Trong quá trình niềng răng, nguy cơ sâu răng có xu hướng tăng cao do mắc cài và dây cung khiến việc vệ sinh răng miệng trở nên khó khăn hơn. Vậy làm thế nào để kiểm soát và phòng tránh sâu răng khi đang niềng? Bài viết dưới đây sẽ giúp bạn hiểu rõ nguyên nhân và cách bảo vệ men răng hiệu quả trong suốt quá trình chỉnh nha.
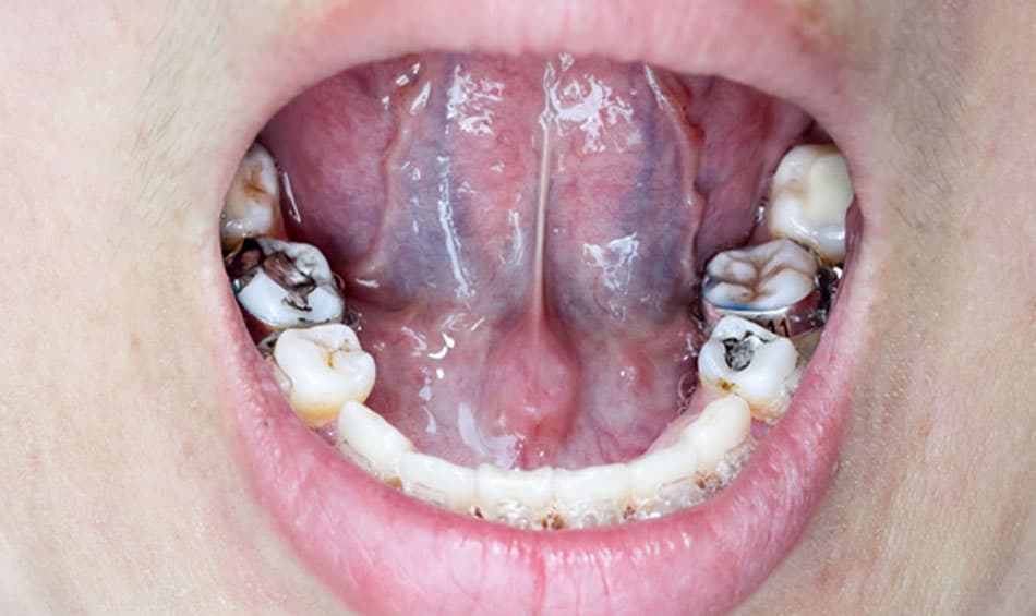
Sâu răng khi niềng răng (Ảnh: Internet)
Vì sao người niềng răng dễ bị sâu răng?
Trong quá trình chỉnh nha, nguy cơ sâu răng tăng lên do:
-
Mắc cài tạo nhiều “góc khuất” cho mảng bám và vi khuẩn.
-
Vệ sinh răng miệng khó hơn so với bình thường.
-
Môi trường miệng dễ bị acid hóa nếu ăn uống không kiểm soát.
-
Men răng suy yếu nếu không được tái khoáng kịp thời.
Nếu không theo dõi sát, những tổn thương men răng nhỏ có thể tiến triển thành sâu răng thực sự.
Kiểm soát sâu răng xuyên suốt quá trình niềng tại Nha khoa Như Ngọc
Tại Nha khoa Như Ngọc, sức khỏe răng miệng của khách hàng luôn được kiểm soát chặt chẽ trước – trong – sau quá trình niềng răng.
Tầm soát kỹ lưỡng trước khi niềng
Trước khi gắn mắc cài, bác sĩ sẽ:
-
Kiểm tra toàn diện răng và nướu.
-
Điều trị triệt để sâu răng, viêm nướu, nha chu nếu có.
-
Đảm bảo răng đạt trạng thái khỏe mạnh trước khi bước vào chỉnh nha.
Theo dõi định kỳ trong suốt quá trình niềng
Trong các buổi tái khám, bác sĩ:
-
Kiểm tra tình trạng men răng quanh mắc cài.
-
Phát hiện sớm các dấu hiệu mất khoáng hoặc tổn thương men.
-
Chủ động kiểm soát nguy cơ sâu răng ngay từ giai đoạn đầu.
Ưu tiên bảo tồn men răng tự nhiên
Khi phát hiện đốm đen hoặc tổn thương men nhẹ chưa tạo lỗ sâu, bác sĩ sẽ:
-
Theo dõi và kiểm soát trong quá trình niềng.
-
Không trám răng vội vàng nếu chưa thật sự cần thiết.
Bởi mô răng thật luôn tốt hơn bất kỳ vật liệu trám nào. Việc trám răng đồng nghĩa với lấy đi một phần mô răng, vì vậy bảo tồn men răng tự nhiên luôn là ưu tiên hàng đầu tại Như Ngọc.
Niềng răng an toàn là niềng răng có kiểm soát
Hoàn thành hành trình niềng răng không chỉ cần răng đều, đẹp mà còn cần:
-
Men răng khỏe mạnh.
-
Không sâu răng phát sinh.
-
Nền răng vững chắc cho nụ cười lâu dài.
Với quy trình chỉnh nha chuẩn y khoa và triết lý điều trị bảo tồn, Nha khoa Như Ngọc giúp bạn đạt được cả hai yếu tố: thẩm mỹ và sức khỏe răng miệng bền vững.
👉 Inbox ngay để tìm hiểu quy trình niềng răng an toàn, được theo dõi sát sao và bảo vệ men răng tối đa tại Nha khoa Như Ngọc.
Nha khoa Như Ngọc



