CHĂM SÓC RĂNG MIỆNG CHO PHỤ NỮ MANG THAI
Trong thời gian mang thai, phụ nữ thường trải qua nhiều biến đổi về sức khỏe răng miệng do sự thay đổi hormone trong cơ thể. Theo Hiệp hội Nha sĩ Mỹ, khoảng 40% phụ nữ mang thai gặp phải các vấn đề như sâu răng, nhiễm trùng lợi, viêm lợi và viêm nha chu. Những vấn đề này có thể ảnh hưởng đến sức khỏe của thai nhi và tăng nguy cơ mắc các bệnh lý răng miệng trong tương lai. Chế độ ăn uống không lành mạnh và thói quen vệ sinh răng miệng không đúng cách có thể dẫn đến những vấn đề nghiêm trọng cho cả mẹ và bé. Vì vậy, chăm sóc răng miệng trong thời kỳ mang thai là rất cần thiết và cần được chú trọng.

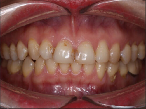
Hình 1: Bệnh nhân phụ nữ mang thai thường gặp nhiều vấn đề về sức khỏe răng miệng.
I. Một số tình trạng răng miệng thường gặp ở phụ nữ mang thai
- Viêm lợi và viêm nha chu
Hầu hết phụ nữ mang thai ít nhất một lần gặp phải các vấn đề răng miệng như sưng, viêm lợi, và chảy máu chân răng. Trong giai đoạn này, hệ miễn dịch thay đổi, khiến phụ nữ mang thai dễ mắc các bệnh thông thường và viêm lợi là một trong những bệnh phổ biến nhất. Sự thay đổi về hormone, estrogen và progesterone trong cơ thể có thể gây giãn nở mạch máu và mô mềm xung quanh răng, làm tăng nguy cơ viêm lợi và viêm nha chu.
- Sâu răng
Phụ nữ mang thai thường ăn nhiều bữa nhỏ, tạo điều kiện cho axit tồn tại trong miệng gây sâu răng. Đặc biệt, trong thời gian ốm nghén, việc chải sạch răng hàm bên trong trở nên khó khăn hơn. Bên cạnh đó, thói quen ăn vặt để chống buồn nôn và việc vệ sinh răng miệng không đúng cách cũng làm tăng nguy cơ sâu răng. Môi trường pH trong miệng thay đổi và tính chất nước bọt bị biến đổi, tạo điều kiện thuận lợi cho vi khuẩn xâm nhập và tấn công răng lợi.

