Khay chỉnh nha trong suốt được bác sĩ và bệnh nhân ưa thích vì sự thuận tiện, thoải mái và mang lại lợi ích cho việc duy trì sức khỏe nha chu. Trong các nghiên cứu điều trị nắn chỉnh răng cho bệnh nhân có bệnh lý nha chu bằng khay trong suốt, quan sát cho thấy kết quả điều trị thuận lợi, có sự giảm chỉ số mảng bám, chỉ số lợi, độ sâu thăm khám, và cải thiện chiều cao xuống ổ sau chỉnh nha. Tuy nhiên, ngay cả khi sử dụng khay chỉnh nha, nếu vệ sinh răng miệng kém thì tổn thương sâu răng hoàn toàn có thể xuất hiện. Nghiên cứu do Buschang và cộng sự cho thấy tỉ lệ hình thành tổn thương đốm trắng xuất hiện ở 1,2% bệnh nhân sử dụng khay chỉnh nha và 26% với bệnh nhân sử dụng mắc cài.

Hình 1: Khay chỉnh nha trong suốt
I. SÂU RĂNG GIAI ĐOẠN SỚM – TỔN THƯƠNG ĐỐM TRẮNG
Sâu răng là bệnh lý mô cứng của răng do vi khuẩn, xảy ra khi mất cân bằng giữa quá trình hủy khoáng và tái khoáng. Quá trình hủy khoáng men răng biểu hiện dưới dạng tổn thương đốm trắng (hay còn được gọi là sâu răng giai đoạn sớm) đã được báo cáo là có liên quan đến khí cụ chỉnh nha cố định và vệ sinh răng miệng kém. Những tổn thương này cũng xảy ra ở những bệnh nhân được điều trị bằng các khí cụ tháo lắp như khay nắn chỉnh răng trong suốt nhưng với tỉ lệ thấp hơn. Các tổn thương này có thể tiến triển hình thành các lỗ sâu, thậm chí trở thành bệnh lý tủy khi quá trình hủy khoáng tiếp tục xảy ra.

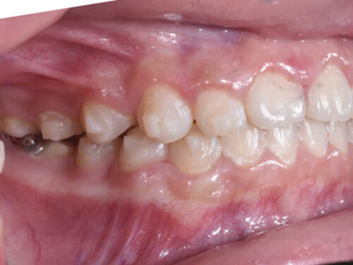
Hình 2: Tổn thương đốm trắng xuất hiện trên mặt ngoài răng 13 và phía gần răng 12

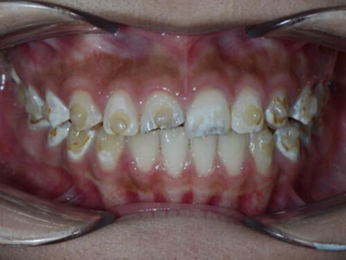
Hình 3: Tổn thương đốm trắng nặng hơn trên nhiều răng, xung quanh attachment
Sự phát triển tổn thương đốm trắng là một quá trình không liên tục, với sự xen kẽ quá trình khoáng hóa và khử khoáng phụ thuộc vào môi trường miệng, bao gồm số lượng mảng bám, sự hình thành và thời gian tồn tại mảng bám trên bề mặt men răng, thói quen vệ sinh răng miệng mỗi cá nhân, việc dự phòng sâu răng và khả năng đề kháng sẵn có.
II. VỆ SINH RĂNG MIỆNG VÀ DỰ PHÒNG SÂU RĂNG
Vệ sinh răng miệng hiệu quả là nguyên tắc chính trong phòng ngừa sâu răng trên bệnh nhân chỉnh nha. Phương pháp cơ học kiểm soát và loại bỏ mảng bám bằng cách sử dụng bàn chải chải các bề mặt của răng, ít nhất 2 lần/ ngày, với kem đánh răng chứa Fluoride cùng chỉ tơ nha khoa, bàn chải kẽ, hoặc tăm nước. Đồng thời, trong các lần tái khám, bác sĩ cần đánh giá và hướng dẫn lại nếu cần thiết.
Rõ ràng, bệnh nhân sử dụng khay chỉnh nha trong suốt có thể làm sạch răng và khay chỉnh nha một cách dễ dàng bất cứ khi nào, từ đó việc kiểm soát mảng bám được thực hiện tốt hơn. Dễ thấy khay chỉnh nha trong suốt tạo thành một môi trường khép kín hoàn toàn trên bề mặt thân răng, và nó trở nên gây hủy khoáng toàn bộ bề mặt răng khi môi trường đó không sạch sẽ.
Nếu coi vệ sinh răng miệng kém đại diện cho nhóm “hủy khoáng” thì việc dự phòng sâu răng hàng ngày với kem đánh răng chuyên dụng, nước súc miệng Fluoride, và định kì 3-6 tháng/ lần với varnish Fluoride được coi là “tái khoáng”. Sử dụng nước súc miệng NaF 5% hàng ngày cho thấy sự giảm đáng kể tổn thương sâu răng xung quanh và bên dưới band. Một số nghiên cứu cho thấy sử dụng varnish Fluoride 6 tuần/ lần cho thấy hiệu quả rõ.

