I. Giới Thiệu Chung
- Giới thiệu.
Định lượng ánh sáng huỳnh quang (QLF) là một công cụ quang học tiêu biểu để phát hiện sớm và định lượng tổn thương sâu răng, từ đó được giới thiệu là công nghệ đầu tiên ở lĩnh vực này trong nha khoa lâm sàng.
Trong nha khoa, sâu răng là bệnh lý răng miệng có độ phổ biến cao, với số ca mắc lên tới 2.3 tỷ người trên thế giới, theo nghiên cứu về gánh nặng bệnh tật toàn cầu năm 2017. Việc chẩn đoán sâu răng cổ điển thường dựa trên quan sát bằng mắt thường, với tổn thương đa dạng từ những đốm trắng mất khoáng trên bề mặt tới những lỗ sâu kích thước lớn xâm lấn tới ngà, tuỷ răng. Bên cạnh đó, phim XQ cũng được áp dụng để tham khảo chẩn đoán, cho phép đánh giá có sự huỷ khoáng hay không, tuy nhiên độ nhạy không cao đối với tổn thương giai đoạn sớm. Ngày nay, với sự phát triển của công nghệ, một số biện pháp hỗ trợ đã được phát triển giúp việc chẩn đoán sâu răng được chính xác và thuận lợi hơn, như: máy kiểm tra sâu răng điện tử (ECM), laser huỳnh quang (DIAGNOdent), ánh sáng xuyên sợi (DIFOTI), định lượng ánh sáng huỳnh quang (QLF). Bài viết này đề cập tới ứng dụng của định lượng ánh sáng huỳnh quang Quatitative light-induced fluorescence (QLF) trong chẩn đoán sâu răng.
- Lịch sử hình thành và cơ chế hoạt động.
Răng là tổ chức cứng bao gồm nhiều lớp chứa nhiều loại khoáng chất khác nhau. Sâu răng là một bệnh lý trong đó hàm lượng khoáng chất của răng bị hòa tan về mặt hóa học bởi axit do vi sinh vật trong miệng tạo ra dưới dạng chất chuyển hóa cuối cùng trong các tổ chức cứng này. Những thay đổi vi thể đầu tiên sẽ xảy ra ở lớp bề mặt của men răng, sau đó là sự hình thành một lỗ sâu điển hình phá vỡ tính liên tục của lớp bề mặt. Trên lâm sàng, những thay đổi này được phát hiện bằng thị giác, xúc giác và phim chụp X-quang, nhưng những phương pháp này cho thấy độ nhạy thấp, khoảng 20–30%, trong việc phát hiện những thay đổi vi thể ở giai đoạn đầu của sâu răng. Đã có nhiều nỗ lực nhằm khắc phục những hạn chế liên quan đến việc phát hiện những thay đổi vi thể ở răng dựa trên việc áp dụng nhiều công nghệ khác nhau như ánh sáng, độ dẫn điện và sóng siêu âm. Định lượng ánh sáng huỳnh quang (QLF) có thể đo đồng thời cả hàm lượng khoáng chất và hoạt động của vi khuẩn. Hầu hết các thiết bị dựa trên ánh sáng được phát triển cho đến nay đều đánh giá những thay đổi vi thể trong cấu trúc răng bằng cách sử dụng ánh sáng ở bước sóng cụ thể. Các nguyên tắc cơ bản của việc sử dụng QLF để phát hiện các tổn thương sâu răng giai đoạn sớm về mặt quang học như sau: ánh sáng xanh nhìn thấy được chiếu vào răng và chạm tới điểm nối men ngà (DEJ) sẽ tạo ra huỳnh quang mà ở đó chúng hoạt động giống như một chiếc đèn bên trong răng sau khi đi qua men răng, và ánh sáng huỳnh quang này sẽ được khuếch đại bởi các tế bào huỳnh quang trong DEJ. Cơ chế này, đối với các đốm trắng, sẽ dẫn đến sự tán xạ ánh sáng cao gấp 5–10 lần so với men răng thông thường khi sử dụng QLF. Tổn thương có vẻ sẫm màu hơn tổ chức men còn nguyên vẹn do sự tán xạ ánh sáng của huỳnh quang được tạo ra, và điều đó cho phép các tổn thương đó có thể được nhìn thấy bằng mắt thường. Hình ảnh huỳnh quang được thu nhận bởi một camera màu CCD, dữ liệu được truyền về máy tính để lưu giữ và xử lý với một phần mềm thích hợp.
II. Ứng Dụng
- Ứng dụng trong các kĩ thuật lâm sàng nha khoa.
QLF là công cụ đắc lực giúp phát hiện sớm tổn thương sâu răng ở: Sâu mặt nhai, sâu mặt bên, sâu răng bề mặt nhẵn, sau chân răng, sâu răng thứ phát và phát hiện mảng bám. Trong điều trị dự phòng, QLF cho phép đánh giá mức độ tái khoáng hay mất khoáng tiến triển của tổn thương sâu sớm chưa tạo lỗ, theo dõi sự phục hồi, dựa trên cơ sở độ giảm phát huỳnh quang có mối tương quan cao với mức độ mất khoáng trong mô răng. Đối với sâu mặt bên, việc chẩn đoán bị hạn chế hơn do sự đâm xuyên của ánh sáng bị cản trở, tổn thương được đánh giá gián tiếp thông qua ảnh chụp huỳnh quang ở mặt nhai.


