Phần lớn trẻ em ngày nay có các lệch lạc về khớp cắn và bố mẹ thì thường nghĩ rằng cần phải đợi đến khi trẻ thay hết răng hay đến tuổi trưởng thành thì mới bắt đầu can thiệp đươc. Tuy nhiên, nếu đợi đến khi các răng vĩnh viễn mọc hết mới bắt đầu can thiệp niềng răng thì có thể trẻ sẽ gặp phải những vấn đề khó hồi phục được như tụt lợi, tiêu xương, sang chấn khớp cắn,…Vậy, trẻ có thể điều trị từ lúc nào và làm sao để can thiệp nhẹ nhàng nhất? Trên thực tế, trẻ có thể được điều trị từ rất sớm ngay từ khi trẻ mới 5 tuổi. Và Myobrace là một trong những khí cụ tiền chỉnh nha đơn giản mà hiệu quả được chỉ định điều trị cho trẻ ở giai đoạn này.
Trước hết, phụ huynh cần hiểu rõ về nguyên nhân của các sai lệch khớp cắn. Một trong những nguyên nhân có thể kể đến là do di truyền. Bên cạnh đó, những thói quen xấu như mút ngón tay, mút môi, thở miệng,…cũng là một trong những nguyên nhân thực sự dẫn đến những sai lệch về khớp cắn và tăng trưởng sọ mặt. Nếu một đứa trẻ thở bằng miệng cả ban ngày hoặc ban đêm khi ngủ hay lưỡi đặt sai vị trí thì hậu quả là cả hàm trên và hàm dưới của trẻ đều phát triển lệch lạc. Sự phát triển sai lệch này sẽ giới hạn không gian cho răng mọc và cản trở răng mọc đúng vị trí. Mà các thói quen xấu này thường hiện diện ngay khi trẻ trong giai đoạn răng sữa và răng hỗn hợp, điều đó có nghĩa là việc điều trị có thể bắt đầu sớm hơn nhiều so với suy nghĩ của các bậc phụ huynh. Vì vậy, cần bắt đầu điều trị để loại bỏ các thói quen xấu này ngay khi phát hiện vì chúng là những nguyên nhân dẫn đến răng lệch lạc, sai khớp cắn. Và Myobrace là một trong những khí cụ điều trị hiệu quả trong những trường hợp này. Myobrace giúp:
- Sửa các thói quen xấu về răng miệng: thở miệng, mút môi, mút ngón tay,..
- Hướng dẫn mọc răng
- Kích thích xương hàm phát triển
- Tối ưu hóa sự phát triển của khuôn mặt
- Cải thiện sức khỏe tổng thể
- Thúc đẩy thói quen ăn uống lành mạnh
Vậy Myobrace làm thế nào để có được tác dụng trên? Khí cụ hỗ trợ bệnh nhân:
- Luyện tâp thở qua mũi hoàn toàn
- Đúng tư thế nghỉ lưỡi
- Nuốt đúng cách
- Hai môi khép kín ở tư thế nghỉ
Nhờ vậy xương hàm của trẻ có thể phát triển đúng tự nhiên và khuôn mặt được hài hòa hơn.
Hướng dẫn sử dụng khí cụ Myobrace đúng cách:
- Bước 1: Giữ khí cụ với thẻ lưỡi hướng lên trên
- Bước 2: Đặt khí cụ vào trong miệng
- Bước 3: Để đầu đặt lưỡi đặt đúng vị trí thẻ lưỡi
- Bước 4: Ngậm miệng, cảm nhận răng và hàm đang được điều chỉnh
- Bước 5: Giữ cho hai môi khép lại và thở bằng mũi
Lưu ý quan trọng : không nhai khí cụ Myobrace.
Đây là hệ thống khí cụ có nhiều loại khác nhau và nhiều kích cỡ khác nhau. Trẻ cần được thăm khám cẩn thận trên miệng, được chụp phim kiểm tra và lấy dấu mẫu hàm của trẻ để chọn được loại hàm phù hợp và kế hoạch điều trị cụ thể.
Bên cạnh kế hoạch điều trị phù hợp thì một trong những yếu tố quyết định là sự hợp tác của trẻ. Trẻ cần đeo khí cụ qua đêm khi ngủ và đeo thêm 1-2 tiếng vào ban ngày. Nó cũng phụ thuộc vào sự hợp tác của trẻ để điều chỉnh các thói quen cơ chức năng kém của mình. Điều này cần có thời gian và khác nhau tuỳ theo từng trẻ. Đồng thời bác sĩ có thể hướng dẫn trẻ tập thêm các bài tập cơ chức năng về môi và lưỡi để đạt hiệu quả cao hơn.
Một số hình ảnh bệnh nhân điều trị bằng khí cụ Myobrace:

