Khi nào và Những ai cần phải chỉnh nha?
| Khi nào và Những ai cần phải chỉnh nha? |
|
Tiến sỹ. Võ Trương Như Ngọc Trưởng Bộ môn Răng Trẻ Em Viện Đào Tạo Răng Hàm Mặt-Trường Đại Học Y Hà Nội
Nắn chỉnh răng-hàm có phải chỉ để giải quyết vấn đề thẩm mỹ? Có nhiều lý do khác nhau khiến bác sĩ khuyến cáo bệnh nhân nên chỉnh nha. Nắn chỉnh răng-hàm không chỉ để giải quyết vấn đề thẩm mỹ mà còn để giải quyết vấn đề chức năng ăn nhai và giúp cho hàm răng được tồn tại lâu dài hơn. Nắn chỉnh răng hay còn gọi là chỉnh nha, niềng răng…, từ tiếng Anh là Orthodontics, là một từ có nguồn gốc từ Hy Lạp được ghép bởi hai từ “ortho” nghĩa là bình thường, chính xác, hay thẳng và từ “dontos” nghĩa là răng. Chỉnh nha liên quan tới việc điều chỉnh và cải thiện vị trí của các răng cũng như điều chỉnh bất kỳ sự lệch lạc khớp cắn nào. Nắn chỉnh răng là gì?
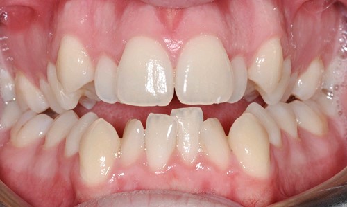
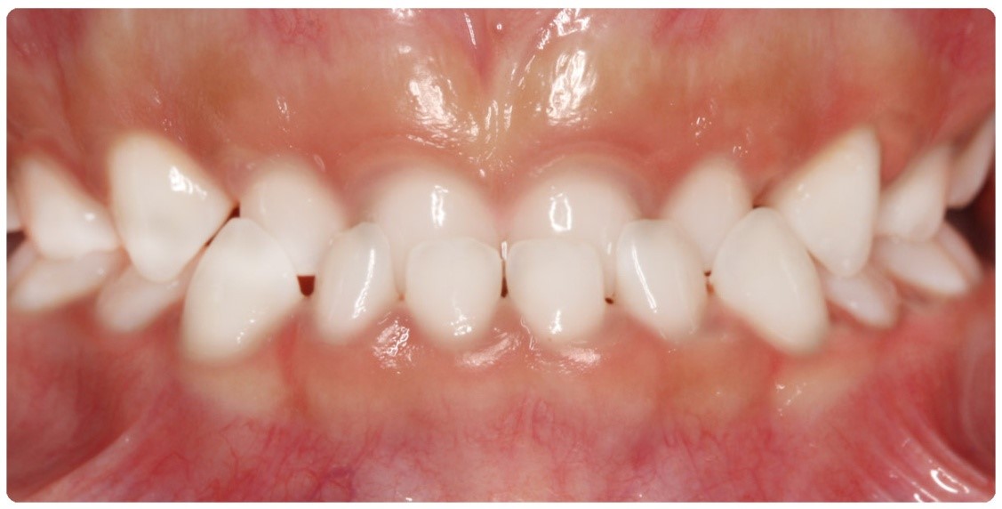
Vậy như thế nào là khớp cắn bình thường và khớp cắn lệch lạc? Đáng ngạc nhiên là không chỉ đơn thuần có một câu trả lời. Một khớp cắn bình thường được mô tả bằng những tiêu chí như: lý tưởng, phù hợp giải phẫu, mang tính trung bình, mang tính thẩm mỹ, hợp lý, đảm bảo chức năng cắn và khớp cắn không ảnh hưởng tới sức khỏe răng miệng. Do vậy, trên thực tế, cùng một vấn đề nhưng có thể có tồn tại nhiều hướng giải quyết khác nhau: điều trị hay không điều trị. Lệch lạc khớp cắn không phải là một bệnh nhưng là một biến thể khác so với tình trạng bình thường và có thể ảnh hưởng không tốt đến tình trạng sức khỏe răng miệng nói chung. Về cơ bản, có ba nguyên nhân chính dẫn tới việc cần phải tiến hành chỉnh nha: 1- Tình trạng, khấp khểnh, vẩu răng-hàm 2- Điều chỉnh chức năng ăn nhai của răng 3- Loại bỏ các nguy cơ có thể gây tổn hại tới sự khỏe mạnh lâu dài của răng và mô quanh răng.
