ĐIỀU TRỊ BẢO TỒN
Điều trị bảo tồn là hướng tiếp cận nha khoa hiện đại nhằm giữ lại tối đa mô răng thật, can thiệp nhẹ nhàng và giảm thiểu đau đớn cho bệnh nhân. Tại Nha khoa Như Ngọc, các kỹ thuật được áp dụng bao gồm: trám răng bằng vật liệu composite nano thẩm mỹ, phục hồi tổn thương men răng sớm bằng phương pháp xâm nhập nhựa (ICON), giúp bảo tồn răng tối đa và phục hồi chức năng tự nhiên, bền vững.
Lợi Ích Nổi Bật
Khám phá những giá trị vượt trội giúp khách hàng tin tưởng lựa chọn dịch vụ nắn chỉnh răng công nghệ cao của chúng tôi
Giữ nguyên cấu trúc răng thật
Bảo tồn tối đa mô răng tự nhiên, hạn chế mài răng và tránh can thiệp xâm lấn không cần thiết.
Phục hồi chức năng ăn nhai tự nhiên
Giúp răng duy trì khả năng chịu lực và cảm giác nhai như răng thật.
Thẩm mỹ cao, tự nhiên như thật
Ứng dụng vật liệu composite nano và công nghệ phục hình tiên tiến, cho hiệu quả thẩm mỹ tinh tế, đồng nhất với màu răng.
Giảm đau và hạn chế biến chứng
Kỹ thuật điều trị nhẹ nhàng, đảm bảo an toàn mô tủy, giảm tối đa cảm giác ê buốt hay đau sau điều trị.
Ngăn ngừa tiến triển bệnh lý răng miệng
Phát hiện sớm và can thiệp kịp thời giúp tránh sâu răng lan rộng, viêm tủy hay mất răng sớm.
Duy trì kết quả bền vững lâu dài
Phục hồi men răng và cấu trúc răng khỏe mạnh, đảm bảo hiệu quả ổn định và tuổi thọ răng cao.
Quy Trình Làm Việc Chuyên Nghiệp
Từng bước được chuẩn hóa rõ ràng, đảm bảo hiệu quả điều trị tối ưu và trải nghiệm thoải mái cho khách hàng
Thăm khám và chẩn đoán lâm sàng
Bác sĩ kiểm tra toàn diện răng – nướu, ghi nhận triệu chứng và tiền sử bệnh lý để xác định mức độ tổn thương.
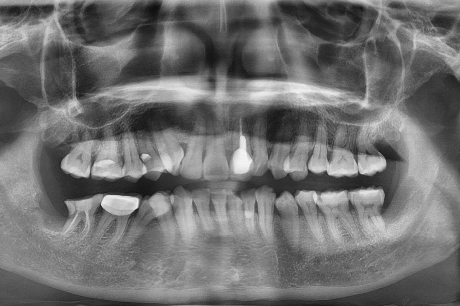
Chụp phim X-quang kỹ thuật số
Phân tích cấu trúc răng, tủy và xương quanh răng bằng công nghệ X-quang 3D, giúp đánh giá chính xác vùng tổn thương cần điều trị.
Lập kế hoạch điều trị cá nhân hóa
Dựa trên kết quả chẩn đoán, bác sĩ xây dựng phác đồ phù hợp từng răng, ưu tiên bảo tồn mô răng thật và phòng ngừa tái phát.
Vô cảm và xử lý vùng tổn thương
Tiến hành gây tê nhẹ nhàng, loại bỏ mô sâu hoặc men răng tổn thương bằng kỹ thuật xâm lấn tối thiểu, đảm bảo an toàn cho tủy răng.
Phục hồi và tạo hình răng
Ứng dụng vật liệu composite nano hoặc công nghệ thẩm thấu nhựa (ICON) để tái tạo cấu trúc răng, phục hồi thẩm mỹ và chức năng ăn nhai tự nhiên.
Kiểm tra – hướng dẫn chăm sóc sau điều trị
Bác sĩ đánh giá độ kín khít và chức năng khớp cắn, hướng dẫn vệ sinh, tái khám định kỳ để duy trì kết quả lâu dài.
