Trám răng mặt bên bằng kỹ thuật đường hầm là gì?

Với những tiến bộ trong công nghệ, ngày nay các nha sĩ kiểm soát sâu răng bằng triết lý nha khoa xâm lấn tối thiểu. Phục hồi răng hiện được thực hiện theo phương pháp bảo tồn nhất với sự phá hủy tối thiểu cấu trúc răng. Một số nha sĩ đề xuất sử dụng kỹ thuật phục hồi đường hầm để điều trị những tổn thương sâu mặt bên như một phương pháp thay thế cho việc sửa soạn xoang loại II thông thường.
Ưu điểm của phương pháp này là gì?
Ưu điểm chính của phục hồi đường hầm so với xoang loại II thông thường là bảo tồn mô răng hơn, tăng tính toàn vẹn và sức mạnh của răng bằng cách bảo tồn gờ bên.
Tuy nhiên, phục hồi đường hầm là một kỹ thuật khó, đòi hỏi bác sỹ phải có kỹ năng cao. Phục hồi đường hầm có thể là một lựa chọn để phục hồi sâu răng mặt bên nếu nha sĩ chọn đúng trường hợp và chú ý đến các chi tiết của quy trình phục hồi.
Với sự đào tạo nâng cao của nha sĩ, tay cầm diode phát sáng tiên tiến, kính lúp phóng đại, hình ảnh kỹ thuật số chính xác và vật liệu phục hồi thế hệ mới, có thể đạt được kết quả tốt trong các trường hợp được chọn. Nghiên cứu này xem xét các tài liệu về phục hồi đường hầm và cung cấp các kỹ thuật và dữ liệu lâm sàng cập nhật có thể được sử dụng trong phục hồi đường hầm để giám sát các hạn chế của nó và quan điểm về điều trị phục hồi.
Thiết kế xoang thông thường rất rộng đối với phục hình bằng amalgam bạc để phục hồi tổn thương sâu răng mặt bên. Xoang mặt nhai phải sâu ít nhất từ 1,5 đến 2,0 mm để ngăn ngừa gãy vật liệu phục hồi trong quá trình thực hiện chức năng ăn nhai. Các rãnh ở mặt nhai phải được loại bỏ để phòng ngừa sâu răng. Rìa của răng bị sâu và vùng tiếp xúc cũng cần được loại bỏ để tiếp cận tổn thương sâu răng. Tuy nhiên, thiết kế xoang rộng có những hậu quả. Một nghiên cứu cho thấy rằng phục hình răng thông thường cần được thay thế trong vòng 3 đến 10 năm. Quy trình thay thế phục hình làm cho xoang sâu mở rộng hơn nữa và làm hỏng cấu trúc cũng như sức sống của răng. Ngoài ra, việc tái tạo vùng tiếp xúc bên đã loại bỏ rất khó. Việc tạo vùng tiếp xúc bên không tốt thường gây ra tình trạng dắt thức ăn. Do đó, nên khuyến khích thiết kế xoang bảo tồn.
Phục hồi đường hầm là một kỹ thuật xâm lấn tối thiểu để phục hồi sâu răng mặt bên. Phục hồi đường hầm được đề xuất cho các tổn thương sâu răng mặt bên ở răng hàm sữa thứ hai vào những năm 1960. Tuy nhiên, tỷ lệ phục hồi thất bại cao. Với sự cải tiến về chất dán dính và vật liệu phục hồi, thế hệ tay khoan nha khoa kích thước nhỏ có đèn và việc sử dụng kính lúp phóng đại giúp tăng khả năng tiếp cận, phương pháp này đã được giới thiệu lại như một phương pháp thay thế bảo tồn cho thiết kế xoang thông thường đối với lỗ sâu mặt bên ở răng hàm sữa. Phục hồi đường hầm bảo tồn gờ bên bằng cách chuẩn bị một đường hầm từ mặt nhai đến mặt bên.
