Mòn cổ răng và tiêu cổ răng được phân loại chung vào nhóm tổn thương không sâu răng – Noncarious cervical lesions. Từ trước đến nay, nha sĩ thường bỏ qua hoặc ít quan tâm đến điều trị mòn răng ở giai đoạn sớm khi bệnh nhân chưa có cảm giác ê buốt hay khó chịu. Tuy nhiên, với nha khoa dự phòng và can thiệp tối thiểu đang là xu thế thịnh hành. Thì việc bảo vệ răng đúng cách và truyền thông răng miệng về mòn răng và điều trị mòn răng được nhiều sự quan tâm hơn bao giờ hết. Bài viết này tập trung vào hiện tượng mòn cổ răng và tiêu cổ răng, giúp bạn đọc có cái nhìn tổng quan về hai bệnh lý này.
I. TIÊU CỔ RĂNG LÀ GÌ?
Tiêu cổ răng theo danh pháp quốc tế là abfraction là hiện tượng tổn thương mất mô răng ở các mức độ khác nhau do nguyên nhân quá tải lực (stress) [1]. Nghiên cứu của Branco năm 2023 cho thấy răng có tiếp xúc cắn mạnh thì có khả năng gây ra những tổn thương mất men gấp 1,22 lần so với răng chịu lực cắn bình thường [4]
II. MÒN CỔ RĂNG LÀ GÌ?
Mòn cổ răng theo danh pháp quốc tế là abrasion thường do nguyên nhân mài mòn gây nên (friction). Thói quen chải răng có ảnh hưởng nghiêm trọng đến mòn cổ răng. Người Việt chúng ta thường ít có thói quen thay bàn chải định kì 3-6 tháng 1 lần, sử dụng bàn chải cứng, hay thường xuyên được nghe quảng cáo và tin dùng những loại kem đánh răng có chứa than hoạt tính, muối hồng và những sản phẩm kem đánh răng có chứa hạt độn cao mà không được tư vấn bởi nha sĩ. Rất nhiều nghiên cứu đã xem xét mức độ ảnh hưởng của lực chải răng liên quan đến việc mòn cổ răng [3].

Hình 1: Các yếu tố nguyên nhân có thể dẫn đến những tổn thương mất cấu trúc răng không do sâu [2].

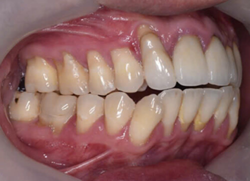
Hình 2: Hình ảnh tiêu cổ răng, tụt lợi do sang chấn khớp cắn ở bệnh nhân nam giới độ tuổi 30. Bệnh nhân than phiền ê buốt răng và tình trạng bong mối hàn thường xuyên.
III. CHẨN ĐOÁN:
Để tìm ra nguyên nhân của mòn răng, nha sĩ sẽ hỏi bệnh và sàng lọc những yếu tố căn nguyên liên quan đến thói quen sinh hoạt hằng ngày của bệnh nhân như chế độ ăn đồ dai cứng, cắn hạt, thói quen chải răng chưa đúng, bệnh lý nghiến răng,… Trên thực tế, ngoài những bệnh nhân lớn tuối có tổn thương nặng, rõ ràng và dễ xác định. Hầu hết bệnh nhân có mòn răng thường sẽ có những mòn răng hỗn hợp, tức là sẽ có thể có cả tiêu cổ răng và mòn cổ răng trên một nền bệnh nhân và chúng cộng hưởng tác động lên vùng cổ răng- nơi vốn đã yếu hơn vùng thân răng. Chính vì thế, bệnh nhân thường bị ê buốt và thăm khám, muốn trám cổ răng hơn là có những mòn ở bề mặt thân răng.
Sau khi đã có những thông tin cơ bản về tiền sử bệnh, thói quen của bệnh nhân. Bác sĩ sẽ có những thăm khám chuyên sâu để nhận xét về hình dạng tổ chức mất men, xác định lực cắn trên răng bằng giấy cắn hoặc phân tích khớp cắn điện tử chính xác hơn với T-scan. Nha sĩ cũng có thể chỉ định những phân tích theo dõi mòn răng với máy quét trong miệng, chụp phim để đánh giá tình trạng tổn thương và theo dõi tốc độ mòn răng.
IV. CÁCH ĐIỀU TRỊ:
Khi đã xác định được nguyên nhân và mức độ tổn thương mòn răng, chúng ta có thể đưa ra những phác đồ điều trị khác nhau từ đơn giản đến phức tạp như:
- Thay đổi thói quen chải răng, điều chỉnh chế độ ăn, từ bỏ thói quen xấu.
 - Tái khoáng hóa men răng.
 - Hàn cổ răng.
 - Điều chỉnh khớp cắn, tái lập khớp cắn.
 - Sử dụng máng bảo vệ răng ban đêm.
 
V. KẾT LUẬN:
Mòn răng không phải là bệnh lý cấp tính nhưng là một bệnh lý cần phát hiện và điều trị sớm, kịp thời. Tùy từng tình trạng mòn răng nặng nhẹ khác nhau sẽ có những phác đồ điều trị khác nhau và bệnh nhân cần thiết phải đến thăm khám nha khoa định kì để theo dõi và điều trị. Tại Nha khoa Như ngọc, đội ngũ bác sĩ luôn cập nhật những phương pháp mới nhất, những kiến thức mới nhất trên thế giới để tìm ra giải pháp phù hợp cho bệnh nhân.
- Nascimento, M.M., et al., Abfraction lesions: etiology, diagnosis, and treatment options. Clin Cosmet Investig Dent, 2016. 8: p. 79-87.
 - Grippo, J.O., M. Simring, and T.A. Coleman, Abfraction, abrasion, biocorrosion, and the enigma of noncarious cervical lesions: a 20-year perspective. J Esthet Restor Dent, 2012. 24(1): p. 10-23.
 - Hamza, B., et al., Effect of brushing force on the abrasive dentin wear using slurries with different abrasivity values. Int J Dent Hyg, 2023. 21(1): p. 172-177.
 - Goodacre, C.J., W. Eugene Roberts, and C.A. Munoz, Noncarious cervical lesions: Morphology and progression, prevalence, etiology, pathophysiology, and clinical guidelines for restoration. J Prosthodont, 2023. 32(2): p. e1-e18.
 
Ths. Bs Phùng Thị Thu Hằng
					
																		
																		
																		
																		
																		

