Trước đây, đối với răng hàm lớn đã điều trị tuỷ và mất thành bên do sâu, sẽ có chỉ định phục hình cắm chốt và làm chụp sứ. Như vậy có thể làm yếu chân răng và thân răng, làm tăng tỷ lệ gãy vỡ răng trong quá trình ăn nhai, có thể dẫn đến việc phải nhổ răng.

Endocrown là một giải pháp phù hợp để thay thế cho việc cắm chốt và làm chụp trên những răng mất nhiều tổ chức cứng.
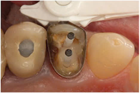
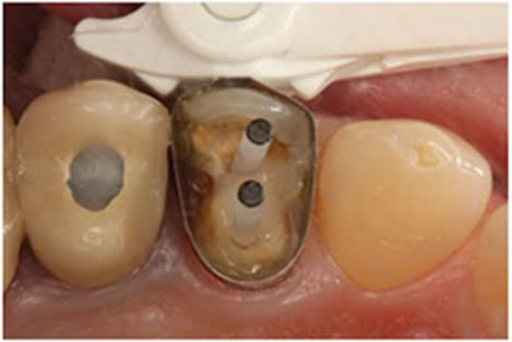
Hình 2:
I. ƯU ĐIỂM CỦA ENDOCROWN
- Tiết kiệm thời gian: giảm bớt được thời gian cắm chốt và đắp chất hàn trên bề mặt răng, giảm thời gian tạo hình cùi răng
- Tiết kiệm tổ chức cứng của răng tối đa: Chỉ lấy các phần men ngà bị tổn thương, hạ thấp mặt nhai của răng, không cần mài mặt ngoài của răng, tận dụng buồng tuỷ để lưu giữ, không cần cắm chốt sâu trong chân răng, làm suy yếu thành chân răng.
- Tính ổn định cao: Endocrown được làm từ vật liệu sứ như Lithium disilicate, Zirconia,… giúp tăng cường tính ổn định và bền vững của răng do đó có thể sử dụng trong một thời gian dài.
- Tính thẩm mỹ:
– Endocrown được thiết kế sao cho phù hợp với hình dáng và màu sắc của răng và được sản xuất với chất liệu sứ màu trắng tự nhiên, giúp tạo ra hiệu ứng thẩm mỹ cao.
– Endocrown là một phương pháp phục hình răng có tính bảo tồn cao, thay thế cho việc cắm chốt và chụp sứ truyền thống, độ bền cao do ứng dụng được sự tiến bộ của các vật liệu dán dính. Nó được xem là một sự lựa chọn phù hợp nhất cho răng hàm lớn đã điều trị tuỷ và mất nhiều thành răng.
II. QUY TRÌNH PHỤC HÌNH RĂNG BẰNG ENDOCROWN
1. Sửa soạn endocrown
2. Lấy dấu, đổ/in mẫu
3. Chế tác endocrown
4. Thử và lắp endocrown
Sau khi endocrown được hoàn thành, bác sĩ sẽ dán nó vào răng của bạn bằng vật liệu dán dính chuyên biệt.
CASE LÂM SÀNG:
Bệnh nhân nữ 23 tuổi, đến phòng khám vì đau nhức răng hàm trên (P). BN được chẩn đoán hoại tử tuỷ R16 và được chỉ định điều trị tuỷ. Sau điều trị, BN hết triệu chứng, được chỉ định phục hình Endocrown thay vì làm chốt thạch anh và chụp sứ.

III. KẾT LUẬN
Endocrown là một giải pháp phục hình răng hiệu quả và tiên tiến. Nó có nhiều ưu điểm so với các phương pháp khác và được sử dụng để giải quyết các vấn đề về răng như mòn, sâu răng hoặc tổn thương nặng.