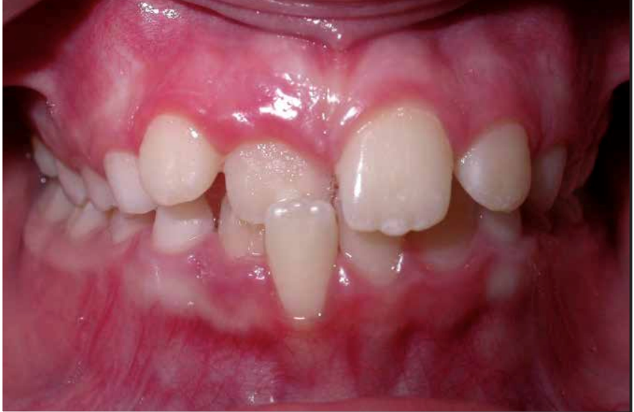
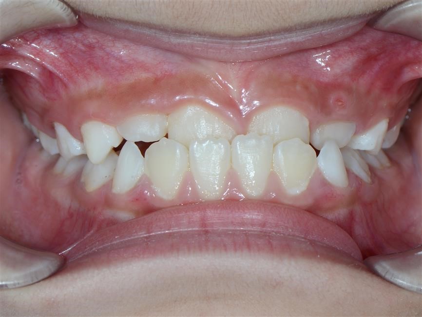
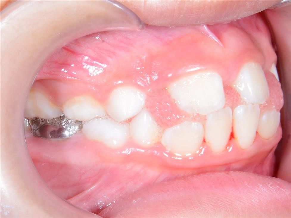
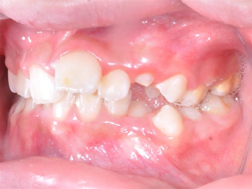
Chức năng cắn: Những răng không được tiếp xúc tốt với răng tương ứng ở hàm đối diện có thể gây khó khăn khi ăn uống và có thể dẫn tới rối loạn chức năng khớp thái dương- hàm. Tuy nhiên, mối liên hệ giữa rối loạn chức năng khớp thái dương hàm và lệch lạc khớp cắn vẫn là một vấn đề gây tranh cãi. Những cá nhân có khớp cắn không tốt, có thể cảm thấy khó khăn và ngượng ngùng khi ăn vì họ không thể cắn được miếng thức ăn bằng răng cửa của mình. Họ chỉ có thể nhai thức ăn bằng những răng phía sau. Sức khỏe răng miệng: Vệ sinh răng miệng trở nên khó khăn hơn. răng dễ có mảng bám và cao răng hơn nếu hàm răng khấp khểnh không đều. Do vậy, bệnh nhân có thể dễ bị sâu răng và các bệnh nha chu khác như viêm lợi và viêm quanh răng hơn. Tuy nhiên, nếu có một hàm răng đều đặn mà không có ý thức và thực hành vệ sinh răng miệng tốt thì cũng không thể có tình trạng vệ sinh răng miệng tốt. Nếu chải răng không đầy đủ và không đúng cách, các bệnh nha chu sẽ tiến triển bất chấp hàm răng của họ thẳng đều đến mức nào. Trong nhiều trường hợp lệch lạc khớp cắn có thể làm tổn thương cả răng và mô mềm nếu không được điều trị. Hiển nhiên rằng răng cửa hàm trên càng chìa ra nhiều bao nhiêu thì nó lại càng dễ bị tổn thương bấy nhiêu. Khi khoảng cách theo chiều ngang giữa răng cửa hàm trên và răng cửa hàm dưới là 9mm hoặc lớn hơn, nguy cơ tổn thương răng cửa hàm trên tăng lên tới hơn 40%. Giảm độ chìa ra của răng cửa hàm trên không chỉ có lợi ích trên quan điểm thẩm mỹ mà còn hạn chế tối đa nguy cơ chấn thương và sự phức tạp về lâu về dài cho cả hàm răng. Những tình trạng khớp cắn ngược, không chỉ ảnh hưởng nhiều đến vấn đề thẩm mỹ mà còn ảnh hưởng đến chức năng cắn và gây ra tình trạng mòn răng – răng sớm, răng cửa dưới bị tiêu xương ổ răng, lợi bị co…Trong trường hợp được điều trị sớm, tổn thương mô mềm sẽ dừng lại và khi phần lợi còn lại được tái tạo thì tình trạng sẽ được cải thiện một cách tự nhiên và không để lại vấn đề gì sau này.