Quy trình trám răng mặt bên bằng kỹ thuật đường hầm
Chuẩn bị xoang để phục hồi đường hầm
Việc chuẩn bị xoang phục hồi đường hầm loại bỏ ít mô răng hơn so với việc chuẩn bị xoang loại II thông thường. Men răng mất khoáng ở mặt bên có thể được bảo tồn trong quá trình chuẩn bị đường hầm nếu nó không bị rỗng. Với việc bảo tồn lượng men răng khác nhau ở mặt bên, quá trình chuẩn bị đường hầm có thể được phân loại thành đường hầm toàn phần (loại bỏ hoàn toàn men răng mất khoáng ở mặt bên), đường hầm một phần (loại bỏ một phần mặt bên với việc bảo tồn một phần men răng mất khoáng ở mặt bên) và đường hầm bên trong (bảo tồn men răng ở mặt bên).

Vật liệu phục hồi cho phục hồi đường hầm
Sau khi chuẩn bị đường hầm, vật liệu phục hồi được đưa vào để phục hồi xoang. Các vật liệu nha khoa như amalgam bạc, nhựa composite, thủy tinh ionomer hoặc sự kết hợp giữa thủy tinh ionomer và nhựa composite đã được sử dụng để phục hồi đường hầm. Việc lựa chọn vật liệu phục hồi ảnh hưởng đến kết quả lâm sàng của việc phục hồi đường hầm.
Amalgam bạc thích hợp để phục hồi đường hầm ở những bệnh nhân có nhu cầu thẩm mỹ thấp. Nó có cường độ nén tốt và dễ xử lý. Một nghiên cứu báo cáo rằng ít hơn 10% phục hồi đường hầm cần được thay thế sau 10 năm. Khả năng đóng gói của amalgam bạc cho phép các bác sĩ lâm sàng tạo ra một vùng tiếp xúc giữa các răng khít. Điều này khó đạt được với glass ionomer hoặc nhựa composite vì bản chất của vật liệu.
Nhựa composite được sử dụng để lấp đầy toàn bộ phần chuẩn bị đường hầm hoặc phủ bề mặt nhai của phần chuẩn bị đường hầm bằng thủy tinh ionomer bên dưới để tăng khả năng chống gãy của răng được phục hồi trong đường hầm. Xử lý nhựa composite có các tính chất cơ học tiên tiến so với thủy tinh ionomer để phục hồi đường hầm. Một nghiên cứu cho thấy phục hồi nhựa composite với phần chuẩn bị đường hầm thích hợp cho thấy độ bền cơ học tương tự như cấu trúc lành mạnh của răng. Nhựa composite có thể liên kết với men răng và ngà răng bằng chất kết dính. Nó cho thấy khả năng thích ứng biên tiên tiến so với thủy tinh ionomer, xi măng thủy tinh ionomer gia cường kim loại hoặc amalgam bạc khi được sử dụng để phục hồi đường hầm. Việc sử dụng nhựa composite chảy có thể cải thiện thêm khả năng tiếp xúc bên và bịt kín trong phục hồi đường hầm.
Thủy tinh ionomer được sử dụng để phục hồi đường hầm mà không cần chịu lực nhai lớn. Thủy tinh ionomer sở hữu một số đặc tính mong muốn để làm vật liệu phục hồi cho phục hồi đường hầm, bao gồm độ cản quang, liên kết hóa học với men răng và ngà răng, và giải phóng florua. Tuy nhiên, thủy tinh ionomer thể hiện các đặc tính cơ học và kết dính không đủ. Nó có thể không đủ mạnh để chịu được lực nhai. Hơn nữa, thủy tinh ionomer hoặc thủy tinh ionomer gia cố kim loại thể hiện các mức độ rò rỉ vi mô khác nhau. Các nghiên cứu đã chứng minh độ xốp bên trong phục hồi và ở giao diện giữa phục hồi và thành xoang là 32%. Do đó, thủy tinh ionomer không được khuyến cáo là phục hồi vĩnh viễn trong răng vĩnh viễn.
