ĐIỀU TRỊ NỘI NHA – BẢO TỒN (CÓ KÍNH HIỂN VI)
Điều trị nội nha là quy trình làm sạch, vô khuẩn và trám bít hệ thống tủy răng khi răng bị viêm tủy, hoại tử tủy do sâu răng, chấn thương hoặc điều trị sai lệch trước đó.
Tại Nha khoa Như Ngọc, chúng tôi ứng dụng kính hiển vi phẫu thuật trong điều trị nội nha giúp quan sát chi tiết ống tủy, phát hiện ống tủy phụ và tăng độ chính xác trong thao tác.
Các thiết bị hỗ trợ hiện đại giúp nâng cao hiệu quả điều trị, giảm biến chứng và giữ lại răng thật lâu dài.
Lợi Ích Nổi Bật
Khám phá những giá trị vượt trội giúp khách hàng tin tưởng lựa chọn dịch vụ nắn chỉnh răng công nghệ cao của chúng tôi
iữ lại răng thật tối đa
Điều trị chính xác và nhẹ nhàng, giúp bảo tồn răng thật, tránh phải nhổ bỏ không cần thiết.
Hiệu quả điều trị cao, giảm tái phát
Làm sạch và vô khuẩn toàn bộ hệ thống ống tủy, ngăn ngừa viêm nhiễm trở lại.
Quan sát chi tiết – điều trị chính xác
Ứng dụng kính hiển vi nha khoa giúp phát hiện cả ống tủy phụ nhỏ, tối ưu kết quả điều trị.
Giảm đau và biến chứng sau điều trị
Quy trình chuẩn xác, thiết bị hiện đại giúp thao tác nhẹ nhàng, an toàn và ít khó chịu.
Phục hồi chức năng ăn nhai tự nhiên
Sau điều trị, răng được bảo tồn cấu trúc và phục hồi thẩm mỹ – chức năng như răng thật.
Công nghệ hiện đại – Bác sĩ chuyên sâu
Đội ngũ bác sĩ có chuyên môn cao cùng trang thiết bị tiên tiến mang lại trải nghiệm điều trị an toàn, tin cậy và bền vững.
Quy Trình Làm Việc Chuyên Nghiệp
Từng bước được chuẩn hóa rõ ràng, đảm bảo hiệu quả điều trị tối ưu và trải nghiệm thoải mái cho khách hàng
Tiếp đón & Kiểm tra ban đầu
Lễ tân đón tiếp, ghi nhận thông tin sức khỏe và tình trạng răng miệng hiện tại của khách hàng.
Thăm khám – Chẩn đoán chuyên sâu
Bác sĩ chuyên khoa tiến hành khám lâm sàng, chụp X-quang kỹ thuật số, xác định nguyên nhân đau hoặc viêm tủy.
Tư vấn & Lập kế hoạch điều trị cá nhân hóa
Giải thích rõ tình trạng răng, hướng điều trị, chi phí và thời gian thực hiện – đảm bảo khách hàng hiểu và yên tâm.
Điều trị nội nha dưới kính hiển vi
Gây tê nhẹ nhàng, cách ly vô khuẩn, làm sạch – tạo hình – trám bít kín ống tủy bằng công nghệ hiện đại, giúp bảo tồn răng thật tối đa.
Phục hồi thẩm mỹ – chức năng răng
Răng sau điều trị được trám thẩm mỹ hoặc bọc sứ, đảm bảo bền chắc, tự nhiên và ăn nhai thoải mái.
Tái khám & Chăm sóc sau điều trị
Bác sĩ hẹn lịch kiểm tra định kỳ để đánh giá hiệu quả, hướng dẫn chăm sóc răng miệng, giúp duy trì răng khỏe lâu dài
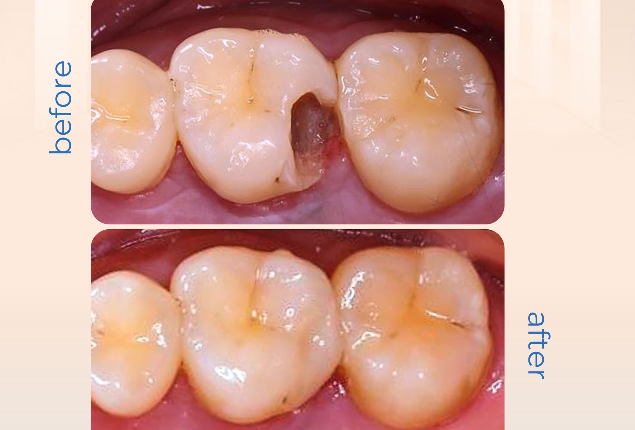
Hình Ảnh Trước & Sau Điều Trị
Minh chứng rõ ràng cho chất lượng và hiệu quả tại Nha khoa Như Ngọc – nơi mỗi khách hàng đều tìm lại được nụ cười tự tin sau quá trình điều trị và thẩm mỹ răng
Đăng Ký Tư Vấn & Kiểm Tra Sức Khỏe Răng Miệng Ngay Hôm Nay
Tư vấn cá nhân hoá và lịch khám linh hoạt, mang đến trải nghiệm chăm sóc răng miệng toàn diện.
1900 636 800
cskhnhakhoanhungoc@gmail.com
Số 21A Trần Quang Diệu - P. Đống Đa - Hà Nội


