PHẪU THUẬT MIỆNG
Phẫu thuật miệng là chuyên khoa sâu trong nha khoa, bao gồm các thủ thuật điều trị và can thiệp vùng miệng – hàm – mặt nhằm loại bỏ tổn thương, phục hồi cấu trúc và chức năng răng hàm mặt.
Tại Nha khoa Như Ngọc, mọi ca phẫu thuật được thực hiện trong môi trường vô trùng tuyệt đối, tuân thủ nghiêm ngặt quy trình kiểm soát nhiễm khuẩn chuẩn Bộ Y tế.
-
Thực hiện các phẫu thuật như: nhổ răng khôn mọc lệch/ngầm, cắt u nang xương hàm, tạo hình lợi, cắt phanh môi/lưỡi, phẫu thuật nha chu, áp xe răng…
-
Ứng dụng công nghệ siêu âm và laser nha khoa, giúp can thiệp nhẹ nhàng, giảm đau, hạn chế chảy máu và rút ngắn thời gian lành thương.
-
Phòng phẫu thuật vô khuẩn khép kín, trang bị đầy đủ hệ thống hút khí và khử khuẩn tiêu chuẩn quốc tế.
-
Đội ngũ bác sĩ phẫu thuật giàu kinh nghiệm, xử lý thành công nhiều trường hợp phức tạp, đảm bảo an toàn tối đa và giảm thiểu biến chứng sau mổ.
Lợi Ích Nổi Bật
Khám phá những giá trị vượt trội từ các giải pháp phẫu thuật miệng hiện đại, giúp điều trị hiệu quả, phục hồi chức năng và nâng cao thẩm mỹ răng hàm mặt toàn diện.
Loại bỏ tổn thương triệt để
Điều trị dứt điểm các tổn thương như u nang, răng ngầm và răng khôn mọc lệch, loại bỏ nguồn nhiễm khuẩn.
Khôi phục cấu trúc hàm mặt
Phẫu thuật tái tạo và điều chỉnh mô cứng, mô mềm để phục hồi chức năng ăn nhai và thẩm mỹ khuôn mặt.
Giảm đau và rút ngắn thời gian hồi phục
Ứng dụng công nghệ siêu âm và laser giúp can thiệp ít xâm lấn, giảm sưng đau và thúc đẩy lành thương nhanh hơn.
Đảm bảo vô khuẩn và an toàn phẫu thuật
Thực hiện trong phòng mổ vô khuẩn khép kín, tuân thủ quy trình kiểm soát nhiễm khuẩn chuẩn y tế.
Xử lý các ca phẫu thuật phức tạp
Thực hiện nâng xoang, ghép xương, tạo hình nướu và các thủ thuật tái tạo phức tạp một cách an toàn.
Bảo đảm bởi đội ngũ phẫu thuật chuyên khoa
Thao tác do bác sĩ chuyên sâu thực hiện, giảm nguy cơ biến chứng và tối ưu kết quả lâm sàng.
Quy Trình Làm Việc Chuyên Nghiệp
Từng bước được chuẩn hóa rõ ràng, đảm bảo hiệu quả điều trị tối ưu và trải nghiệm thoải mái cho khách hàng
Thăm khám & tư vấn
Bác sĩ kiểm tra tổng quát khoang miệng, chụp phim X-quang hoặc CT 3D để xác định vị trí, mức độ tổn thương và lập kế hoạch điều trị.
Lập phác đồ điều trị
Phân tích cấu trúc xương, mô mềm và tình trạng răng; lựa chọn kỹ thuật phẫu thuật phù hợp với từng trường hợp lâm sàng.
Chuẩn bị và tư vấn trước phẫu thuật
Giải thích quy trình, hướng dẫn chăm sóc trước – sau điều trị, đảm bảo bệnh nhân hiểu rõ và sẵn sàng tâm lý.