Khớp cắn chéo quá sâu có thể tình cờ gây ra loét mô mềm, những trường hợp này nhu cầu thẩm mỹ thì nhỏ nhưng vấn đề loại bỏ nguyên nhân gây chấn thương mô mềm thì lớn. Ai nên được điều trị chỉnh nha? Phần lớn điều trị chỉnh nha được tiến hành vì nhu cầu thẩm mỹ và lợi ích mà mỗi bệnh nhân nhận được từ việc điều trị sẽ phụ thuộc vào mức độ trầm trọng của mức độ sai khớp cắn và nhận thức của bệnh nhân về vấn đề này. Một số cá nhân có thể có sự lệch lạc ở mức độ quá rõ ràng làm ảnh hưởng trầm trọng tới gương mặt của họ tuy nhiên họ cũng chẳng quan tâm đến và không cần điều trị nếu bác sỹ không có cách thuyết phục. Bác sĩ lâm sàng có thể đưa ra lời khuyên về phương pháp điều trị cho bệnh nhân nhưng cũng không nên yêu cầu họ một cách cứng nhắc mà nên để cho họ có thời gian ngồi lại và suy nghĩ để đưa ra quyết định cuối cùng hợp tác với bác sỹ điều trị. Lệch lạc khớp cắn mức độ nhẹ nên được điều trị với sự cẩn trọng vì khả năng tái phát sau khi điều trị. Các bậc phụ huynh có thể có rất nhiều yêu cầu khác nhau nhưng các bác sĩ lâm sàng nên tiếp cận những vấn đề này một cách cẩn trọng và chỉ tiến hành điều trị khi nó đem lại lợi ích tốt nhất cho bệnh nhân. Điều thiết yếu nhất cần nhớ là phụ huynh và bác sĩ cần phải nhận thức rõ về những hạn chế cũng như sự đòi hỏi nhiều thời gian của việc điều trị chỉnh nha. Kế hoạch điều trị nắn chỉnh răng Trong quá trình phát triển của bộ răng người, có thể chia làm ba giai đoạn chính như sau: giai đoạn răng sữa, giai đoạn răng hỗn hợp và giai đoạn răng vĩnh viễn. Sau đây là một số gợi ý những trường hợp nào cần và nên điều trị theo các giai đoạn của bộ răng: Kế hoạch điều trị ở hàm răng sữa Lý do điều trị: điều trị nắn chỉnh răng ở hàm răng sữa vì lý do sau: (1) loại bỏ các cản trở đến sự tăng trưởng bình thường của mặt và cung răng. (2) duy trì hoặc phục hồi lại chức năng bình thường Các trường hợp cần phải điều trị: a) Cắn chéo phía trước và sau.
d) Các răng mọc sai vị trí làm rối loạn chức năng khớp cắn hoặc gây ra khiếm khuyết há ngậm miệng. e) Các thói quen xấu hoặc sai chức năng gây ra sai lệch phát triển.
