PHỤC HỒI THẨM MỸ VÀ CHỨC NĂNG
Nha khoa Như Ngọc cung cấp dịch vụ phục hình giúp phục hồi về hình thể và chức năng răng đã mất, răng có vấn đề, từ đó nâng cao chất lượng cuộc sống cho khách hàng. Chúng tôi điều trị hiệu quả các tình trạng răng miệng như: gãy, sứt mẻ, sâu răng, viêm tủy, mòn men, các khuyết điểm thẩm mỹ như răng thưa, lệch lạc nhẹ, hô – móm nhẹ, cũng như phục hồi toàn diện trong các trường hợp mất răng từ một răng đơn lẻ đến toàn hàm. Với việc ứng dụng công nghệ hiện đại cùng vật liệu sứ cao cấp, mỗi phục hình đều đạt độ chính xác cao, bền chắc và thẩm mỹ tự nhiên, mang lại cảm giác ăn nhai thoải mái và sự tự tin trọn vẹn trong giao tiếp hằng ngày.
Lợi Ích Nổi Bật
Phục hình thẩm mỹ & chức năng giúp khôi phục hình thể, màu sắc và khả năng ăn nhai của răng đã tổn thương hoặc mất, mang lại nụ cười tự nhiên và sự tự tin trọn vẹn cho khách hàng.
Khôi phục chức năng ăn nhai tự nhiên
Đảm bảo lực nhai cân bằng, tái tạo cảm giác ăn uống thoải mái như răng thật.
Cải thiện thẩm mỹ nụ cười
Phục hình sứ tinh xảo giúp nụ cười rạng rỡ, hàm răng trắng sáng và khuôn mặt hài hòa.
Bảo vệ răng thật kế cận
Giúp phân bổ lực nhai hợp lý, hạn chế tổn thương và dịch chuyển răng bên cạnh.
Ngăn ngừa tiêu xương hàm
Duy trì cấu trúc xương ổ răng, tránh biến dạng khuôn mặt sau mất răng.
Độ bền cao, tuổi thọ lâu dài
Vật liệu sứ cao cấp kết hợp kỹ thuật chính xác giúp phục hình bền chắc, ổn định theo thời gian.
Tăng tự tin và chất lượng sống
Khôi phục thẩm mỹ và chức năng toàn diện, giúp khách hàng tự tin giao tiếp, ăn nhai và cười nói tự nhiên.
Quy Trình Làm Việc Chuyên Nghiệp
Từng bước được chuẩn hóa rõ ràng, đảm bảo hiệu quả điều trị tối ưu và trải nghiệm thoải mái cho khách hàng
Thăm khám & tư vấn
Bác sĩ kiểm tra tình trạng răng – nướu – khớp cắn, chụp phim X-quang hoặc scan 3D để đánh giá chính xác mức độ tổn thương.
Lên kế hoạch điều trị cá nhân hóa
Phân tích nhu cầu thẩm mỹ và chức năng, lựa chọn phương pháp phục hình phù hợp (mão, cầu, veneer, inlay/onlay, phục hình trên Implant…).
Chuẩn bị răng và lấy dấu kỹ thuật số
Tiến hành mài chỉnh răng (nếu cần), lấy dấu bằng máy scan trong miệng để đảm bảo độ chính xác tuyệt đối.
Thiết kế và chế tác phục hình
Mẫu răng được thiết kế theo hình thể và màu sắc riêng biệt, chế tác bằng công nghệ CAD/CAM từ vật liệu sứ cao cấp.
Gắn thử và điều chỉnh khớp cắn
Bác sĩ kiểm tra độ khít sát, điều chỉnh khớp cắn và màu sắc để đạt thẩm mỹ – chức năng tối ưu.
Gắn cố định và hướng dẫn chăm sóc
Cố định phục hình bằng vật liệu chuyên dụng, hướng dẫn khách hàng vệ sinh – bảo dưỡng đúng cách để duy trì độ bền và vẻ đẹp lâu dài.
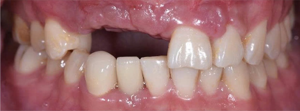
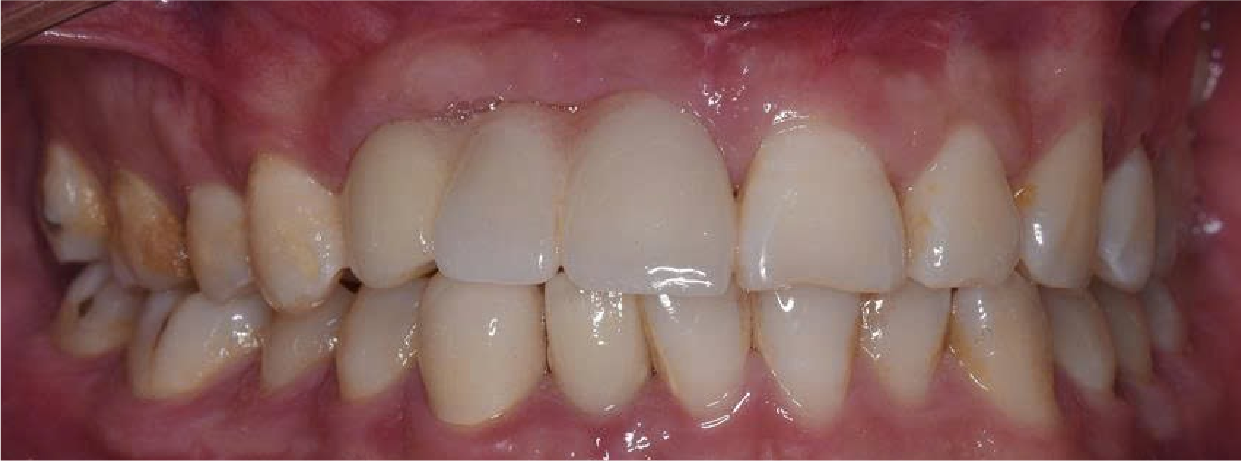
Hình Ảnh Trước & Sau Điều Trị
Minh chứng rõ ràng cho chất lượng và hiệu quả tại Nha khoa Như Ngọc – nơi mỗi khách hàng đều tìm lại được nụ cười tự tin sau quá trình điều trị và thẩm mỹ răng
Đăng Ký Tư Vấn & Kiểm Tra Sức Khỏe Răng Miệng Ngay Hôm Nay
Tư vấn cá nhân hoá và lịch khám linh hoạt, mang đến trải nghiệm chăm sóc răng miệng toàn diện.
1900 636 800
cskhnhakhoanhungoc@gmail.com
Số 21A Trần Quang Diệu - P. Đống Đa - Hà Nội