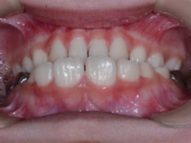
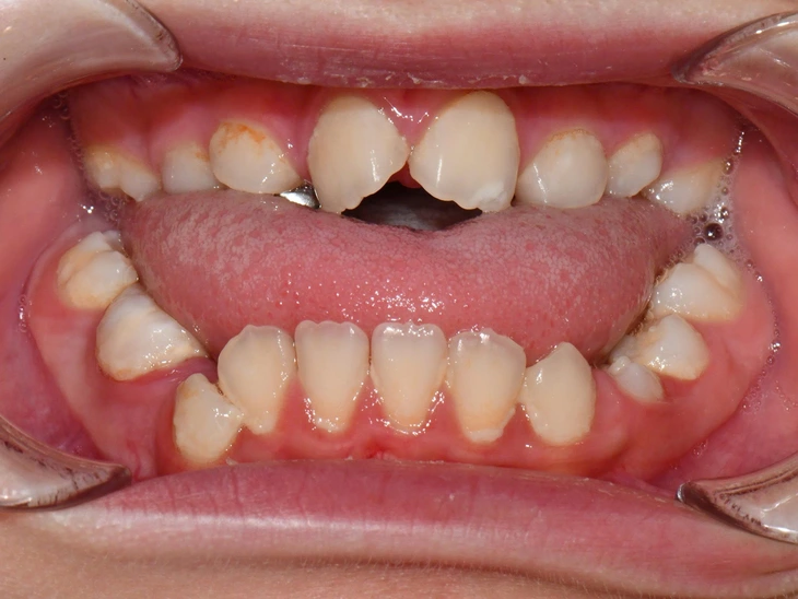
Hình 1 và 2: Bệnh nhân nữ 6 tuổi sau 8 tháng đeo khí cụ Myobrace

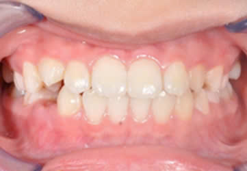
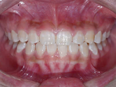
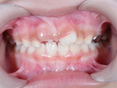
Hình 3 và 4 : Bệnh nhân có cắn chéo, tụt lợi vùng răng cửa dưới, sau khi đeo khí cụ Myobrace tình trạng đã được cải thiện đáng kể

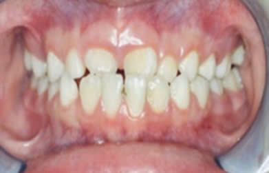
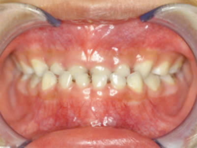
Hình 5 và 6: Bệnh nhân cắn ngược nhóm răng sữa, sau quá trình theo dõi và điều trị với khí cụ Myobrace cho hiệu quả rất cao, hết cắn ngược, răng vĩnh viễn đều đẹp.
Tóm lại, việc điều trị cho trẻ bằng khí cụ Myobrace cần được chỉ định và theo dõi bởi bác sĩ chuyên khoa để đạt được hiệu quả mong muốn. Vì vậy, các bậc phụ huynh nên cho trẻ đi khám răng định kì để các bé được theo dõi tình trạng răng thường xuyên và có thể được can thiệp ngay từ giai đoạn sớm để tránh những hậu quả nghiêm trọng và giảm bớt những điều trị phức tạp sau này


