Với sự phát triển không ngừng của y học và nha khoa, phẫu thuật làm dài thân răng đã trở thành một trong những kỹ thuật tiên tiến nhất và phổ biến nhất trong lĩnh vực này. Không chỉ giúp cải thiện về mặt thẩm mỹ, phẫu thuật này còn đóng vai trò quan trọng trong việc tăng cường sự tự tin và chất lượng cuộc sống. Bài viết này sẽ đưa bạn đi sâu vào thế giới của phẫu thuật làm dài thân răng, từ quy trình thực hiện đến những lợi ích đáng kể mà nó mang lại.
Phẫu thuật làm dài thân răng là một quy trình nha khoa chuyên sâu, tập trung vào điều chỉnh chiều cao của thân răng để tạo nên một nụ cười hài hòa và tự nhiên. Điều này không chỉ giúp cải thiện về mặt thẩm mỹ mà còn tăng cường sự tự tin và tạo ra một ấn tượng tích cực trong giao tiếp và xã hội.
CHỈ ĐỊNH KHI NÀO?
- Các răng có sâu răng dưới lợi hoặc bị ngắn lại do sâu răng quá mức.
- Gãy răng.
- Thân răng lâm sàng ngắn có hoặc không làm giảm thẩm mỹ.
- Khi muốn mang lại hình dạng lợi cân đối, đặc biệt là vùng thẩm mỹ.
- Cười hở lợi với chiều cao thân răng ngắn.
- Quy Trình Thực Hiện
Quy trình bắt đầu bằng việc kiểm tra tình trạng lợi và xác định mức độ phẫu thuật cần thiết. Người bệnh sẽ được xem thiết kế và mô phỏng nụ cười mới bằng công nghệ Smile design hiện đại . Sau đó, bác sĩ sẽ tiến hành cắt ghép mô lợi và điều chỉnh thân răng để đạt được kết quả mong muốn với máy móc hiện đại như : máy cắt laser , máy gây tê không đau, máng hướng dẫn cắt lợi, giúp giảm bớt đau đớn và thời gian phục hồi.
2. Lợi Ích Của Phẫu Thuật Làm Dài Thân Răng.
– Nụ Cười Hoàn Hảo và Hài Hòa: Phẫu thuật làm dài thân răng tạo nên một nụ cười hài hòa và cân đối với khuôn mặt, nâng cao vẻ đẹp tự nhiên của bệnh nhân.
– Tăng Sự Tự Tin: Việc có một nụ cười đẹp và tự tin tăng cao, giúp người phẫu thuật cảm thấy thoải mái hơn trong giao tiếp và xuất hiện tại các sự kiện xã hội.
– Khắc Phục Vấn Đề về lợi: Phẫu thuật này cũng giúp khắc phục các vấn đề liên quan đến mô lợi, như co lợi hay mô nướu không đều.
3. Kết Luận.
Phẫu thuật làm dài thân răng không chỉ là một quy trình nha khoa thông thường mà còn là sự kết hợp tinh tế giữa nghệ thuật và khoa học. Việc tìm hiểu và thảo luận cùng với bác sĩ là quan trọng trước khi quyết định phẫu thuật, để đảm bảo rằng quyết định đưa ra là chính xác nhất. Hãy để chúng tôi, những chuyên gia có nhiều năm kinh nghiệm, đồng hành cùng bạn trên hành trình của vẻ đẹp và sức khỏe nha khoa.


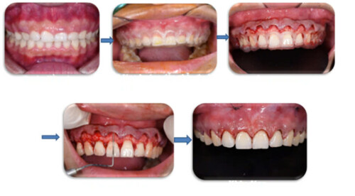
Dưới đây là ca lâm sàng được thực hiện tại phòng khám nha khoa Như Ngọc :
– Tình Trạng: Bệnh nhân khi cười có hở lợi nhiều khiến anh mất tự tin, không dám cười thoải mái, ngại giao tiếp.
Trích Dẫn Nguồn Tham Khảo:
American Academy of Periodontology. (2022). Understanding Gum (Periodontal) Surgery.
American Association of Oral and Maxillofacial Surgeons. (2022). Orthognathic Surgery.
American Dental Association. (2022). Cosmetic Dentistry.
Mayo Clinic. (2022). Dental Implant Surgery.
WebMD. (2022). Cosmetic Dentistry: Before and After.
Academy of General Dentistry. (2022). Cosmetic Dentistry.
Dental Economics. (2022). Cosmetic Dentistry: Current Trends in Smile Design.
American Academy of Cosmetic Dentistry. (2022). Cosmetic Dentistry Trends.
National Institute of Dental and Craniofacial Research. (2022). Cosmetic Dentistry.
Columbia University College of Dental Medicine. (2022). Cosmetic Dentistry: Achieving the Perfect Smile.
Academy of Laser Dentistry. (2022). Cosmetic Dentistry with Lasers.
American Academy of Implant Dentistry. (2022). [Cosmetic Dentistry](https://www.aaid-implant.org/dental-impl
Bs Chuyên Khoa I Cao Anh Dưỡng