Hình 4: Một số sản phẩm hỗ trợ tái khoáng hoá men răng

Hình 5: Một số sản phẩm hỗ trợ tái khoáng hoá men răng
Vệ sinh răng miệng sạch sẽ và tái khoáng hóa men răng là nguyên tắc để hạn chế xuất hiện tổn thương sâu răng trong quá trình chỉnh nha.
III. SỰ ẢNH HƯỞNG CỦA KHAY CHỈNH NHA LÊN MÔI TRƯỜNG MIỆNG
Hệ vi sinh vật đường miệng góp phần tới sức khỏe tại chỗ và toàn thân của cơ thể người. Bất kì thay đổi đáng kể nào tại chỗ có thể ảnh hưởng tới sự cân bằng và tăng nguy cơ mắc các bệnh răng miệng. Vì vậy, việc duy trì sự ổn định và cân bằng của mảng bám sinh học là rất quan trọng để điều trị chỉnh nha hiệu quả.
Sự thay đổi về thành phần vi sinh trong miệng xảy ra ở mảng bám trên lợi, mảng bám dưới lợi, mảng bám trên khay chỉnh nha và nước bọt.
Những thay đổi của hệ vi sinh vật trên lợi trong quá trình điều trị bằng khay trong suốt
Shokeen và công sự đã nghiên cứu sự thay đổi vi sinh vật từ mảng bám trên lợi của các răng trước, răng sau cũng như mặt trong của khay chỉnh nha. Nghiên cứu không tìm thấy sự khác biệt đáng kể nào trong thành phần cộng đồng vi khuẩn trên răng theo thời gian. Bên cạnh đó, mảng bám được thu thập từ các khay chỉnh nha trong suốt chứa một cộng đồng riêng biệt và kém đa dạng hơn với hàm lượng Steptococcus và Granulicatella cao hơn, vốn trước đây được xác định là vi khuẩn liên quan đến sâu răng bới Peterson và cộng sự. Nghiên cứu được thực hiện bởi Yan và cộng sự cũng phát hiện ra sự giảm lượng vi khuẩn và tăng lượng Steptococcus trong các mẫu mảng bám. Gujar và cộng sự đánh giá mức độ xuất hiện của phức hợp vi khuẩn màu cam và đỏ trong khí cụ chỉnh nha, khí cụ cố định bằng kim loại và khí cụ cố định ở mặt lưỡi sau 1 tháng điều trị. So với 2 khí cụ trên, khay chỉnh nha cho thấy ít vi khuẩn xâm nhập hơn và số lượng phức hợp vi khuẩn cam và đỏ thấp hơn.