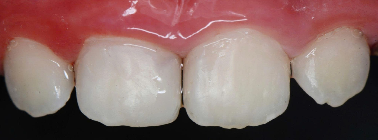
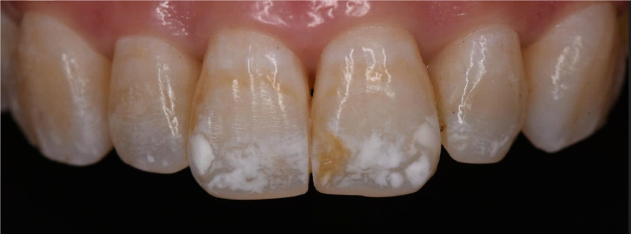
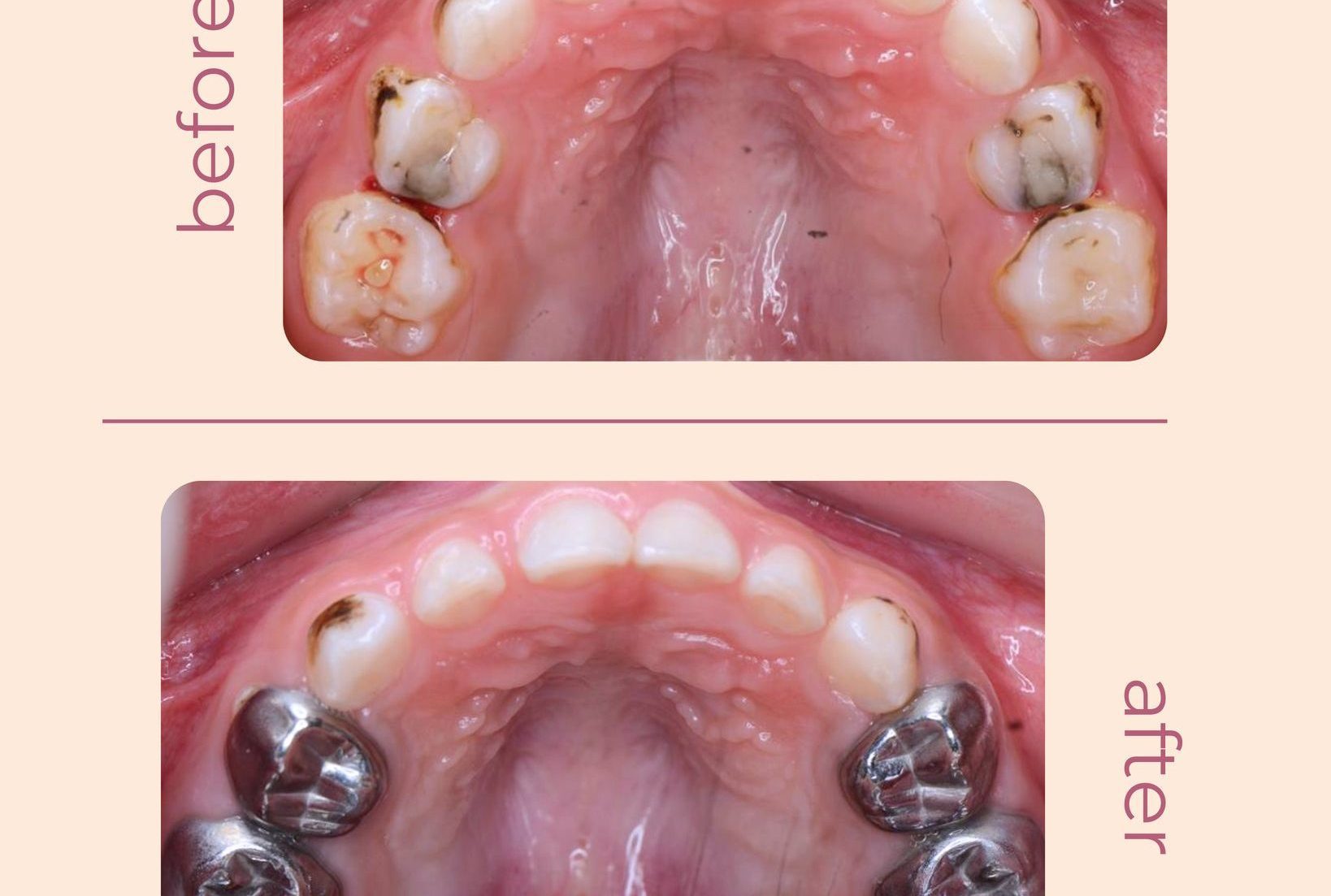
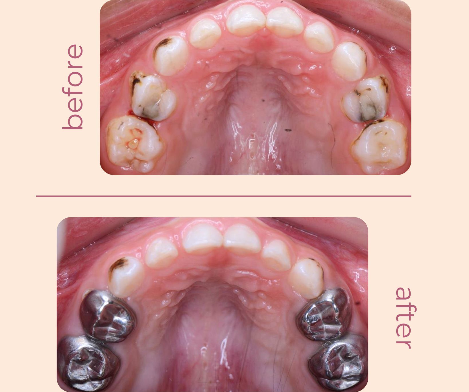
Hình Ảnh Trước & Sau Điều Trị
Minh chứng rõ ràng cho chất lượng và hiệu quả tại Nha khoa Như Ngọc – nơi mỗi khách hàng đều tìm lại được nụ cười tự tin sau quá trình điều trị và thẩm mỹ răng
Đăng Ký Tư Vấn & Kiểm Tra Sức Khỏe Răng Miệng Ngay Hôm Nay
Tư vấn cá nhân hoá và lịch khám linh hoạt, mang đến trải nghiệm chăm sóc răng miệng toàn diện.
1900 636 800
cskhnhakhoanhungoc@gmail.com
Số 21A Trần Quang Diệu - P. Đống Đa - Hà Nội


