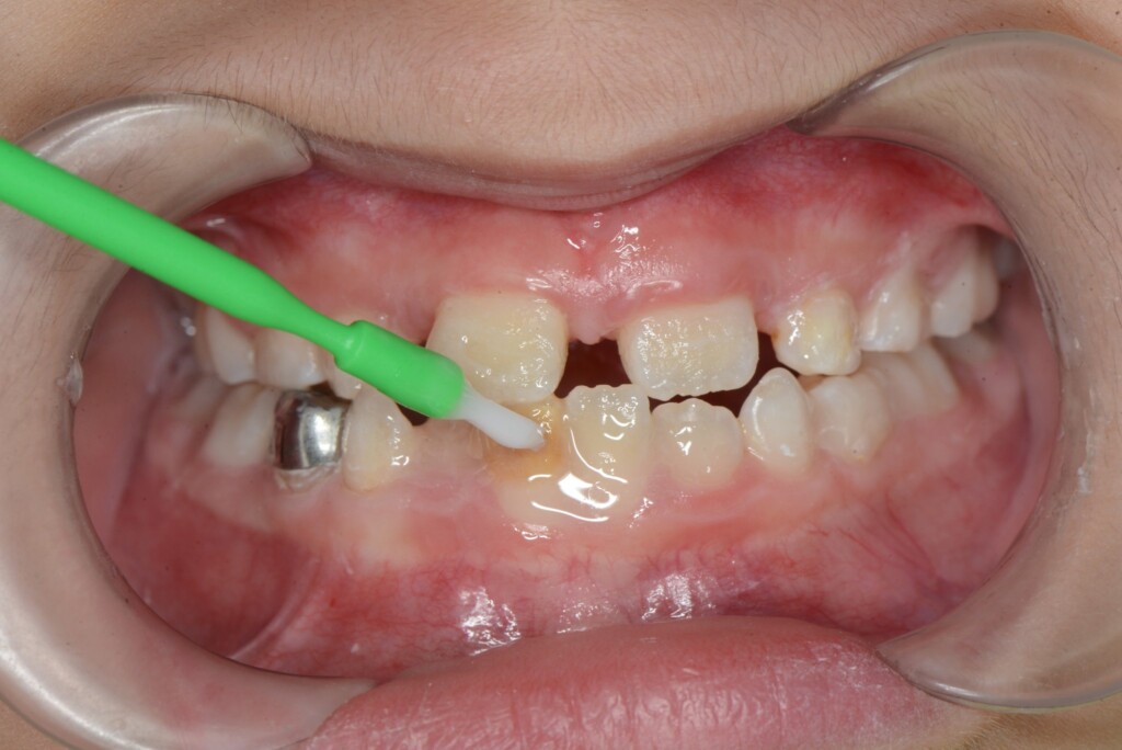
Bệnh viêm lợi ở trẻ em Tiến sĩ, Bác sĩ Võ Trương Như Ngọc Viện Đào Tạo Răng Hàm Mặt- Trường Đại Học Y Hà Nội Tóm tắt Bệnh nha chu bao gồm một nhóm các bệnh nhiễm khuẩn ảnh hưởng đến tổ chức nâng đỡ của răng: lợi tự do và lợi dính, dây …
Viêm quanh răng ở trẻ em: những quan niệm hiện đại Tiến sĩ, Bác sĩ Võ Trương Như Ngọc Viện Đào Tạo Răng Hàm Mặt- Trường Đại Học Y Hà Nội Tóm tắt Viêm quanh răng (viêm nha chu) không phải là một bệnh thường gặp ở trẻ em trong số các bệnh răng miệng …
Mút ngón tay và những lệch lạc răng hàm Trẻ em có rất nhiều thói quen xấu ảnh hưởng đến sự phát triển hệ thống răng-hàm. Trong các thói quen này, thói quen mút ngón tay là thói quen hay gặp nhất ở trẻ, trẻ đưa ngón tay vào miệng, mút nhịp nhàng, lặp đi …
Bệnh chân tay miệng Bệnh tay chân miệng là gì? Bệnh tay chân miệng (hand, foot and mouth disease) là bệnh do virus thường gặp ở trẻ sơ sinh và trẻ nhỏ. Bệnh gây sốt và tổn thương da niêm mạc dạng bọng nước ở niêm mạc miệng, lòng bàn tay, lòng bàn chân, đầu …
VAI TRÒ CỦA VIỆC PHÁT HIỆN SÂU RĂNG GIAI ĐOẠN SỚM VÀ ĐIỀU TRỊ BẰNG VERNI FLUOR …
KHUYẾN CÁO CHĂM SÓC RĂNG MIỆNG CHO BÀ MẸ THỜI KỲ CHU SINH Giáo dục sức khoẻ răng miệng: giai đoạn chu sinh là thời điểm thuận lợi để giáo dục chăm sóc sức khoẻ răng miệng và thực hiện các điều trị cần thiết cho những bà mẹ mang thai. Đây là thời điểm …
KHUYẾN CÁO CHĂM SÓC SỨC KHOẺ RĂNG MIỆNG CHO BÀ MẸ MANG THAI Phụ nữ đang mang thai có nên đi khám răng miệng định kỳ Tất cả các bà mẹ mang thai cần được thăm khám vàchăm sóc sức khỏe răng miệng một cách chuyên nghiệp trong 3 thángthời kỳ đầu của thai kỳ. …
KHUYẾN CÁO CHĂM SÓC RĂNG MIỆNG CHO TRẺ EM Chăm sóc sức khoẻ răng miệng cho trẻ em nhỏ là một trong những nền tảngcần được xây dựng dựa trên nha khoa dự phòng và chăm sóc răng miễn để trẻ có cơ hội có hàm răng khoẻ mạnh suốt đời. Do vậy cần phải …
Có nên nhể răng sữa ở trẻ sơ sinh Nanh sữa là một tổn thương lành tính, ít gây biến chứng và phần lớn tự tiêu biến sau khoảng từ 2 tuần đến 5 tháng. (SKDS) – Nanh sữa là một tổn thương lành tính, ít gây biến chứng và phần lớn tự tiêu biến …