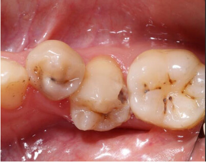
Hình 2: Sâu răng ở bệnh nhân mang thai
- Lợi phì đại
Sự thay đổi nội tiết tố có thể dẫn đến viêm lợi và tăng sinh mô lợi, gây hiện tượng lợi phì đại.
- Mòn răng
Việc nôn nhiều do ốm nghén có thể gây mòn răng. Thai phụ nên tránh đánh răng ngay sau khi nôn và thay vào đó súc miệng bằng dung dịch pha loãng 1 cốc nước với 1 thìa cafe baking soda để trung hòa axit.
II. Những nguy cơ nếu không chăm sóc răng miệng trong thai kỳ
- Tăng nguy cơ sinh non
Sâu răng hoặc viêm chân răng nặng có thể dẫn đến vi khuẩn có hại trong miệng xâm nhập vào nhau thai, thay đổi môi trường nước ối, gây chuyển dạ sớm và sinh non, sinh nhẹ cân. Khi mẹ bị viêm lợi, khả năng hấp thu canxi của thai nhi cũng bị giảm, dẫn đến trẻ có nguy cơ sinh non, nhẹ cân và không khỏe mạnh. Từ năm 1996, các nhà khoa học đã chứng minh rằng phụ nữ mang thai bị viêm lợi, viêm nha chu sẽ tăng nguy cơ sảy thai, sinh non gấp 2-3 lần, dễ bị tiền sản giật và trẻ sinh ra nhẹ cân (dưới 2,5kg).
- Tăng nguy cơ sâu răng cho bé khi chào đời
Trong quá trình mang thai, vi khuẩn sâu răng không thể truyền từ mẹ sang thai nhi. Tuy nhiên, sau khi sinh, sức đề kháng của bé còn yếu và dễ bị lây nhiễm vi khuẩn sâu răng từ mẹ qua tiếp xúc hàng ngày như hôn, thơm và ăn chung thìa đũa. Đặc biệt, từ 6 tháng đến 3 tuổi là thời điểm dễ lây nhiễm nhất. Để con có một hàm răng khỏe mạnh, bà bầu cần chăm sóc răng miệng kỹ càng trong quá trình mang thai và sau sinh.
III. Hướng dẫn chăm sóc răng miệng cho phụ nữ mang thai
- Vệ sinh răng miệng đúng cách
Do nguy cơ viêm lợi và sâu răng tăng cao, phụ nữ mang thai cần chú trọng vệ sinh răng miệng hàng ngày. Hiệp hội Nha khoa Hoa Kỳ khuyến nghị:
- Chải răng hai lần mỗi ngày (sáng và tối) bằng bàn chải lông mềm trong 2 phút, sử dụng kem đánh răng chứa fluoride.
- Thay bàn chải mỗi 3-4 tháng hoặc sớm hơn nếu lông bàn chải bị xơ, mòn.
- Làm sạch kẽ răng bằng chỉ nha khoa sau mỗi bữa ăn.
- Súc miệng sau khi ăn bằng nước muối sinh lý hoặc nước súc miệng có thành phần phù hợp.
- Lấy cao răng và kiểm tra sức khỏe răng miệng định kỳ. Quá trình lấy cao răng an toàn và không ảnh hưởng tới thai nhi, giúp loại bỏ mảng bám trên răng và ngăn ngừa các vấn đề răng miệng.
- Điều chỉnh chế độ dinh dưỡng phù hợp
Chế độ dinh dưỡng phù hợp giúp bảo vệ sức khỏe răng miệng cho cả mẹ và bé. Bổ sung đầy đủ canxi, vitamin, photpho từ các nguồn thực phẩm như cua đồng, tép, tôm đồng, sữa và các chế phẩm từ sữa, rau củ quả như chuối, cam, súp lơ xanh. Hạn chế ăn vặt để giảm nguy cơ sâu răng do vi khuẩn giải phóng axit khi tiêu thụ thực phẩm chứa đường.
- Sử dụng sản phẩm chăm sóc răng miệng an toàn cho thai kỳ
Theo Tổ chức Y tế Thế giới, kem đánh răng chứa fluoride là an toàn và hiệu quả trong thai kỳ. Fluoride giúp bảo vệ răng khỏi sâu răng mà không gây hại cho mẹ và thai nhi. Chỉ nha khoa cũng là một sản phẩm an toàn, giúp làm sạch kẽ răng và ngăn ngừa sâu răng. Các sản phẩm chứa chất tẩy trắng và cồn không nên sử dụng trong thai kỳ vì có thể gây kích ứng cho răng và lợi, cũng như ảnh hưởng đến sức khỏe của thai nhi.
- Thường xuyên thăm khám sức khỏe răng miệng
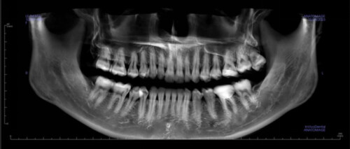
Kiểm tra sức khỏe răng miệng định kỳ giúp phụ nữ mang thai theo dõi tình trạng răng miệng và nhận lời khuyên từ bác sĩ. Chụp X-quang nha khoa được coi là an toàn khi sử dụng áo chì bảo vệ, giảm thiểu tác động của tia X lên thai nhi.

Hình 3: Chụp XQ nha khoa được cho là an toàn khi sử dụng áo chì