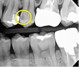
Hình 1: Hình ảnh định lượng ánh sáng huỳnh quang (ánh sáng trắng và ánh sáng huỳnh quang) ở lỗ sâu phía gần bằng thiết bị Qraypen và phim cánh cắn.

Hình 2: Hình ảnh định lượng ánh sáng huỳnh quang (ánh sáng trắng và ánh sáng huỳnh quang) trên bề mặt tổn thương bằng thiết bị Qraycam.

Hình 3: Hình ảnh QLF (hình ảnh ánh sáng trắng và huỳnh quang) cho thấy bề mặt chân răng khỏe mạnh của vùng răng trước hàm trên và tổn thương sâu chân răng của răng trước hàm dưới thu được bằng thiết bị Qraycam

Hình 4: Hình ảnh QLF (hình ảnh ánh sáng trắng và huỳnh quang) của sâu răng thứ phát xung quanh phục hình composite (a) và vi kẽ xung quanh phục hồi sealant (b) thu được bằng QLF-D.

Hình 5: Phát hiện tổn thương sâu mặt bên
Bên cạnh ứng dụng trong chẩn đoán sâu răng, công nghệ QLF cũng có khả năng phát hiện các vết nứt trên bề mặt răng. Theo phân tích mô bệnh học của Ricucci và cộng sự, sự tồn tại của vi khuẩn luôn được ghi nhận ở đường nứt và các ống ngà xung quanh. Do đó, thông qua công nghệ QLF, đường nứt răng có thể được nhận diện bằng cách phát hiện huỳnh quang màu đỏ của porphyrin do vi sinh vật tiết ra trong các vết nứt. Bên cạnh đó, độ sâu của đường nứt cũng có thể được xác định. Tương tự như hiện tượng xảy ra ở mô sâu mất khoáng, ánh sáng bị tán xạ, đường nứt cản trở sự dẫn truyền ánh sáng, dẫn tới sự giảm phát huỳnh quang. Vị trí đường nứt cho giá trị ΔF thấp hơn mô xung quanh, và mức độ giảm này có mối tương quan chặt chẽ với độ sâu của đường nứt, từ đó hỗ trợ chẩn đoán và tiên lượng.

Hình 6: Phát hiện đường nứt răng
Ngoài ra, QLF có khả năng nhận diện mảng bám và cao răng.
- Ứng Dụng QLF Tại Nha Khoa Như Ngọc.
Để tăng độ chính xác trong chẩn đoán bệnh, tại Nha khoa Như Ngọc, Qraypen C – thiết bị quang học y tế thế hệ 2 được cập nhật và đưa vào sử dụng. Việc áp dụng công nghệ tiên tiến giúp công tác khám chữa bệnh của các bác sĩ được thuận lợi và chất lượng hơn.

