NẮN CHỈNH RĂNG CÔNG NGHỆ CAO
- Giải quyết các vấn đề lệch lạc răng, sai khớp cắn, răng thưa, răng chen chúc,… Cải thiện khớp cắn, sắp xếp răng đều đẹp, hài hòa với khuôn mặt.
- Ứng dụng các kỹ thuật chỉnh nha tiên tiến như mắc cài kim loại, mắc cài sứ, niềng răng bằng khay trong suốt.
- Sử dụng công nghệ 3D, phần mềm mô phỏng giúp lập kế hoạch điều trị chính xác từng giai đoạn. Theo dõi sát tiến trình điều trị, điều chỉnh kịp thời để đảm bảo hiệu quả và hạn chế đau, khó chịu.
- Phù hợp cho cả trẻ em và người lớn, mang lại nụ cười tự nhiên và bền vững.
Lợi Ích Nổi Bật
Khám phá những giá trị vượt trội giúp khách hàng tin tưởng lựa chọn dịch vụ nắn chỉnh răng công nghệ cao của chúng tôi
Tiết kiệm thời gian điều trị
Nhờ hệ thống chỉnh nha tự động và kế hoạch tối ưu, thời gian có thể rút ngắn 20–30% so với phương pháp truyền thống
Thẩm mỹ vượt trội
Sử dụng mắc cài sứ, mắc cài tự buộc hoặc khay trong suốt gần như vô hình
An toàn & theo dõi sát sao
Bác sĩ cập nhật tiến độ định kỳ, đảm bảo răng di chuyển đúng lộ trình
Thoải mái & ít đau
Lực kéo nhẹ nhàng, giảm tối đa cảm giác ê buốt
Phù hợp với mọi lứa tuổi
Giải pháp linh hoạt cho trẻ em, thanh thiếu niên và người lớn
Dự đoán chính xác kết quả
Công nghệ quét 3D và phần mềm mô phỏng cho phép xem trước lộ trình dịch chuyển của răng
Quy Trình Làm Việc Chuyên Nghiệp
Từng bước được chuẩn hóa rõ ràng, đảm bảo hiệu quả điều trị tối ưu và trải nghiệm thoải mái cho khách hàng
Thăm khám & tư vấn
-
Chụp phim X-quang toàn hàm, chụp ảnh trong – ngoài miệng và quét dấu hàm 3D.
-
Phân tích khớp cắn, cấu trúc xương hàm và tình trạng răng để xác định nguyên nhân lệch lạc.
-
Tư vấn phác đồ điều trị cá nhân hóa phù hợp với tình trạng và mong muốn của khách hàng.
Lập phác đồ điều trị
-
Bác sĩ sử dụng phần mềm mô phỏng 3D để dự đoán quá trình dịch chuyển răng và thời gian điều trị.
-
Lên phác đồ chi tiết từng giai đoạn, đảm bảo tính chính xác và hiệu quả tối ưu.
Lựa chọn khí cụ chỉnh nha
-
Khách hàng lựa chọn loại khí cụ phù hợp: mắc cài kim loại, mắc cài sứ, mắc cài tự buộc hoặc niềng răng trong suốt.
-
Bác sĩ điều chỉnh kế hoạch dựa trên loại khí cụ được chọn để đảm bảo tính thẩm mỹ và hiệu quả.
Gắn khí cụ & bắt đầu chỉnh nha
-
Gắn mắc cài hoặc khay niềng, bắt đầu giai đoạn di chuyển răng.
-
Hướng dẫn khách hàng chăm sóc răng miệng và vệ sinh khí cụ đúng cách trong suốt quá trình điều trị.
Theo dõi & điều chỉnh định kỳ
-
Tái khám mỗi 4–6 tuần để bác sĩ theo dõi tiến độ dịch chuyển răng.
-
Điều chỉnh lực kéo, thay khay niềng hoặc siết mắc cài theo đúng lộ trình mô phỏng.
-
Đảm bảo an toàn, giảm ê buốt và tối ưu kết quả.