Quy trình lâm sàng phục hồi đường hầm
Bước 1: Đặt chun tách khe

Bước 2: Tháo chun, làm sạch và tạo xoang trám bằng kỹ thuật đường hầm

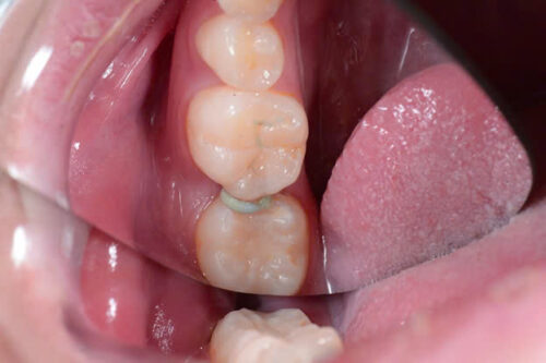
Bước 3: Trám phục hồi



XQuang trước – sau điều trị
Các vấn đề tiềm ẩn và giải pháp trong việc khôi phục đường hầm
Phục hồi đường hầm có những điểm mạnh và thách thức. Nó có thể bảo tồn gờ bên, góp phần duy trì tính toàn vẹn và độ bền của răng; bảo tồn đường viền phía bên bao gồm tiếp xúc bên; giảm nguy cơ tổn thương do bác sỹ gây ra cho răng bên cạnh; giảm nguy cơ phục hồi có phần nhô ra; và bảo tồn nhiều cấu trúc răng hơn so với loại II thông thường. Tuy nhiên, những ưu điểm này cần được cân bằng với các vấn đề tiềm ẩn bao gồm tăng nguy cơ không làm sạch hoàn toàn lỗ sâu do tiếp cận bằng mắt và dụng cụ bị hạn chế hơn, vô tình hoặc cố ý loại bỏ gờ bên và tăng nguy cơ lộ tủy.
Không làm sạch hoàn toàn lỗ sâu
Loại bỏ sâu răng không đầy đủ bao gồm việc chuẩn bị đường hầm không đủ hoặc quá mức. Việc chuẩn bị đường hầm không đủ sẽ để lại sâu răng còn sót lại tại chỗ, điều này có thể làm tăng nguy cơ sâu răng thứ phát và rút ngắn tuổi thọ của phục hình đường hầm. Trong số các lần chuẩn bị đường hầm một phần, 22–29% được phát hiện có sâu răng còn sót lại sau khi loại bỏ sâu răng.32,36,37 Chuẩn bị quá mức sẽ làm yếu hoặc làm hỏng cấu trúc răng.
Việc quan sát đúng cách có thể giúp loại bỏ sâu răng đầy đủ. Ba điều kiện thiết yếu cần đạt được trong quá trình phẫu thuật để có thể quan sát đúng cách nhằm ngăn ngừa việc loại bỏ men răng/ngà răng không đủ trong quá trình chuẩn bị khoang: (i) trường phẫu thuật thông thoáng, (ii) kiểm soát độ ẩm chặt chẽ và (iii) độ phóng đại phù hợp. Cần có trường phẫu thuật thông thoáng trước khi can thiệp phẫu thuật. Loại bỏ mảng bám, mảnh vụn và cao răng trên/dưới nướu là điều cần thiết. Ngoài ra, để đảm bảo tổn thương có lỗ rỗng và cải thiện khả năng tiếp cận bằng thị giác, việc tách răng bằng cách đặt một dụng cụ tách đàn hồi chỉnh nha trong một tuần để tạo ra một khoảng cách nhỏ ở kẽ răng là rất hữu ích. Kiểm soát độ ẩm thông qua việc sử dụng đê cao su rất hữu ích cho việc phục hồi chất lượng cao. Ngoài ra, sử dụng kính lúp phóng đại giúp giảm tình trạng nhô ra ở rìa răng tới 40%. Tình trạng nhô ra có thể ảnh hưởng đến việc đánh giá kết quả lâm sàng của phục hồi trong các lần tái khám do gây ra sự hiểu sai về lý do thất bại. Thất bại của phục hồi có thể là do nhô ra và rò rỉ thay vì do chính đường hầm. Các phương pháp tiếp cận trái ngược khác để tạo điều kiện loại bỏ sâu răng đầy đủ bao gồm tăng kích thước của đường tiếp cận nhai và áp dụng kiểm tra chụp X quang. Tuy nhiên, việc tăng kích thước của quá trình chuẩn bị đường hầm sẽ làm giảm khả năng chống gãy của răng. Một nghiên cứu đã báo cáo rằng ngay cả việc kiểm tra chụp X quang tại chỗ trong quá trình chuẩn bị đường hầm cũng không thể làm tăng hiệu quả của việc loại bỏ sâu răng. Người ta cho rằng không nên coi chụp X-quang là công cụ chẩn đoán phù hợp để xác định sâu răng trong quá trình chuẩn bị đường hầm.