Các trường hợp có thể điều trị: a) Tương quan xa ở ít nhất một phần tư cung hàm. Sự thăng bằng khớp cắn hoặc di chuyển răng có thể khôi phục chức năng bình thường. Vấn đề còn lại có thể được điều trị ngay hoặc trì hoãn. b) Tương quan xa của xương được điều trị tốt nhất trong giai đoạn này, tuy nhiên bệnh nhân cần được lựa chọn cẩn thận và đã trưởng thành về mặt giao tiếp xã hội để có sự hợp tác. c) Cắn hở do đẩy lưỡi hay thói quen mút ngón tay. Chống chỉ định điều trị ở hàm răng sữa:
a) Không đảm bảo được rằng kết quả có thể chấp nhận được. b) Có thể đạt được kết quả tốt hơn mà ít nỗ lực hơn tại một thời điểm khác. c) Sự không hợp tác của trẻ có thể khiến khó tiến hành điều trị. Kế hoạch điều trị ở hàm răng hỗn hợp
Đây là thời kỳ thích hợp nhất để hướng dẫn cắn khớp và ngăn chặn sai khớp cắn. Nha sĩ sẽ có thách thức lớn nhất cũng như cơ hội tốt nhất để tiến hành điều trị có hiệu quả. Lí do điều trị: a) Loại bỏ các cản trở sự phát triển bình thường của bộ răng. b) Điều trị sai khớp cắn ở bộ răng vĩnh viễn không thể hiệu quả hơn. Điều trị tập trung vào việc hướng dẫn tăng trưởng, ngăn ngừa sự phát triển của sai khớp cắn và lọai bỏ các dấu hiệu đầu tiên mà có thể làm cho sai khớp cắn trở nên trầm trọng hơn ở giai đoạn răng vĩnh viễn. Các trường hợp cần điều trị: a) Sự mất răng sữa gây nguy cơ thiếu khoảng trên cung hàm. b) Sự đóng khoảng do sự mất sớm các răng sữa. Khoảng bị mất trên cung hàm cần phải được hồi phục.
c) Răng mọc sai vị trí gây cản trở phát triển chức năng cắn khớp bình thường, gây rối loạn mọc răng hoặc há ngậm miệng, hoặc gây ảnh hưởng xấu đến sức khỏe răng miệng. d) Răng thừa có thể là nguyên nhân gây sai khớp cắn e) Khớp cắn chéo ở răng vĩnh viễn
g) Thiếu răng nếu đóng khoảng sớm có thể tránh làm răng giả h) Khe thưa giữa các răng cửa giữa hàm trên có điều trị chỉnh nha i) Khớp cắn bình thường nhưng có vẩu xương hàm trên quá mức j) Khớp cắn loại II type chức năng k) Khớp cắn loại II do răng
l) Khớp cắn loại II do xương, đặc biệt trong trường hợp điều trị hai pha được chỉ định m) Thiếu khoảng nhìn thấy rõ Các trường hợp có thể điều trị: các điều kiện có thể điều trị ở giai đoạn hàm răng hỗn hợp là: a) Sai khớp cắn loại II do xương, đặc biệt trong trường hợp điều trị hai pha được chỉ định b) Sai khớp cắn loại III mà điều trị sớm có khả thi c) Tất cả các sai khớp cắn mà răng quá to, nếu có chỉ định nhổ răng hướng dẫn thì cần điều trị sớm từ lúc giai đoạn răng hỗn hợp. d) Mất hài hòa nền xương 3. Kế hoạch điều trị ở hàm răng vĩnh viễn
Tất cả các sai khớp cắn có thể sửa chữa có thể điều trị ở giai đoạn người lớn trẻ. Mặc dù phần lớn các tài liệu điều khuyên nên điều trị sớm tuy nhiên không phải lúc nào sớm nhất là cũng tốt nhất, điều này còn phụ thuộc vào tình trạng bệnh lý cụ thể. Chỉnh nha cũng có thể chỉ định cho người lớn tuổi, người già, tuy nhiên thường có nhiều trở ngại hơn do vấn đề mất răng và bệnh nha chu. Tóm lại, để trả lời câu hỏi, khi nào và ai là người cần nắn chỉnh răng là một vấn đề sâu và rất phức tạp. Để có được bộ răng đẹp, khỏe, khám răng định kỳ ngay từ khi chiếc răng đầu tiên mọc là hết sức cần thiết để các bác sỹ nha khoa có thể phát hiện và chỉ định các điều trị kịp thời và hợp lý. Đọc thêm: Bí quyết Vệ sinh răng miệng khi nắn chỉnh răng – TS.BSNT Võ Trương Như Ngọc – Báo Sức khỏe & Đời sống |