Thực hiện phẫu thuật miệng
Tiến hành các kỹ thuật điều trị theo kế hoạch: nhổ răng ngầm, cắt u nang, tạo hình nướu, ghép xương, nâng xoang…
Theo dõi và hướng dẫn hậu phẫu
Bác sĩ kiểm tra tình trạng lành thương, kê đơn thuốc và hướng dẫn chăm sóc tại nhà.
Tái khám và đánh giá kết quả
Định kỳ kiểm tra mô mềm và xương vùng phẫu thuật, đảm bảo phục hồi ổn định và ngăn ngừa biến chứng.
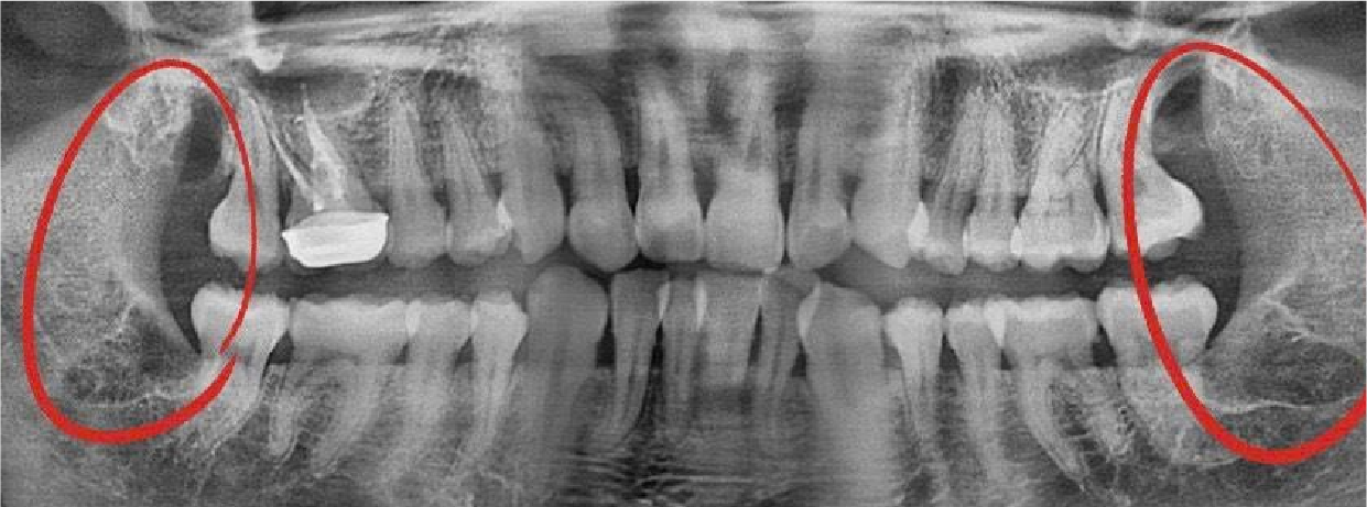
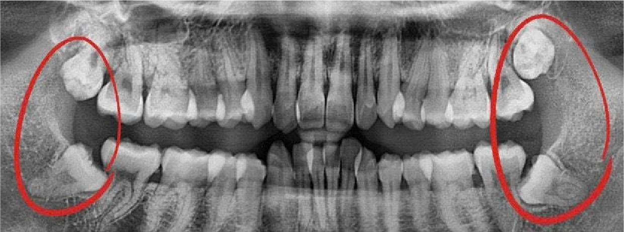
Hình Ảnh Trước & Sau Điều Trị
Minh chứng rõ ràng cho chất lượng và hiệu quả tại Nha khoa Như Ngọc – nơi mỗi khách hàng đều tìm lại được nụ cười tự tin sau quá trình điều trị và thẩm mỹ răng
Đăng Ký Tư Vấn & Kiểm Tra Sức Khỏe Răng Miệng Ngay Hôm Nay
Tư vấn cá nhân hoá và lịch khám linh hoạt, mang đến trải nghiệm chăm sóc răng miệng toàn diện.
1900 636 800
cskhnhakhoanhungoc@gmail.com
Số 21A Trần Quang Diệu - P. Đống Đa - Hà Nội


