1. HÀM GIỮ KHOẢNG LÀ GÌ?
Hàm giữ khoảng là một khí cụ có thể tháo lắp hoặc cố định vào cung răng nhằm mục đích giữ khoảng cần thiết cho răng vĩnh viễn mọc

2. TẠI SAO TRẺ CẦN CẦN CÓ HÀM GIỮ KHOẢNG KHI RĂNG SỮA MẤT SỚM
Răng sữa của trẻ ngoài đảm bảo chức năng ăn nhai, còn đóng vai trò trong phát âm, giữ khoảng cho răng vĩnh viễn mọc và kích thích sự phát triển xương hàm nhờ chuyển động nhai.
Trong một số trường hợp như chấn thương, tủy hoại tử và biến chứng nha chu,… khiến trẻ mấtmát răng sữa sớm. Khi đó các răng bên cạnh có thể nghiêng, di chuyển hoặc mọc vào vị trí mất răng.

Hàm giữ khoảng sẽ giúp “giữ” cho khoảng trống vùng mất răng ổn định, ngăn các răng bên cạnh nghiêng hoặc di chuyển vào vị trí răng bị mất, giúp giữ đủ chỗ cho răng vĩnh viễn tương ứng mọc lên.

3. CÁC LOẠI HÀM GIỮ KHOẢNG TẠI NHA KHOA NHƯ NGỌC
Hàm giữ khoảng Distal Shoe khi mất răng 5 sữa sớm, răng 6 vĩnh viễn chưa mọc

Hàm giữ khoảng Distal Shoe
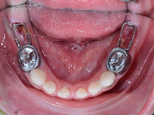
Hàm giữ khoảng khi mất răng 5 sữa, răng 6 đã mọc

Hàm giữ khoảng khi mất răng 5 sữa, răng 6 đã mọc
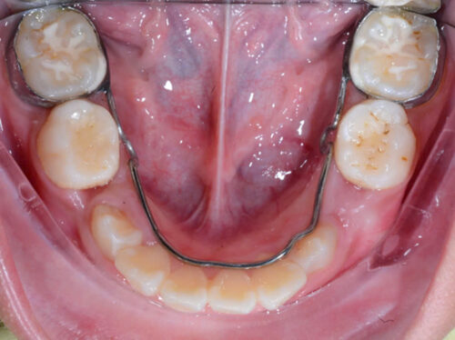
Cung lưỡi giữ khoảng khi mất răng 2 bên

Cung lưỡi giữ khoảng khi mất răng 2 bên