Hình 7: Bác sĩ dùng QLF tại Nha Khoa Như Ngọc
III. Kết Luận
Công nghệ QLF được giới thiệu vào năm 1981 như là kỹ thuật đánh giá quang học đầu tiên trong lĩnh vực nha khoa (sau chụp X-quang) để đánh giá sự thay đổi huỳnh quang trong các tổn thương sâu răng sớm bằng cách sử dụng bộ lọc và ánh sáng xanh nhìn thấy được. Công nghệ này đã được phát triển liên tục trong 30 năm qua và hiện đã có sẵn để ứng dụng trong nha khoa lâm sàng. Các thiết bị QLF thế hệ thứ ba tập trung vào ánh sáng huỳnh quang màu đỏ để phản ánh hoạt động của vi khuẩn, giúp cải thiện việc phân tích hình ảnh và dễ dàng giao tiếp với bệnh nhân trong tình huống lâm sàng. Việc triển khai công nghệ QLF trên điện thoại thông minh trong tương lai có thể cho phép người bệnh kiểm tra tình trạng răng miệng của mình trong thời gian thực và chia sẻ kết quả với các chuyên gia nha khoa, từ đó hỗ trợ đáng kể khả năng theo dõi liên tục tình trạng sức khỏe răng miệng của bệnh nhân.
Tài liệu tham khảo:
- Bernabe E, Marcenes W, Hernandez CR, et al. Global, Regional, and National Levels and Trends in Burden of Oral Conditions from 1990 to 2017: A Systematic Analysis for the Global Burden of Disease 2017 Study. Journal of Dental Research;99(4):362-373. doi:10.1177/0022034520908533(2020)
- Gomez, J., Tellez, M., Pretty, I. A., Ellwood, R. P. & Ismail, A. I. Non-cavitated carious lesions detection methods: A systematic review. Dent. Oral Epidemiol. 41, 54–66. https://doi.org/10.1111/cdoe.12021 (2013).
- Pretty, I. A. Caries detection and diagnosis: Novel technologies. Dent. 34, 727-739. https://doi.org/10.1016/j.jdent.2006.06.001 (2006)
- Pretty, I. A. & Ekstrand, K. R. Detection and monitoring of early caries lesions: A review. Arch. Paediatr. Dent. 17, 13–25. https://doi.org/10.1007/s40368-015-0208-6 (2016)
- Hope, C. K., de Josselin, J. E., Field, M. R., Valappil, S. P. & Higham, S. M. Photobleaching of red fluorescence in oral biofilms. Periodontal Res. 46, 228–234. https://doi.org/10.1111/j.1600-0765.2010.01334.x (2011).
- Amaechi, B. T. & Higham, S. M. Quantitative light-induced fluorescence: A potential tool for general dental assessment. Biomed. Opt. 7, 7–13. https://doi.org/10.1117/1.1427044(2002).
- van der Veen, M. H. & de Josselin, J. E. Application of quantitative light-induced fluorescence for assessing early caries lesions. Oral Sci. 17, 144–162. https://doi.org/10.1159/000061639 (2000).
- Kim, H. E., Kwon, H. K. & Kim, B. I. Recovery percentage of remineralization according to severity of early caries. J. Dent.26, 132–136 (2013).
- Ricucci, J.F. Siqueira Jr., S. Loghin, L.H. Berman. The cracked tooth: histopathologic and histobacteriologic aspects. J. Endod., 41, pp. 343-352, 10.1016/j.joen.2014.09.021 (2015)
- K. Stookey. Quantitative light fluorescence: a technology for early monitoring of the caries process. Dent. Clin. North Am., 49, pp. 753-770, 10.1016/j.cden.2005.05.009(2005)
By: GS-TS-TTUT Võ Trương Như Ngọc và Bs Trần Thanh Bình


