Hiện nay có rất nhiều bệnh lý di truyền ảnh hưởng đến răng cũng như phát triển cung hàm, ảnh hưởng đến chất lượng cuộc sống của người bệnh như loạn sản ngoại bì.
1. Loại sản ngoại bì là gì?
Loại sản ngoại bì là một rối loạn hiếm gặp với các khiếm khuyết về cấu trúc ở hai hoặc nhiều lớp ngoại bì phát triển bát thường ở răng, da và các phần phụ của ngoại bì ( bao gồm tóc, móng tay và các tuyến nội tiết) và các tuyến bã nhờn.
2. Nguyên nhân gây ra loại sản ngoại bì
Căn nguyên của hội chứng sản ngoại bì là do biến đổi gen và yếu tố di truyền. Đây là một dị tật bẩm sinh của 2 hoặc nhiều cấu trúc ngoại bì.
Rối loạn được chia thành hai loại dựa trên số lượng và chức năng của các tuyến mồ hôi: hội chứng Clouston syndrome (Loạn sản ngoại bì tăng tiết mồ hôi) và hội chứng Christ-Siemens-Touraine syndrome (Loạn sản ngoại bì giảm tiết mồ hôi).
Đó là rối loạn liên kết X – dạng nhiễm sắc thể thường gặp nhất trong bệnh loạn sản ngoại bì. Những căn bệnh này khiến lông rất ít, không có tuyến mồ hôi, tuyến bã nhờn, ảnh hưởng lớn đến chức năng của cơ thể và ảnh hưởng nghiêm trọng đến sức khỏe cũng như tâm lý của người bệnh.
3. Biểu hiện của bệnh loại sản ngoại bì
Bệnh nhân có gương mặt điển hình:
Trán cao, má hóp, mũi yên ngựa, môi dày, có vẻ hơi lộn ra ngoài, da nhăn, tai lớn, thấp
Biểu hiện ở tóc: tóc dễ gãy, rụng, tóc thưa.
Lông mày và lông mi thiếu hẳn hoặc có mà rất thưa thớt.
Biểu hiện ở da: da khô, tróc vảy, Viêm da mãn tính, Ít ra mồ hôi
Đặc biệt biểu hiện ở răng:
Tùy mức độ từ nhẹ đến nặng của bệnh mà có biểu hiện ở răng từ thiếu một vài răng đến thiếu nhiều răng đến không có răng.
Trường hợp thiếu răng: răng trong miệng thường bị dị dạng, có dạng hình nón hoặc hình chóp.
Do tình trạng giảm tiết nước bọt trong miệng nên các trường hợp khiếm khuyết men răng và sâu răng xảy ra thường xuyên.

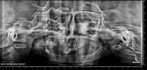
Hình 1: Ảnh chụp film – XQ

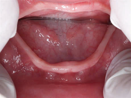
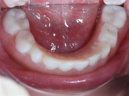
Hình 2: Ảnh chụp trong miệng

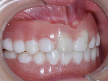
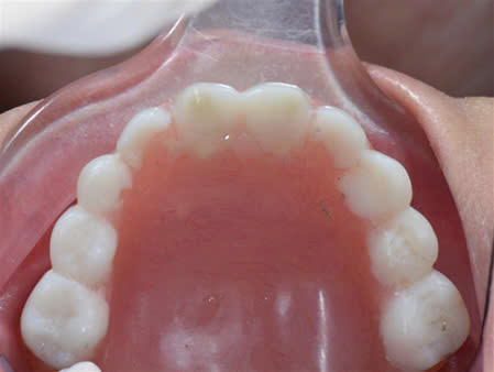
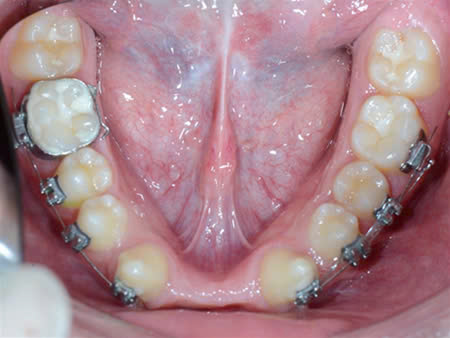
Hình 3: Ảnh chụp trong miệng
4. Điều trị bệnh loại sản ngoại bì
Cho đến nay, vẫn chưa có cách chữa khỏi hội chứng loạn sản ngoại bì. Tuy nhiên, các triệu chứng của bệnh có thể được khắc phục bằng cách phối hợp kiểm soát và điều trị của nhiều bác sĩ chuyên khoa: bác sĩ da liễu, bác sĩ nha khoa, bác sĩ tâm lý.
Ở nha khoa Như Ngọc, chúng tôi đang phối hợp điều trị và theo dõi cho bệnh nhân nhân loạn sản ngoại bì.
Đối với điều trị răng cho các bé từ giai đoạn ban đầu hàm giả tháo lắp giúp phục hồi chức năng ăn nhai cũng như phát âm, giao tiếp cho trẻ 1 cách tốt nhất.
 
  
  
 
Làm hàm giả tháo lắp cho trẻ.
Nhờ hàm giả mới này, khuôn mặt của trẻ thay đổi về ăn nhai cũng như mặt thẫm mỹ.
Kết hợp giữa chỉnh nha và phục hình implant: để sắp đều răng và phục hình các răng thiếu trên cung hàm.
 
 
Để dự phòng bệnh này, nếu trong gia đình có người bị loạn sản ngoại bì thì trước khi có thai nên đi tư vấn di truyền.
Với các bệnh lý di truyền phát hiện và điều trị sớm cho bệnh nhân, giúp bệnh nhân ăn nhai tốt hơn, trẻ tự tin trong giao tiếp và vui sống trong xã hội.
BS Thúy Nga
 
					 
																		 
																		 
									 
																		 
																		




 
    