Gãy vỡ gờ bên
Chiều rộng hoặc chiều cao không đủ của gờ bên còn lại sau khi chuẩn bị đường hầm làm tăng nguy cơ gãy gờ bên. Chuẩn bị đường hầm khép kín với gờ bên và/hoặc có lỗ sâu lớn dẫn đến giảm chiều rộng gờ bên. Nó có nguy cơ gãy cao hơn 2–7 lần so với chuẩn bị đường hầm có khoảng cách xa hơn với gờ bên hoặc lỗ sâu nhỏ hơn. Hướng ngang của mũi khoan trong quá trình chuẩn bị đường hầm làm giảm chiều cao của gờ bên. Các nghiên cứu cho thấy rằng việc chuẩn bị đường hầm hoàn toàn dẫn đến gờ bên yếu hơn.
Để tăng khả năng chống gãy xương của phục hồi đường hầm, chiều rộng của gờ biên phải ít nhất là 2 mm và chiều cao lý tưởng là 2,5 mm Độ mở mặt nhai của phục hồi đường hầm phải bảo tồn. Một nghiên cứu phát hiện ra rằng việc chuẩn bị đường hầm có kích thước nhỏ cho thấy độ bền của gờ biên tối đa so với răng khỏe mạnh. Việc phục hồi đường hầm với gờ biên cao 2,5 mm có khả năng chống gãy tương tự như răng khỏe mạnh. Ngoài ra, việc đặt góc bur theo chiều dọc ban đầu và sau đó thay đổi thành góc ngang hơn có thể bảo tồn nhiều ngà răng hơn dưới gờ biên khi chuẩn bị đường hầm. Tuy nhiên, lưu ý rằng hoạt động này có thể dẫn đến nguy cơ lộ tủy cao hơn.
Xâm lấn tủy sống
Một cân nhắc khác là tình trạng xâm lấn hoặc kích ứng tủy sống trong quá trình chuẩn bị hoặc phục hồi đường hầm. Để tránh lộ tủy, cần tiến hành kiểm tra tiền phẫu cẩn thận với sự hỗ trợ của phim chụp X-quang. Hướng của mũi khoan phải được kiểm soát tốt với phim chụp X-quang làm tham chiếu. Để tránh kích ứng tủy trong quá trình phẫu thuật hoặc do vật liệu phục hồi, nên sử dụng lớp lót thủy tinh ionomer biến tính bằng nhựa hoặc canxi hydroxylate để che tủy gián tiếp nếu đường hầm đóng kín với tủy răng. Lớp lót này không chỉ đóng vai trò là hàng rào bảo vệ tủy mà còn tăng cường quá trình tái khoáng hóa của ngà răng bị sâu.
Kết luận
Phục hồi đường hầm là một thủ thuật phục hồi vĩnh viễn khả thi và bảo tồn cho sâu răng gần. Rõ ràng là cần phải nghiên cứu để cải thiện các phương pháp chẩn đoán, phát triển các chỉ số cụ thể tại vị trí về nguy cơ sâu răng trong tương lai và thiết lập các hướng dẫn rõ ràng về việc kiểm soát sâu răng. Nhìn chung, phục hồi đường hầm là một thủ thuật đòi hỏi kỹ thuật cao. Việc lựa chọn trường hợp, kỹ thuật chuẩn bị và lựa chọn vật liệu phục hồi phù hợp là rất quan trọng. Việc sử dụng các công nghệ tiên tiến, chẳng hạn như kính lúp phóng đại, chụp X-quang kỹ thuật số và tay khoan nha khoa có đèn LED, là điều cần thiết. Cần tiến hành thêm các nghiên cứu lâm sàng dài hạn để xác định tỷ lệ thành công và thất bại của các kỹ thuật phục hồi này bằng cách sử dụng các công nghệ mới nhất hiện có so với các kỹ thuật phục hồi khác.