Kết thúc điều trị & duy trì
-
Tháo khí cụ chỉnh nha, đánh giá kết quả và vệ sinh.
-
Đeo hàm duy trì (retainer) để giữ răng ổn định lâu dài.
-
Hẹn lịch tái khám định kỳ nhằm đảm bảo kết quả bền vững và thẩm mỹ.
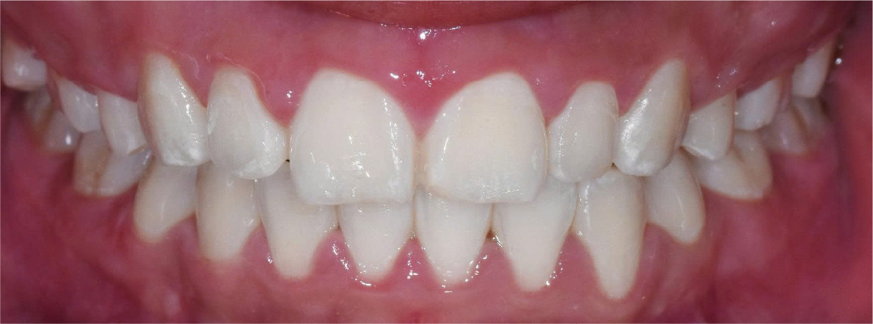
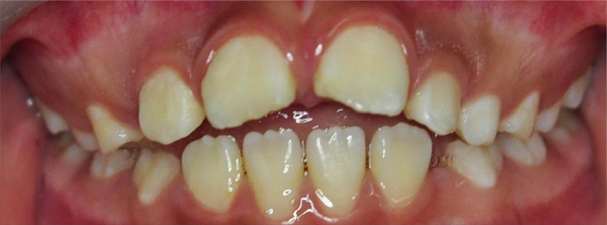
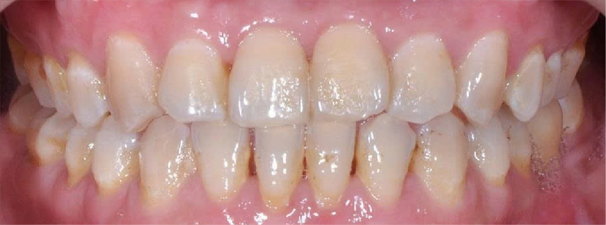
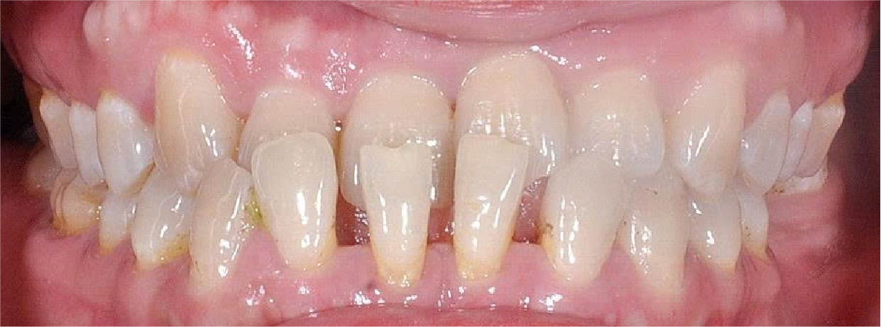
Hình Ảnh Trước & Sau Điều Trị
Minh chứng rõ ràng cho chất lượng và hiệu quả tại Nha khoa Như Ngọc – nơi mỗi khách hàng đều tìm lại được nụ cười tự tin sau quá trình điều trị và thẩm mỹ răng
Đăng Ký Tư Vấn & Kiểm Tra Sức Khỏe Răng Miệng Ngay Hôm Nay
Tư vấn cá nhân hoá và lịch khám linh hoạt, mang đến trải nghiệm chăm sóc răng miệng toàn diện.
1900 636 800
cskhnhakhoanhungoc@gmail.com
Số 21A Trần Quang Diệu - P. Đống Đa - Hà Nội