Hình 6: Nghiên cứu vi sinh vật ở bệnh nhân đeo khay chỉnh nha trong suốt
Một số tác giả đã phủ các hạt nano kháng khuẩn và Cinnaldehyde lên khay và kiểm tra khả năng ngăn chặn sự phát triển của vi khuẩn và hình thành màng sinh học trên bề mặt phía trong của khay. Nghiên cứu in vitro chỉ ra các thuốc này đã chứng tỏ khả năng ức chế hiệu quả sự phát triển màng sinh học của Steptococcus mutans, Streptococcus mitis và Porphyromonas gingivalis. Tuy nhiên, cần những nghiên cứu sâu hơn để hiểu đầy đủ về tác động của khay được phủ vật liệu kháng khuẩn đối với sức khỏe răng miệng và thành phần hệ vi sinh vật.
Nghiên cứu so sánh tổng lượng vi khuẩn và mầm bệnh nha chu giữa bệnh nhân có khay chỉnh nha trong suốt và bệnh nhân không chỉnh nha, họ phát hiện sự thay đổi về tổng lượng vi khuẩn không có ý nghĩa thống kê và tỉ lệ phức hợp màu đỏ (Porphyromonas gingivalis, Troponema denticola và Tannerella forsynthensys) và phức hợp màu cam (Prevotella intermedia và Fusobacteria nucleatum) không thay đổi đáng kể. Nghiên cứu tổng lượng vi khuẩn của bệnh nhân đeo khay trong suốt không thay đổi đánh kể theo thời gian. Tuy nhiên, Campilobacter ectus (thuộc phức hợp cam) lại tăng lên theo thời gian điều trị. Có một nghiên cứu do Guo và cộng sự thực hiện sử dụng công nghệ giải trình gen 16S rRNA để đánh giá tác động của các khay chỉnh nha trong suốt, cho thấy trong 3 tháng đầu điều trị, sự đa dạng cộng đồng vi khuẩn giảm đi. Tuy nhiên, không có sự thay đổi đáng kể nào tương đối của mầm bệnh nha chu được quan sát.
Những thay đổi của hệ vi sinh vật nước bọt trong quá trình điều trị bằng khay trong suốt
Nước bọt ảnh hưởng đến sự hình thành mảng bám, chúng cũng thấm vào khoảng trống giữa khay và răng, góp phần tích tụ mảng bám trên bề mặt phía trong của khay. Do đó việc suy trì khoang miệng miệng khỏe mạnh trong toàn bộ quá trình điều trị với khay trong suốt đòi hỏi hệ vi sinh vật nước bọt ổn định.
Các nghiên cứu đưa ra sự đa dạng sinh học và cấu trúc cộng đồng vi sinh vật nước bọt không thay đổi trong 6 tháng đầu với khay Invisalign và Streptococcus mutans và Streptococcus sobrinus thay đổi không đáng kể trong thời gian điều trị. Điều này cho thấy, giai đoạn đầu của điều trị với khay trong suốt, hệ vi sinh vật nước bọt có thể giữ được cấu trúc tương đối ổn định và số lượng vi khuẩn gây sâu răng tăng không đáng kể. Tuy nhiên, điều này chưa rõ liệu có duy trì được trong toàn bộ quá trình điều trị với khay chỉnh nha hay không.
Các khay chỉnh nha không hoàn toàn nhẵn và có các rãnh, gờ, vết nứt nhỏ và sự mài mòn thuận lợi cho sự bám dính của vi khuẩn, hình thành mảng bám sinh học. Ngoài ra, Gracco và cộng sự cho thấy sau 14 ngày sử dụng, khay có vết nứt, trầy xước nhỏ, bong tróc và có lợi cho sự bám dính và phát triển của vi khuẩn, cũng như sự lắng đọng màng sinh học bị vôi hóa cục bộ. Mảng bám sinh học tích tụ quanh răng khi đeo khay chỉnh răng, và chúng cũng ức chế quá trình đêm, làm sạch và tái khoáng hóa lợi ích của nước bọt. Sự hình thành mảng bám sinh học không chỉ ảnh hưởng đến màu sắc của khay mà còn làm tăng nguy cơ xuất hiện sâu răng và viêm lợi.
Nhìn chung, sự thay đổi môi trường miệng khi nắn chỉnh răng với khay trong suốt là không đáng kể trong khoảng 6 tháng đầu và chưa phát hiện sự xuất hiện mầm mống gây bệnh nha chu.

Khay chỉnh nha trong suốt có thể tháo lắp, giúp việc vệ sinh răng miệng dễ dàng hơn. Tuy nhiên, cần kiểm soát sự hình thành mảng bám, tránh tạo môi trường kín và bẩn tạo điều kiện thuận lợi cho quá trình hủy khoáng. Cần chú trọng vệ sinh răng miệng đúng cách, vệ sinh khay chỉnh nha sạch sẽ hàng ngày để giữ môi trường trong miệng sạch sẽ, kết hợp tái khoáng hóa men răng tích cực hàng ngày tại nhà và định kì tại phòng khám.


